ANAPC2 Antibody
-
中文名稱:ANAPC2兔多克隆抗體
-
貨號:CSB-PA937183
-
規格:¥1100
-
圖片:
-
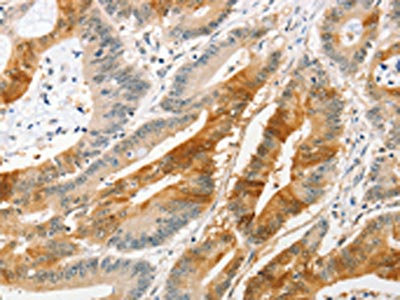
The image on the left is immunohistochemistry of paraffin-embedded Human colon cancer tissue using CSB-PA937183(ANAPC2 Antibody) at dilution 1/20, on the right is treated with fusion protein. (Original magnification: ×200)
-
Gel: 8%SDS-PAGE, Lysate: 40 μg, Lane 1-3: Hela cells, Jurkat cells, NIH/3T3 cells, Primary antibody: CSB-PA937183(ANAPC2 Antibody) at dilution 1/200, Secondary antibody: Goat anti rabbit IgG at 1/8000 dilution, Exposure time: 40 seconds
-
-
其他:
產品詳情
-
Uniprot No.:
-
基因名:
-
別名:anapc2 antibody; Anaphase promoting complex subunit 2 antibody; Anaphase-promoting complex subunit 2 antibody; ANC2_HUMAN antibody; APC2 antibody; Cyclosome subunit 2 antibody; KIAA1406 antibody; OTTHUMP00000022692 antibody; RP11 350O14.5 antibody
-
宿主:Rabbit
-
反應種屬:Human,Mouse
-
免疫原:Fusion protein of Human ANAPC2
-
免疫原種屬:Homo sapiens (Human)
-
標記方式:Non-conjugated
-
抗體亞型:IgG
-
純化方式:Antigen affinity purification
-
濃度:It differs from different batches. Please contact us to confirm it.
-
保存緩沖液:-20°C, pH7.4 PBS, 0.05% NaN3, 40% Glycerol
-
產品提供形式:Liquid
-
應用范圍:ELISA,WB,IHC
-
推薦稀釋比:
Application Recommended Dilution ELISA 1:2000-1:5000 WB 1:200-1:1000 IHC 1:25-1:100 -
Protocols:
-
儲存條件:Upon receipt, store at -20°C or -80°C. Avoid repeated freeze.
-
貨期:Basically, we can dispatch the products out in 1-3 working days after receiving your orders. Delivery time maybe differs from different purchasing way or location, please kindly consult your local distributors for specific delivery time.
-
用途:For Research Use Only. Not for use in diagnostic or therapeutic procedures.
相關產品
靶點詳情
-
功能:Together with the RING-H2 protein ANAPC11, constitutes the catalytic component of the anaphase promoting complex/cyclosome (APC/C), a cell cycle-regulated E3 ubiquitin ligase that controls progression through mitosis and the G1 phase of the cell cycle. The APC/C complex acts by mediating ubiquitination and subsequent degradation of target proteins: it mainly mediates the formation of 'Lys-11'-linked polyubiquitin chains and, to a lower extent, the formation of 'Lys-48'- and 'Lys-63'-linked polyubiquitin chains. The CDC20-APC/C complex positively regulates the formation of synaptic vesicle clustering at active zone to the presynaptic membrane in postmitotic neurons. CDC20-APC/C-induced degradation of NEUROD2 drives presynaptic differentiation.
-
基因功能參考文獻:
- The authors showed, in vitro, a direct interaction between Orf virus anaphase promoting complex regulator and APC2 and its interference with interactions between APC11 and APC2. PMID: 20826619
- The results showed that APC2 and APC7 subunits were both over expressed in cancer cell lines PMID: 26046517
- The regulation of Mdm2 by the E3 ubiquitin ligase APC/C is shown. It has important therapeutic implications for tumors with Mdm2 overexpression. PMID: 24804778
- anaphase-promoting complex (APC)-2-cell cycle and apoptosis regulatory protein (CARP)-1 interaction antagonists are novel regulators of cell growth and apoptosis PMID: 21903591
- It proposes a role for APC/C(Cdh1) in modulating the status of PCNA monoubiquitination and UV DNA repair before S phase entry. PMID: 21768287
- APC2 Cullin protein and APC11 RING protein comprise the minimal ubiquitin ligase module of the anaphase-promoting complex. PMID: 11739784
- Results describe the locations of Cdh1 and Apc2 in the anaphase-promoting complex/cyclosome of human and Xenopus laevis. PMID: 16364912
顯示更多
收起更多
-
蛋白家族:Cullin family
-
數據庫鏈接:
Most popular with customers
-
-
YWHAB Recombinant Monoclonal Antibody
Applications: ELISA, WB, IHC, IF, FC
Species Reactivity: Human, Mouse, Rat
-
-
-
-
-
-















