AMPD1 Antibody
-
中文名稱:AMPD1兔多克隆抗體
-
貨號:CSB-PA026505
-
規格:¥1100
-
圖片:
-
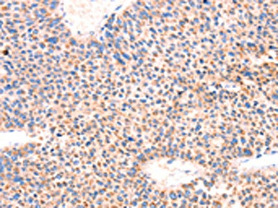
The image on the left is immunohistochemistry of paraffin-embedded Human liver cancer tissue using CSB-PA026505(AMPD1 Antibody) at dilution 1/70, on the right is treated with synthetic peptide. (Original magnification: ×200)
-
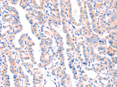
The image on the left is immunohistochemistry of paraffin-embedded Human thyroid cancer tissue using CSB-PA026505(AMPD1 Antibody) at dilution 1/70, on the right is treated with synthetic peptide. (Original magnification: ×200)
-
Gel: 8%SDS-PAGE, Lysate: 40 μg, Lane: Human fetal muscle tissue, Primary antibody: CSB-PA026505(AMPD1 Antibody) at dilution 1/1600, Secondary antibody: Goat anti rabbit IgG at 1/8000 dilution, Exposure time: 3 seconds
-
-
其他:
產品詳情
-
Uniprot No.:
-
基因名:AMPD1
-
別名:AMPD1AMP deaminase 1 antibody; EC 3.5.4.6 antibody; AMP deaminase isoform M antibody; Myoadenylate deaminase antibody
-
宿主:Rabbit
-
反應種屬:Human
-
免疫原:Synthetic peptide of Human AMPD1
-
免疫原種屬:Homo sapiens (Human)
-
標記方式:Non-conjugated
-
抗體亞型:IgG
-
純化方式:Antigen affinity purification
-
濃度:It differs from different batches. Please contact us to confirm it.
-
保存緩沖液:-20°C, pH7.4 PBS, 0.05% NaN3, 40% Glycerol
-
產品提供形式:Liquid
-
應用范圍:ELISA,WB,IHC
-
推薦稀釋比:
Application Recommended Dilution ELISA 1:2000-1:10000 WB 1:500-1:2000 IHC 1:100-1:300 -
Protocols:
-
儲存條件:Upon receipt, store at -20°C or -80°C. Avoid repeated freeze.
-
貨期:Basically, we can dispatch the products out in 1-3 working days after receiving your orders. Delivery time maybe differs from different purchasing way or location, please kindly consult your local distributors for specific delivery time.
-
用途:For Research Use Only. Not for use in diagnostic or therapeutic procedures.
相關產品
靶點詳情
-
功能:AMP deaminase plays a critical role in energy metabolism.
-
基因功能參考文獻:
- T allele of AMPD1 gene C34T polymorphism may be correlated with LVEF, LVEDD and SBP, which plays a protective role in the cardiac functions and blood pressure in cardiovascular disease patients. PMID: 28673246
- The metabolic-chronotropic response is decreased in skeletal muscle MAD deficiency, suggesting a biological mechanism by which AMPD1 gene exerts cardiac effect PMID: 29095874
- Variations in AMPD1, CPT2, and PGYM genes are not associated with the onset, susceptibility, or severity of chronic fatigue syndrome. PMID: 27525900
- Common polymorphism of the AMPD1 gene (C34T) is strongly associated with essential hypertension. PMID: 27323204
- AMPD1 could have a profound influence on cholinergic neurotransmission and sleep; further studies are mandatory PMID: 26439223
- AMPD1 34C>T variant is associated with higher infection susceptibility to community acquired pneumonia but not to ventilator associated pneumonia in sepsis pateints PMID: 26529652
- Mutational variants in AMPD1 contribute to autism risk in Han Chinese population, via mitochondria dysfunction and cell necrosis. PMID: 25155876
- The best response to creatine in terms of physical performance was presented by AMPD1 CC genotype. PMID: 25665401
- The present study demonstrated a positive effect of C34T AMPD1 gene polymorphism in aortic stiffness and in inflammatory status in a high risk population of CAD subjects. PMID: 24508110
- Our other studies on the metabolic impact of AMPD1 C34T mutation revealed decrease in AMPD activity. PMID: 24431031
- Alpinists show significantly higher frequencies of T allele compared to controls. PMID: 24058088
- AMPD1 gene polymorphism C34T can be considered as a marker of liability to the high-speed and strength muscular activity. PMID: 23486588
- In a study of a Spanish and 2 North African cohorts, frequency of the AMPD1 C34T mutation was lower in Berbers compared with the Alpujarra cohort. The GDF8 K153R substitution showed little variability among the three cohorts. PMID: 22324844
- There was a lower frequency of the AMPD1 exon 2 T34 allele in elite Polish power-oriented athletes. The data suggested that the C allele may help athletes to attain elite status in power-oriented sports. PMID: 22017426
- The researchers found evidence that the T allele polymorphism of the AMPD1 gene is associated with negative factor in athletic performance PMID: 22105616
- AMPD1 gene mutations are associated with obesity and diabetes in Polish patients with cardiovascular diseases. PMID: 21108053
