ANLN Antibody
-
中文名稱:ANLN兔多克隆抗體
-
貨號:CSB-PA800281ESR2HU
-
規格:¥440
-
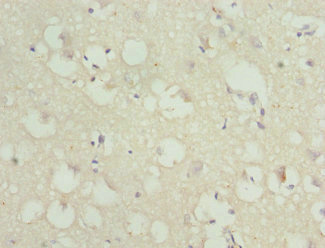
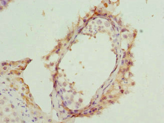
圖片:
-
其他:
產品詳情
-
產品名稱:Rabbit anti-Homo sapiens (Human) ANLN Polyclonal antibody
-
Uniprot No.:
-
基因名:ANLN
-
別名:Actin binding protein scraps homolog Drosophila antibody; Actin binding protein anillin antibody; Actin-binding protein anillin antibody; Anillin actin binding protein antibody; anln antibody; ANLN_HUMAN antibody; DKFZp779A055 antibody; FSGS8 antibody; Scra antibody; Scraps antibody; Scraps homolog antibody
-
宿主:Rabbit
-
反應種屬:Human
-
免疫原:Recombinant Human Anillin protein (845-1124AA)
-
免疫原種屬:Homo sapiens (Human)
-
標記方式:Non-conjugated
-
克隆類型:Polyclonal
-
抗體亞型:IgG
-
純化方式:Antigen Affinity Purified
-
濃度:It differs from different batches. Please contact us to confirm it.
-
保存緩沖液:PBS with 0.02% sodium azide, 50% glycerol, pH7.3.
-
產品提供形式:Liquid
-
應用范圍:ELISA, IHC
-
推薦稀釋比:
Application Recommended Dilution IHC 1:20-1:200 -
Protocols:
-
儲存條件:Upon receipt, store at -20°C or -80°C. Avoid repeated freeze.
-
貨期:Basically, we can dispatch the products out in 1-3 working days after receiving your orders. Delivery time maybe differs from different purchasing way or location, please kindly consult your local distributors for specific delivery time.
-
用途:For Research Use Only. Not for use in diagnostic or therapeutic procedures.
相關產品
靶點詳情
-
功能:Required for cytokinesis. Essential for the structural integrity of the cleavage furrow and for completion of cleavage furrow ingression. Plays a role in bleb assembly during metaphase and anaphase of mitosis. May play a significant role in podocyte cell migration.
-
基因功能參考文獻:
- Bladder urothelial carcinoma patients with elevated ANLN expression had poorer survival prospects. PMID: 28600503
- Knockdown of ANLN in liver cells blocks cytokinesis and inhibits development of liver tumors. PMID: 29274368
- Authors found that decreasing Ran-GTP levels or tethering active Ran to the equatorial membrane affects anillin's localization and causes cytokinesis phenotypes. PMID: 28931593
- Anillin (ANLN) expression in tumor cells is correlated to poor prognosis in breast cancer patients, independent of Ki-67 or tumor size. PMID: 27863473
- S635 phosphorylation is essential for cytokinesis. PMID: 28081137
- ANLN expression is elevated in colorectal cancer and has a strong potential to act as a biomarker for the prognosis of colorectal cancer. PMID: 27062703
- Findings indicate that miR-497 is a potent tumor suppressor that inhibits cancer phenotypes by targeting ANLN and HSPA4L in NPC. PMID: 26486082
- High nuclear expression of anillin (ANLN) is an independent predictor of poor disease-specific survival and it is a useful prognostic marker of urothelial carcinoma of the upper urinary tract (UCUT). PMID: 26135313
- Data suggest that anillin (ANLN) could be involved in breast cancer progression and a potential target candidate in breast cancer. PMID: 25223638
- Identification 4 novel and 18 known exonic ANLN variants associated with carotid intima-media thickness at bifurcation. PMID: 26319989
- Anillin regulates intercellular adhesion in model human epithelia by mechanisms involving the suppression of JNK activity and controlling the assembly of the perijunctional cytoskeleton. PMID: 25809162
- The sequestration of anillin by astral microtubules might alter the organization of cortical proteins to polarize cells for cytokinesis PMID: 24994938
- these data demonstrate that a complex of p190RhoGAP-A and anillin modulates RhoA-GTP levels in the cytokinetic furrow to ensure progression of cytokinesis. PMID: 25359885
- Identified a missense mutation R431C in anillin (ANLN), an F-actin binding cell cycle gene, as a cause of FSGS. We screened 250 additional families with FSGS and found another variant, G618C, that segregates with disease in a second family with FSGS. PMID: 24676636
- ANLN is positively associated with Wnt/beta-catenin signaling in gastric cancer.Elevated expression of ANLN is a predictor of intestinal type gastric cancer. ER-alpha is negatively associated with the expression of ANLN in gastric cancer. PMID: 24809965
- Supervillin concentrates activated and total myosin II at the furrow, and simultaneous knockdown of supervillin and anillin additively increases cell division failure. PMID: 24088567
- Antibody screening revealed 3 candidate prognostic markers in breast cancer: the Anillin (ANLN); PDZ-Binding Kinase (PBK); and, PDZ-Domain Containing 1 (PDZK1). PMID: 23547718
- Data supports an analogous function for the anillin-Ect2 complex in human cells and one hypothesis is that this complex has functionally replaced the Drosophila anillin-RacGAP50C complex. PMID: 22514687
- CIT-K is capable of physically and functionally interacting with the actin-binding protein anillin. PMID: 21849473
- Cytoplasmic anillin expression is a marker of favourable prognosis in renal cell carcinoma patients. PMID: 21109967
- This study was to establish if ANLN was a molecular marker for pancreatic cancer. PMID: 19995712
- anillin has a role in spatially regulating the contractile activity of myosin II during cytokinesis PMID: 15496454
- Anillin is a substrate of APC/C that controls spatial contractility of myosin during late cytokinesis. PMID: 16040610
- anillin is overexpressed in diverse common human tumors, but not simply because of its role in cell proliferation PMID: 16203764
- Over-expression of ANLN is associated with pulmonary carcinogenesis PMID: 16357138
- Human anillin contains a conserved C-terminal domain that is essential for its function and localization. PMID: 18158243
顯示更多
收起更多
-
相關疾病:Focal segmental glomerulosclerosis 8 (FSGS8)
-
亞細胞定位:Nucleus. Cytoplasm, cytoskeleton. Cytoplasm, cell cortex. Cell projection, bleb. Note=Mainly found in the nucleus during interphase. Colocalizes with cortical F-actin upon nuclear envelope breakdown in mitosis and subsequently concentrates in the area of the prospective contractile ring in anaphase. This pattern persists until telophase, when the protein becomes concentrated in the midbody.
-
組織特異性:Ubiquitously expressed. Present at highest levels in the brain, at high levels in the placenta and testis, at intermediate levels in the intestine, ovary, skeletal muscle and thymus and at lower levels in heart, kidney, liver, lung, pancreas, prostate and
-
數據庫鏈接:
Most popular with customers
-
-
YWHAB Recombinant Monoclonal Antibody
Applications: ELISA, WB, IHC, IF, FC
Species Reactivity: Human, Mouse, Rat
-
Phospho-YAP1 (S127) Recombinant Monoclonal Antibody
Applications: ELISA, WB, IHC
Species Reactivity: Human
-
-
-
-
-















