ANKRD54 Antibody
-
中文名稱:ANKRD54兔多克隆抗體
-
貨號:CSB-PA632657
-
規格:¥1100
-
圖片:
-
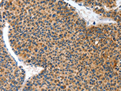
The image on the left is immunohistochemistry of paraffin-embedded Human brain tissue using CSB-PA632657(ANKRD54 Antibody) at dilution 1/50, on the right is treated with fusion protein. (Original magnification: ×200)
-
The image on the left is immunohistochemistry of paraffin-embedded Human liver cancer tissue using CSB-PA632657(ANKRD54 Antibody) at dilution 1/50, on the right is treated with fusion protein. (Original magnification: ×200)
-
Gel: 10%SDS-PAGE, Lysate: 40 μg, Lane 1-2: Mouse testis tissue, human colon cancer tissue, Primary antibody: CSB-PA632657(ANKRD54 Antibody) at dilution 1/250, Secondary antibody: Goat anti rabbit IgG at 1/8000 dilution, Exposure time: 10 seconds
-
-
其他:
產品詳情
-
Uniprot No.:
-
基因名:ANKRD54
-
別名:ANKRD54 antibody; LIARAnkyrin repeat domain-containing protein 54 antibody; Lyn-interacting ankyrin repeat protein antibody
-
宿主:Rabbit
-
反應種屬:Human,Mouse,Rat
-
免疫原:Fusion protein of Human ANKRD54
-
免疫原種屬:Homo sapiens (Human)
-
標記方式:Non-conjugated
-
抗體亞型:IgG
-
純化方式:Antigen affinity purification
-
濃度:It differs from different batches. Please contact us to confirm it.
-
保存緩沖液:-20°C, pH7.4 PBS, 0.05% NaN3, 40% Glycerol
-
產品提供形式:Liquid
-
應用范圍:ELISA,WB,IHC
-
推薦稀釋比:
Application Recommended Dilution ELISA 1:2000-1:5000 WB 1:200-1:1000 IHC 1:50-1:200 -
Protocols:
-
儲存條件:Upon receipt, store at -20°C or -80°C. Avoid repeated freeze.
-
貨期:Basically, we can dispatch the products out in 1-3 working days after receiving your orders. Delivery time maybe differs from different purchasing way or location, please kindly consult your local distributors for specific delivery time.
-
用途:For Research Use Only. Not for use in diagnostic or therapeutic procedures.
相關產品
靶點詳情
-
功能:Plays an important role in regulating intracellular signaling events associated with erythroid terminal differentiation.
-
基因功能參考文獻:
- the results show that the interaction between BTK and ANKRD54 is highly selective, since it was also identified in a screen using human SH3-domainome. A novel finding is that BTK not only binds to ANKRD54, but stands out as the preferred interactor, being highly dominant over all other human SH3-domains. PMID: 28369144
- Liar is the first protein identified that specifically influences the nucleocytoplasmic shuttling of Btk and Txk and belongs to a rare group of known proteins carrying out this activity in a Crm1-dependent manner. PMID: 22527282
-
亞細胞定位:Nucleus. Cytoplasm. Midbody.
-
數據庫鏈接:
Most popular with customers
-
YWHAB Recombinant Monoclonal Antibody
Applications: ELISA, WB, IHC, IF, FC
Species Reactivity: Human, Mouse, Rat
-
Phospho-YAP1 (S127) Recombinant Monoclonal Antibody
Applications: ELISA, WB, IHC
Species Reactivity: Human
-
-
-
-
-
-
VDAC1 Recombinant Monoclonal Antibody
Applications: ELISA, WB, IHC
Species Reactivity: Human, Mouse, Rat