- some physico-chemical properties of AMP-deaminase isolated from cardiac muscle of a 10-year-old boy heterozygote for this mutation PMID: 20544536
- A G468T AMPD1 mutant allele contributes to the high incidence of myoadenylate deaminase deficiency in the Caucasian population. PMID: 12117480
- Significantly higher frequency of mutation among donors with healthy hearts used for transplantation. Lower frequency in dysfunctional donor hearts. Frequency of C34T mutation in chronic heart failure was not different. (Review) PMID: 15239633
- The AMPD1 C34T polymorphism influences transplant-free cardiovascular survival in the setting of ischemic left ventricular dysfunction. PMID: 15309698
- Primary myoadenylate-deaminase deficiency was diagnosed based upon elevated creatine-kinase, absent staining for MAD on muscle biopsy, markedly reduced MAD activity in the muscle homogenate, and C34T mutation within exon 2 of AMPD1 gene. PMID: 15368811
- In conclusion, although the frequency distribution of the mutant T allele of the AMPD1 genotype is lower in Caucasian elite endurance athletes than in controls, the C34T mutation does not significantly impair endurance performance. PMID: 15677729
- In this study, the metabolic clearance rate of insulin was associated with AMPD1 SNPs and haplotypes. PMID: 15793265
- a C34T mutation in AMP deaminase is found more frequently in healthy donor hearts than in healthy controls or donors with failing hearts PMID: 16021915
- the AMPD1 mutation decreases the activity of AMP-deaminase in the heart without changing the activity of any other enzymes of adenine nucleotide metabolism PMID: 16021918
- The interpretation of the significance of these observations suggests a physiological mutual dependence between skeletal muscle HPRG and AMPD polypeptides with regard to their stability. PMID: 16570231
- Genes are associated with good clinical response of rheumatoid arthritis to methotrexate treatment. PMID: 16947783
- We did not demonstrate any effect of the C34T polymorphism of the AMPD1 gene on major congestive heart failure parameters and on survival. PMID: 16996850
- The 34C > T variant of AMPD1 augments vasodilation and reduces tissue injury in response to forearm ischaemia. These mechanisms could contribute to the survival benefit of cardiovascular patients with this variant allele. PMID: 17376785
- Reveals a functional role for skeletal muscle AMPD1 enzyme in sprint exercise. PMID: 17463303
- C34T and G468T variations in the adenosine monophosphate deaminase-1 (AMPD1) gene were associated with intima-media thickness of the carotid and brachial artery, endothelial function of the brachial artery in patients with coronary heart disease. PMID: 17565237
- Results suggest a better circulatory adaptation to exercise in individuals with diminished AMPD1 activity, probably due to an AMPD1 genotype-dependent increase in adenosine formation. PMID: 18224333
- may control the systemic metabolic status by changing AMPK activity through the AMP level. PMID: 18409530
- This is a first report evidencing the pattern of AMPD genes expression in neoplastic human liver. PMID: 18493842
- C34T AMPD1 polymorphism may be associated with reduced frequency of obesity in coronary artery disease(CAD) patients and of hyperglycaemia and diabetes in both CAD and heart failure patients. PMID: 18855224
- We found statistical significance for ACE ID and II genotypes in soccer players than in runners; Statistical significance was also reached for AMPD1 (with higher frequency of CT genotype in soccer players than in runners [chi(2)((2))=7.538, P=0.006]) PMID: 19277943
- Possession of AMPD1 T allele is associated with decreased inotropic requirements before heart donation. Incidence of graft dysfunction was significantly higher in recipients who received AMPD1 T-allele-possessing organs resulting in worse 1-year survival. PMID: 19427446
- Observational study of gene-disease association, pharmacogenomic / toxicogenomic, and genetic testing. (HuGE Navigator) PMID: 17530705
顯示更多
收起更多
-
相關疾病:Myopathy due to myoadenylate deaminase deficiency (MMDD)
-
蛋白家族:Metallo-dependent hydrolases superfamily, Adenosine and AMP deaminases family
-
數據庫鏈接:
Most popular with customers
-
-
YWHAB Recombinant Monoclonal Antibody
Applications: ELISA, WB, IHC, IF, FC
Species Reactivity: Human, Mouse, Rat
-
-
-
-
-
-















