AMZ2 Antibody
-
中文名稱:AMZ2兔多克隆抗體
-
貨號:CSB-PA126192
-
規格:¥1100
-
圖片:
-
The image on the left is immunohistochemistry of paraffin-embedded Human gastic cancer tissue using CSB-PA126192(AMZ2 Antibody) at dilution 1/60, on the right is treated with fusion protein. (Original magnification: ×200)
-
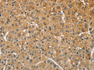
The image on the left is immunohistochemistry of paraffin-embedded Human liver cancer tissue using CSB-PA126192(AMZ2 Antibody) at dilution 1/60, on the right is treated with fusion protein. (Original magnification: ×200)
-
-
其他:
產品詳情
-
Uniprot No.:
-
基因名:AMZ2
-
別名:AMZ2 antibody; AMZ2_HUMAN antibody; Archaelysin family metallopeptidase 2 antibody; Archaemetzincin 2 antibody; Archaemetzincin-2 antibody; Archeobacterial metalloproteinase like protein 2 antibody; Archeobacterial metalloproteinase-like protein 2 antibody
-
宿主:Rabbit
-
反應種屬:Human
-
免疫原:Fusion protein of Human AMZ2
-
免疫原種屬:Homo sapiens (Human)
-
標記方式:Non-conjugated
-
抗體亞型:IgG
-
純化方式:Antigen affinity purification
-
濃度:It differs from different batches. Please contact us to confirm it.
-
保存緩沖液:-20°C, pH7.4 PBS, 0.05% NaN3, 40% Glycerol
-
產品提供形式:Liquid
-
應用范圍:ELISA,IHC
-
推薦稀釋比:
Application Recommended Dilution ELISA 1:1000-1:5000 IHC 1:50-1:200 -
Protocols:
-
儲存條件:Upon receipt, store at -20°C or -80°C. Avoid repeated freeze.
-
貨期:Basically, we can dispatch the products out in 1-3 working days after receiving your orders. Delivery time maybe differs from different purchasing way or location, please kindly consult your local distributors for specific delivery time.
-
用途:For Research Use Only. Not for use in diagnostic or therapeutic procedures.
相關產品
靶點詳情
-
功能:Probable zinc metalloprotease.
-
基因功能參考文獻:
- human archaemetzincin-1 and -2 are two novel members of a family of metalloproteases widely distributed in Archaea PMID: 15972818
-
蛋白家族:Peptidase M54 family
-
組織特異性:Down-regulated in testis from patients with maturation arrest (MA) or Sertoli cell-only syndrome (SCOS).
-
數據庫鏈接:
Most popular with customers
-
-
YWHAB Recombinant Monoclonal Antibody
Applications: ELISA, WB, IHC, IF, FC
Species Reactivity: Human, Mouse, Rat
-
-
-
-
-
-















