ANGPTL7 Antibody
-
中文名稱:ANGPTL7兔多克隆抗體
-
貨號:CSB-PA580017
-
規格:¥1100
-
圖片:
-
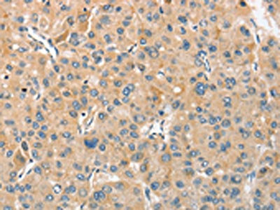
The image on the left is immunohistochemistry of paraffin-embedded Human thyroid cancer tissue using CSB-PA580017(ANGPTL7 Antibody) at dilution 1/30, on the right is treated with fusion protein. (Original magnification: ×200)
-
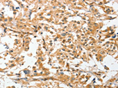
The image on the left is immunohistochemistry of paraffin-embedded Human liver cancer tissue using CSB-PA580017(ANGPTL7 Antibody) at dilution 1/30, on the right is treated with fusion protein. (Original magnification: ×200)
-
-
其他:
產品詳情
-
Uniprot No.:
-
基因名:ANGPTL7
-
別名:Angiopoietin like 7 antibody; Angiopoietin like factor (CDT6) antibody; Angiopoietin like factor antibody; Angiopoietin related protein 7 antibody; Angiopoietin-like factor antibody; Angiopoietin-like protein 7 antibody; Angiopoietin-related protein 7 antibody; ANGL7_HUMAN antibody; ANGPTL7 antibody; AngX antibody; CDT6 antibody; Cornea derived transcript 6 protein antibody; Cornea-derived transcript 6 protein antibody; dJ647M16.1 antibody; OTTHUMP00000001986 antibody; RP4-647M16.2 antibody
-
宿主:Rabbit
-
反應種屬:Human,Mouse,Rat
-
免疫原:Fusion protein of Human ANGPTL7
-
免疫原種屬:Homo sapiens (Human)
-
標記方式:Non-conjugated
-
抗體亞型:IgG
-
純化方式:Antigen affinity purification
-
濃度:It differs from different batches. Please contact us to confirm it.
-
保存緩沖液:-20°C, pH7.4 PBS, 0.05% NaN3, 40% Glycerol
-
產品提供形式:Liquid
-
應用范圍:ELISA,IHC
-
推薦稀釋比:
Application Recommended Dilution ELISA 1:2000-1:5000 IHC 1:25-1:100 -
Protocols:
-
儲存條件:Upon receipt, store at -20°C or -80°C. Avoid repeated freeze.
-
貨期:Basically, we can dispatch the products out in 1-3 working days after receiving your orders. Delivery time maybe differs from different purchasing way or location, please kindly consult your local distributors for specific delivery time.
-
用途:For Research Use Only. Not for use in diagnostic or therapeutic procedures.
相關產品
靶點詳情
-
功能:Has a role in the formation and organization of the extracellular matrix. In the eye, it functions as a mediator of dexamethasone-induced matrix deposition in the trabecular meshwork, the tissue responsible for the outflow of the ocular aqueous humor and for the maintenance of intraocular pressure. Is a negative regulator of angiogenesis in the cornea, and plays a major role in maintaining corneal avascularity and transparency.
-
基因功能參考文獻:
- obesity increases the level of ANGPTL7 in both plasma and adipose tissue. Increased expression of ANGPTL7 might play a minor role in the regulation of TG level in obese subjects either directly or through interaction with other ANGPTL protein members. Physical exercise reduced the level of ANGPTL7 highlighting the potential for targeting this protein as a therapeutic target for regulating dyslipidemia. PMID: 28264047
- ANGPTL7, which is abundantly expressed in keratocytes, plays a major role in maintaining corneal avascularity and transparency. PMID: 25622036
- ANGPTL7 is markedly down regulated in metastatic liver cancer. PMID: 25854806
- Angiopoietin-like 7 is a novel pro-angiogenetic factor over-expressed in cancer PMID: 24903490
- Together with previous findings, these properties strengthen ANGPTL7's candidacy for the regulation of intraocular pressure and glaucoma. PMID: 21199193
- Induction of ANGPTL7 secretion by glaucoma stimuli and increased concentration of ANGPTL7 in glaucomatous AH suggest that ANGPTL7 is overexpressed in glaucoma. PMID: 18421092
顯示更多
收起更多
-
亞細胞定位:Secreted.
-
組織特異性:Higly expressed in the cornea (at protein level). Expression is restricted to the stromal layer. Also detected at the junction between the corneal stromal layer and the conjuctiva. Not detected in the sclera.
-
數據庫鏈接:
Most popular with customers
-
-
Phospho-YAP1 (S127) Recombinant Monoclonal Antibody
Applications: ELISA, WB, IHC
Species Reactivity: Human
-
-
-
-
-
-
VDAC1 Recombinant Monoclonal Antibody
Applications: ELISA, WB, IHC
Species Reactivity: Human, Mouse, Rat















