ANKS1B Antibody
-
中文名稱:ANKS1B兔多克隆抗體
-
貨號:CSB-PA767207ESR1HU
-
規格:¥440
-
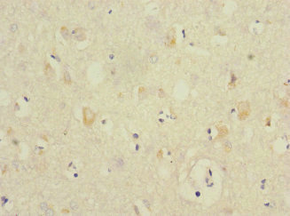
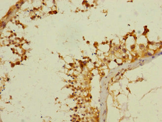
圖片:
-
其他:
產品詳情
-
產品名稱:Rabbit anti-Homo sapiens (Human) ANKS1B Polyclonal antibody
-
Uniprot No.:
-
基因名:ANKS1B
-
別名:AIDA antibody; AIDA-1 antibody; Amyloid-beta protein intracellular domain-associated protein 1 antibody; Anks1b antibody; ANKS2 antibody; Ankyrin repeat and sterile alpha motif domain containing 1B antibody; Ankyrin repeat and sterile alpha motif domain-containing protein 1B antibody; ANS1B_HUMAN antibody; Cajalin 2 antibody; E2A-PBX1-associated protein antibody; EB-1 antibody; EB1 antibody; MGC26087 antibody
-
宿主:Rabbit
-
反應種屬:Human
-
免疫原:Recombinant Human Ankyrin repeat and sterile alpha motif domain-containing protein 1B protein (999-1248AA)
-
免疫原種屬:Homo sapiens (Human)
-
標記方式:Non-conjugated
-
克隆類型:Polyclonal
-
抗體亞型:IgG
-
純化方式:Antigen Affinity Purified
-
濃度:It differs from different batches. Please contact us to confirm it.
-
保存緩沖液:PBS with 0.02% sodium azide, 50% glycerol, pH7.3.
-
產品提供形式:Liquid
-
應用范圍:ELISA, IHC
-
推薦稀釋比:
Application Recommended Dilution IHC 1:20-1:200 -
Protocols:
-
儲存條件:Upon receipt, store at -20°C or -80°C. Avoid repeated freeze.
-
貨期:Basically, we can dispatch the products out in 1-3 working days after receiving your orders. Delivery time maybe differs from different purchasing way or location, please kindly consult your local distributors for specific delivery time.
-
用途:For Research Use Only. Not for use in diagnostic or therapeutic procedures.
相關產品
靶點詳情
-
功能:Isoform 2 may participate in the regulation of nucleoplasmic coilin protein interactions in neuronal and transformed cells.; Isoform 3 can regulate global protein synthesis by altering nucleolar numbers.; Isoform 4 may play a role as a modulator of APP processing. Overexpression can down-regulate APP processing.
-
基因功能參考文獻:
- this is the first genetic association study of the relationship between the rs7968606 SNP of ANKS1B and the response of schizophrenia patients to treatment with amisulpride. PMID: 28332719
- We provide the first evidence that ANKS1B expression is down regulated in ccRCC tumors relative to patient-matched normal kidney tissue in smokers. PMID: 24479813
- AIDA1 PTB domain binds amyloid protein precursorin a similar manner to the X11/Mint PTB domain. PMID: 23799029
- Targeted-E2A-PBX1 inhibition leads to reduced expression of the EB-1 and Wnt16b genes; aberrant expression of these genes may be a key step in leukemogenesis in t(1;19)-positive pre-B leukemia. PMID: 16769578
- It is clear that some single-nucleotide polymorphisms and haplotypes of the EB-1 gene are associated with genetic difference between diabetic patients with and without nephropathy. PMID: 20578947
- EB1 recognizes the nucleotide state of tubulin in the microtubule lattice PMID: 19851462
- site-specific translocation and evidence of postnatal origin of the t(1;19) fusion in childhood acute lymphoblastic leukemia PMID: 12415113
- Evidence pertaining to leukemogenesis by the well-characterized E2A-fusion protein E2A-PBX1 is reviewed and its mechanistic implications are considered. PMID: 12700034
- Amyloid beta-protein precursor expression and secretion are regulated via activation of ERK1/2 by HGF in cells transfected with APP751. PMID: 12837293
- AbetaPP and the AIDA-1 proteins interact in vitro, in living cells and, endogenously, in leukemia cell lines;AIDA-1 proteins are expressed at high levels in the brain PMID: 15004329
- the interaction between AbetaPP and AIDA-1 is regulated by alternative splicing of the AIDA-1 protein PMID: 15347684
- specific EB-1/AIDA-1 isoforms, such as AIDA-1c, may participate in the regulation of nucleoplasmic coilin protein interactions in neuronal and transformed cells PMID: 15862129
- The TCR gene rearrangements in childhood B-lineage acute lymphoblastic leukemia was associated with expression of E2A-Pbx1 fusion protein chimeric oncogene. PMID: 16386788
- The basic nuclear import signal for AIDA-1 is buried at the interface between the two sterile alpha motif domains. PMID: 19666031
顯示更多
收起更多
-
亞細胞定位:Cytoplasm.; [Isoform 2]: Nucleus.; [Isoform 3]: Cell junction, synapse, postsynaptic density. Cell projection, dendritic spine. Nucleus. Nucleus, Cajal body.; [Isoform 4]: Nucleus. Note=The interaction with APP causes its partial exclusion from the nucleus, when APP is overexpressed.; [Isoform 6]: Nucleus.
-
組織特異性:Highly expressed in marrow from patients with pre-B ALL associated with the t(1;19) translocation. Strongly expressed in brain and testis. Expressed in fetal brain. Isoform 4 is highly expressed in brain (at protein level). Isoform 6 is expressed in brain
-
數據庫鏈接:
Most popular with customers
-
-
YWHAB Recombinant Monoclonal Antibody
Applications: ELISA, WB, IHC, IF, FC
Species Reactivity: Human, Mouse, Rat
-
Phospho-YAP1 (S127) Recombinant Monoclonal Antibody
Applications: ELISA, WB, IHC
Species Reactivity: Human
-
-
-
-
-















