ANAPC5 Antibody
-
中文名稱:ANAPC5兔多克隆抗體
-
貨號:CSB-PA952266
-
規格:¥1100
-
圖片:
-
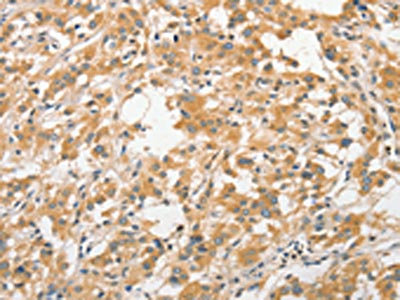
The image on the left is immunohistochemistry of paraffin-embedded Human thyroid cancer tissue using CSB-PA952266(ANAPC5 Antibody) at dilution 1/30, on the right is treated with fusion protein. (Original magnification: ×200)
-
The image on the left is immunohistochemistry of paraffin-embedded Human liver cancer tissue using CSB-PA952266(ANAPC5 Antibody) at dilution 1/30, on the right is treated with fusion protein. (Original magnification: ×200)
-
-
其他:
產品詳情
-
Uniprot No.:
-
基因名:
-
別名:2510006G12Rik antibody; AA408751 antibody; AA536819 antibody; AA986414 antibody; ANAPC 5 antibody; ANAPC5 antibody; Anaphase promoting complex subunit 5 antibody; Anaphase-promoting complex subunit 5 antibody; Apc 5 antibody; APC5 antibody; APC5_HUMAN antibody; Cyclosome subunit 5 antibody; PDL 108 antibody; PDL108 antibody; Periodontal ligament fibroblast protein antibody; RMC1 antibody
-
宿主:Rabbit
-
反應種屬:Human,Mouse,Rat
-
免疫原:Fusion protein of Human ANAPC5
-
免疫原種屬:Homo sapiens (Human)
-
標記方式:Non-conjugated
-
抗體亞型:IgG
-
純化方式:Antigen affinity purification
-
濃度:It differs from different batches. Please contact us to confirm it.
-
保存緩沖液:-20°C, pH7.4 PBS, 0.05% NaN3, 40% Glycerol
-
產品提供形式:Liquid
-
應用范圍:ELISA,IHC
-
推薦稀釋比:
Application Recommended Dilution ELISA 1:1000-1:5000 IHC 1:50-1:200 -
Protocols:
-
儲存條件:Upon receipt, store at -20°C or -80°C. Avoid repeated freeze.
-
貨期:Basically, we can dispatch the products out in 1-3 working days after receiving your orders. Delivery time maybe differs from different purchasing way or location, please kindly consult your local distributors for specific delivery time.
-
用途:For Research Use Only. Not for use in diagnostic or therapeutic procedures.
相關產品
靶點詳情
-
功能:Component of the anaphase promoting complex/cyclosome (APC/C), a cell cycle-regulated E3 ubiquitin ligase that controls progression through mitosis and the G1 phase of the cell cycle. The APC/C complex acts by mediating ubiquitination and subsequent degradation of target proteins: it mainly mediates the formation of 'Lys-11'-linked polyubiquitin chains and, to a lower extent, the formation of 'Lys-48'- and 'Lys-63'-linked polyubiquitin chains.
-
基因功能參考文獻:
- coexpression of APC5 and Axin genes significantly downregulated Wnt signaling in human SW480 CRC cells and inhibited cell growth. PMID: 28731177
- Results show that Apc5 binds the poly(A) binding protein (PABP), which directly binds the internal ribosome entry site (IRES) element of platelet-derived growth factor 2 mRNA. PMID: 15082755
- APC5 and APC7 suppress E1A-mediated transformation in a CBP/p300-dependent manner, indicating that these components of the APC/C may be targeted during cellular transformation PMID: 16319895
-
亞細胞定位:Nucleus. Cytoplasm, cytoskeleton, spindle.
-
蛋白家族:APC5 family
-
數據庫鏈接:
Most popular with customers
-
-
YWHAB Recombinant Monoclonal Antibody
Applications: ELISA, WB, IHC, IF, FC
Species Reactivity: Human, Mouse, Rat
-
Phospho-YAP1 (S127) Recombinant Monoclonal Antibody
Applications: ELISA, WB, IHC
Species Reactivity: Human
-
-
-
-
-















