ANP32A Antibody
-
中文名稱:ANP32A兔多克隆抗體
-
貨號:CSB-PA001822ESR2HU
-
規格:¥440
-
圖片:
-
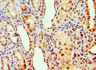
Immunohistochemistry of paraffin-embedded human kidney tissue using CSB-PA001822ESR2HU at dilution of 1:100
-
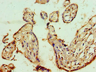
Immunohistochemistry of paraffin-embedded human placenta tissue using CSB-PA001822ESR2HU at dilution of 1:100
-
Immunofluorescent analysis of MCF-7 cells using CSB-PA001822ESR2HU at dilution of 1:100 and Alexa Fluor 488-congugated AffiniPure Goat Anti-Rabbit IgG(H+L)
-
-
其他:
產品詳情
-
產品名稱:Rabbit anti-Homo sapiens (Human) ANP32A Polyclonal antibody
-
Uniprot No.:
-
基因名:ANP32A
-
別名:acidic (leucine-rich) nuclear phosphoprotein 32 family; member A antibody; Acidic leucine-rich nuclear phosphoprotein 32 family member A antibody; Acidic nuclear phosphoprotein 32 family member A antibody; Acidic nuclear phosphoprotein pp32 antibody; AN32A_HUMAN antibody; ANP32A antibody; C15orf1 antibody; Cerebellar leucine rich acidic nuclear protein antibody; Hepatopoietin Cn antibody; HPPCn antibody; I1PP2A antibody; Inhibitor 1 of protein phosphatase 2A antibody; inhibitor-1 of protein phosphatase-2A antibody; Lanp antibody; Leucine rich acidic nuclear protein antibody; Leucine-rich acidic nuclear protein antibody; MAPM antibody; Mapmodulin antibody; MGC119787 antibody; MGC150373 antibody; PHAPI antibody; Potent heat stable protein phosphatase 2A inhibitor I1PP2A antibody; Potent heat-stable protein phosphatase 2A inhibitor I1PP2A antibody; PP32 antibody; Putative HLA DR associated protein I antibody; Putative HLA-DR-associated protein I antibody; Putative human HLA class II associated protein I antibody; Putative human HLA class II-associated protein antibody
-
宿主:Rabbit
-
反應種屬:Human
-
免疫原:Recombinant Human Acidic leucine-rich nuclear phosphoprotein 32 family member A protein (1-170AA)
-
免疫原種屬:Homo sapiens (Human)
-
標記方式:Non-conjugated
-
克隆類型:Polyclonal
-
抗體亞型:IgG
-
純化方式:Antigen Affinity Purified
-
濃度:It differs from different batches. Please contact us to confirm it.
-
保存緩沖液:PBS with 0.02% sodium azide, 50% glycerol, pH7.3.
-
產品提供形式:Liquid
-
應用范圍:ELISA, IHC, IF
-
推薦稀釋比:
Application Recommended Dilution IHC 1:20-1:200 IF 1:50-1:200 -
Protocols:
-
儲存條件:Upon receipt, store at -20°C or -80°C. Avoid repeated freeze.
-
貨期:Basically, we can dispatch the products out in 1-3 working days after receiving your orders. Delivery time maybe differs from different purchasing way or location, please kindly consult your local distributors for specific delivery time.
-
用途:For Research Use Only. Not for use in diagnostic or therapeutic procedures.
相關產品
靶點詳情
-
功能:Multifunctional protein that is involved in the regulation of many processes including tumor suppression, apoptosis, cell cycle progression or transcription. Promotes apoptosis by favouring the activation of caspase-9/CASP9 and allowing apoptosome formation. In addition, plays a role in the modulation of histone acetylation and transcription as part of the INHAT (inhibitor of histone acetyltransferases) complex. Inhibits the histone-acetyltranferase activity of EP300/CREBBP (CREB-binding protein) and EP300/CREBBP-associated factor by histone masking. Preferentially binds to unmodified histone H3 and sterically inhibiting its acetylation and phosphorylation leading to cell growth inhibition. Participates in other biochemical processes such as regulation of mRNA nuclear-to-cytoplasmic translocation and stability by its association with ELAVL1 (Hu-antigen R). Plays a role in E4F1-mediated transcriptional repression as well as inhibition of protein phosphatase 2A.; (Microbial infection) Plays an essential role in influenza A, B and C viral genome replication. Mechanistically, mediates the assembly of the viral replicase asymmetric dimers composed of PB1, PB2 and PA via its N-terminal region. Plays also an essential role in foamy virus mRNA export from the nucleus.
