ANKRD1 Antibody
-
中文名稱:ANKRD1兔多克隆抗體
-
貨號:CSB-PA562564
-
規格:¥1100
-
圖片:
-
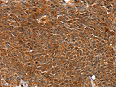
The image on the left is immunohistochemistry of paraffin-embedded Human breast cancer tissue using CSB-PA562564(ANKRD1 Antibody) at dilution 1/20, on the right is treated with fusion protein. (Original magnification: ×200)
-
The image on the left is immunohistochemistry of paraffin-embedded Human ovarian cancer tissue using CSB-PA562564(ANKRD1 Antibody) at dilution 1/20, on the right is treated with fusion protein. (Original magnification: ×200)
-
Gel: 8%SDS-PAGE, Lysate: 60 μg, Lane 1-3: Mouse lung tissue, NIH/3T3 cells, hepg2 cells, Primary antibody: CSB-PA562564(ANKRD1 Antibody) at dilution 1/400, Secondary antibody: Goat anti rabbit IgG at 1/8000 dilution, Exposure time: 3 seconds
-
-
其他:
產品詳情
-
Uniprot No.:
-
基因名:ANKRD1
-
別名:ALRP antibody; ANKR1_HUMAN antibody; ANKRD 1 antibody; ANKRD1 antibody; Ankyrin repeat domain 1 (cardiac muscle) antibody; Ankyrin repeat domain containing protein 1 antibody; Ankyrin repeat domain-containing protein 1 antibody; bA320F15.2 antibody; C 193 antibody; C193 antibody; Cardiac ankyrin repeat protein antibody; CARP antibody; CVARP antibody; Cytokine inducible nuclear protein antibody; Cytokine-inducible gene C-193 protein antibody; Cytokine-inducible nuclear protein antibody; HA1A2 antibody; Liver ankyrin repeat domain 1 antibody; MCARP antibody; OTTHUMP00000020084 antibody
-
宿主:Rabbit
-
反應種屬:Human,Mouse,Rat
-
免疫原:Fusion protein of Human ANKRD1
-
免疫原種屬:Homo sapiens (Human)
-
標記方式:Non-conjugated
-
抗體亞型:IgG
-
純化方式:Antigen affinity purification
-
濃度:It differs from different batches. Please contact us to confirm it.
-
保存緩沖液:-20°C, pH7.4 PBS, 0.05% NaN3, 40% Glycerol
-
產品提供形式:Liquid
-
應用范圍:ELISA,WB,IHC
-
推薦稀釋比:
Application Recommended Dilution ELISA 1:2000-1:5000 WB 1:500-1:2000 IHC 1:25-1:100 -
Protocols:
-
儲存條件:Upon receipt, store at -20°C or -80°C. Avoid repeated freeze.
-
貨期:Basically, we can dispatch the products out in 1-3 working days after receiving your orders. Delivery time maybe differs from different purchasing way or location, please kindly consult your local distributors for specific delivery time.
-
用途:For Research Use Only. Not for use in diagnostic or therapeutic procedures.
相關產品
靶點詳情
-
功能:May play an important role in endothelial cell activation. May act as a nuclear transcription factor that negatively regulates the expression of cardiac genes. Induction seems to be correlated with apoptotic cell death in hepatoma cells.