-
基因功能參考文獻:
- our study reveals that ANP32A dysregulation may be a critical factor contributing to acute megakaryoblastic leukemia PMID: 29269781
- These data suggest compensatory mechanisms underlying viral Polymerase adaptation to host ANP32A independent of species-specific interactions. PMID: 28903035
- ANP32A promoted CRC proliferation by inhibition of p38. PMID: 28731192
- Data show that PP32 and SET/TAF-Ibeta proteins block HAT1-mediated H4 acetylation. PMID: 28977641
- Results suggest that ANP32A is commonly increased in oral squamous cell carcinoma and ANP32A protein could act as a potential biomarker for prognosis assessment of oral cancer patients with lymph node metastasis. PMID: 26918356
- According to the cellular function of the characterized targets of ProTalpha, and the evolution in the composition of the diverse ProTalpha-complexes when proliferation activity was reduced or apoptosis induced, leads to hypothesized that ProTalpha interactions might be related to the proliferation activity and control of the cell survival. PMID: 29106904
- Host-derived proteins pp32 and APRIL interact with a free form of influenza virus RNA-dependent RNA polymerase and preferentially upregulates viral RNA synthesis rather than cRNA synthesis. PMID: 26512887
- High-resolution crystal structure of the leucine-rich repeat domain of the human tumour suppressor PP32A (ANP32A) has been reported. PMID: 26057796
- ANP32A represents an essential host partner co-opted to support influenza virus replication and is a candidate host target for novel antivirals PMID: 26738596
- conformational analysis of the C-terminal transition state of the leucine-rich repeat domain of PP32 PMID: 25902505
- Demonstrate that HPPCn attenuated oxidative injury and fibrosis induced by ethanol feeding and that the SphK1/S1P/S1PRs signalling pathway contributes to this protective effect. PMID: 23839903
- The HPPCn expression might be involved in the development of hepatocellular carcinoma and could be served as a promising biomarker. PMID: 20683644
- MicroRNA-21 targets tumor suppressor genes ANP32A and SMARCA4. PMID: 21317927
- pp32 interacted with STAT1 and STAT2 in an IFNB-dependent manner. PMID: 21325029
- Data provide evidence that the tumor suppressor function of pp32 can be attributed to its ability to disrupt HuR binding to target mRNAs encoding key proteins for cancer cell survival and drug efficacy. PMID: 21152064
- Sphingosine interaction with acidic leucine-rich nuclear phosphoprotein-32A (ANP32A) regulates PP2A activity and cyclooxygenase (COX)-2 expression in human endothelial cells. PMID: 20558741
- Regulation of histone acetylation and transcription by nuclear protein pp32, a subunit of the INHAT complex. PMID: 11830591
- regulatory roles of oncoprotein ProT and tumor suppressor PHAP in apoptosis PMID: 12522243
- LANP could play a key role in neuronal development and/or neurodegeneration by its interactions with microtubule associated proteins PMID: 12807913
- Set/TAF-Ibeta and pp32 proteins have roles as transducers of chromatin signaling by integrating chromatin hypoacetylation and transcriptional repression PMID: 15136563
- tyrosine phosphorylation of PHAPI is accompanied by the release of PP2A from association with PHAPI, allowing increased phosphatase activity of PP2A and consequent complete dephosphorylation of the ERK kinase, MEK1/2, by 10 min and of ERK1/2 by 60 min PMID: 15247276
- We now show pp32 increases androgen receptor-mediated transcription and the retinoblastoma protein modulates this activity. PMID: 16009334
- The ANP32A protein is characterizing as modulators of Wnt protein signaling of Axin-1. PMID: 16169070
- pp32 plays a repressive role by inhibiting transcription and triggering apoptosis. PMID: 16341127
- Immunoblot detection revealed that the inhibitor I1PP2A is expressed throughout the brain, including the hippocampus, temporal cortex, parietal cortex, subcortical nuclei and brain stem. PMID: 17266954
- LANP and ATAXN1 interact in E4F-mediated transcriptional repression. PMID: 17557114
- These results identify pp32/PHAPI as regulator of the apoptosis response of cancer cells in vitro and in vivo, and as a predictor of survival following chemotherapy for advanced non-small-cell lung cancer. PMID: 17962813
- Results describe the solution structure of the evolutionarily conserved N-terminal leucine-rich repeat (LRR) domain of Anp32a and model its interactions with other proteins. PMID: 18410380
- PHAPI, CAS, and Hsp70 function together to accelerate nucleotide exchange on Apaf-1 and prevent inactive Apaf-1/cytochrome c aggregation. PMID: 18439902
- PHAPI/pp32 suppresses tumorigenesis by stimulating apoptosis. PMID: 19121999
- ANP32A is involved in the pathogenesis of osteoarthritis of the hip. PMID: 19565487
顯示更多
收起更多
-
亞細胞定位:Nucleus. Cytoplasm. Endoplasmic reticulum.
-
蛋白家族:ANP32 family
-
組織特異性:Expressed in all tissues tested. Highly expressed in kidney and skeletal muscle, moderate levels of expression in brain, placenta and pancreas, and weakly expressed in lung. Found in all regions of the brain examined (amygdala, caudate nucleus, corpus cal
-
數據庫鏈接:
Most popular with customers
-
-
YWHAB Recombinant Monoclonal Antibody
Applications: ELISA, WB, IHC, IF, FC
Species Reactivity: Human, Mouse, Rat
-
Phospho-YAP1 (S127) Recombinant Monoclonal Antibody
Applications: ELISA, WB, IHC
Species Reactivity: Human
-
-
-
-
-