-
基因功能參考文獻:
- review of CARP, including its discovery, structure, and the role it plays in cardiac development and heart diseases [review] PMID: 27143260
- These data suggest that hepatitis C virus coopts ANKRD1 for its own propagation and up-regulation of ANKRD1 may contribute to hepatitis C virus-mediated liver pathogenesis. PMID: 26860204
- To the Ankrd1, it is not responsive to the cardiotoxic drug Doxorubicin, suggesting that different mechanisms govern their expression in cardiac cells. PMID: 25585647
- The association of ANKRD1 with antiapoptotic response suggests its role as myocyte survival factor during late stage heart disease, warranting further studies on ANKRD1 during end-stage heart failure. PMID: 25961010
- Report structure activity relationships for ANKRD1. PMID: 25125175
- ANKRD1 has a significant role in the regulation of apoptosis in human ovarian cancer cells PMID: 24531715
- Augmented CARP expression may be a common molecular event in failing hearts regardless of cardiomyopathic aetiology. PMID: 19359327
- Report impact of ANKRD1 mutations associated with hypertrophic cardiomyopathy on contraction parameters of engineered heart tissue. PMID: 23572067
- the 26S proteasome is the dominant regulator of Ankrd1/CARP degradation, and that Ankrd1/CARP half-life is significantly longer in cardiomyocytes (h) than endothelial cells (min). PMID: 22892129
- Ankrd1 and desmin may play important roles in airway smooth muscle cell homeostasis. PMID: 22085644
- CARP and its regulator calpain 3 appear to occupy a central position in the important cell fate-governing NF-kappaB pathway in skeletal muscle PMID: 20860623
- p53 operates as an upstream effector of Ankrd1/CARP, by up regulating the proximal ANKRD1 promoter PMID: 20599664
- On the basis of genetic and functional analysis of CARP mutations, ANKRD1 has been identified as a new gene associated with dilated cardiomyopathy, accounting for approximately 2% of the 231 cases studied. PMID: 19525294
- CD45 lateral mobility is regulated by the spectrin-ankyrin cytoskeleton of T cells PMID: 20164196
- Cardiac ankyrin repeat protein, a negative regulator of cardiac gene expression, is augmented in human heart failure. PMID: 12054667
- CARP expression is observed by in situ hybridization in endothelial cells lining human atherosclerotic plaques, whereas lesion macrophages are devoid of CARP; it is induced by activin A in cultured intimal smooth muscle cells. PMID: 12524226
- endogenous ANKRD1 and calsequestrin are co-enriched in piglet cardiac Purkinje cells PMID: 15698842
- CARP interacts with itself and desmin. CARP, ankrd2, and DARP contain potential coiled-coil dimerization motifs within their unique aminoterminal domains that mediate the formation of homo-dimers. PMID: 16450059
- CARP was expressed in renal podocytes at a high level in 10 of 13 cases of crescentic glomerulonephritis, 7 of 19 cases of diabetic nephropathy, and 12 of 20 cases of lupus nephritis. PMID: 17239933
- cloned both translocation breakpoints and mapped the ANKRD1 gene, encoding a cardiac transcriptional regulator, 130 kb proximally to the breakpoint on chromosome 10, in total anomalous pulmonary venous return, a congenital heart defect PMID: 18273862
- Our results indicate that CARP is a sensitive and specific marker for rhabdomyosarcoma and that it will be useful for the differential diagnosis of rhabdomyosarcoma. PMID: 18656235
- We suggest that CDH1 cytoplasmic immunolocalization as a result of increased IGF-II levels identifies those nonmuscle invasive presentations most likely to recur PMID: 18980987
- Data show that ANKRD1 is a short-lived protein whose levels are tightly regulated by the 26S proteasome. PMID: 19589340
- ANKRD1 is a novel DCM gene, with mutations present in 1.9% of DCM patients. The ANKRD1 mutations may cause DCM PMID: 19608030
- CARP abnormalities may be involved in the pathogenesis of HCM. PMID: 19608031
顯示更多
收起更多
-
相關疾病:Total anomalous pulmonary venous return (TAPVR)
-
亞細胞定位:Nucleus.
-
組織特異性:Mainly expressed in activated vascular endothelial cells. To a lower extent, also expressed in hepatoma cells.
-
數據庫鏈接:
Most popular with customers
-
-
YWHAB Recombinant Monoclonal Antibody
Applications: ELISA, WB, IHC, IF, FC
Species Reactivity: Human, Mouse, Rat
-
-
-
-
-
-















