AMMECR1 Antibody
-
中文名稱:AMMECR1兔多克隆抗體
-
貨號:CSB-PA22559A0Rb
-
規格:¥440
-
圖片:
-
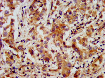
IHC image of CSB-PA22559A0Rb diluted at 1:200 and staining in paraffin-embedded human liver cancer performed on a Leica BondTM system. After dewaxing and hydration, antigen retrieval was mediated by high pressure in a citrate buffer (pH 6.0). Section was blocked with 10% normal goat serum 30min at RT. Then primary antibody (1% BSA) was incubated at 4°C overnight. The primary is detected by a biotinylated secondary antibody and visualized using an HRP conjugated SP system.
-
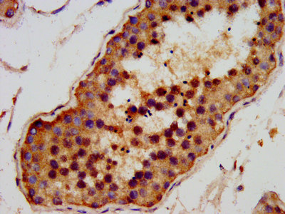
IHC image of CSB-PA22559A0Rb diluted at 1:200 and staining in paraffin-embedded human testis tissue performed on a Leica BondTM system. After dewaxing and hydration, antigen retrieval was mediated by high pressure in a citrate buffer (pH 6.0). Section was blocked with 10% normal goat serum 30min at RT. Then primary antibody (1% BSA) was incubated at 4°C overnight. The primary is detected by a biotinylated secondary antibody and visualized using an HRP conjugated SP system.
-
Immunofluorescence staining of Hela cells with CSB-PA22559A0Rb at 1:66, counter-stained with DAPI. The cells were fixed in 4% formaldehyde, permeabilized using 0.2% Triton X-100 and blocked in 10% normal Goat Serum. The cells were then incubated with the antibody overnight at 4°C. The secondary antibody was Alexa Fluor 488-congugated AffiniPure Goat Anti-Rabbit IgG(H+L).
-
-
其他:
產品詳情
-
產品名稱:Rabbit anti-Homo sapiens (Human) AMMECR1 Polyclonal antibody
-
Uniprot No.:
-
基因名:AMMECR1
-
別名:AMMECR1AMME syndrome candidate gene 1 protein antibody
-
宿主:Rabbit
-
反應種屬:Human
-
免疫原:Recombinant Human AMME syndrome candidate gene 1 protein (146-248AA)
-
免疫原種屬:Homo sapiens (Human)
-
標記方式:Non-conjugated
本頁面中的產品,AMMECR1 Antibody (CSB-PA22559A0Rb),的標記方式是Non-conjugated。對于AMMECR1 Antibody,我們還提供其他標記。見下表:
-
克隆類型:Polyclonal
-
抗體亞型:IgG
-
純化方式:>95%, Protein G purified
-
濃度:It differs from different batches. Please contact us to confirm it.
-
保存緩沖液:Preservative: 0.03% Proclin 300
Constituents: 50% Glycerol, 0.01M PBS, pH 7.4 -
產品提供形式:Liquid
-
應用范圍:ELISA, IHC, IF
-
推薦稀釋比:
Application Recommended Dilution IHC 1:200-1:500 IF 1:50-1:200 -
Protocols:
-
儲存條件:Upon receipt, store at -20°C or -80°C. Avoid repeated freeze.
-
貨期:Basically, we can dispatch the products out in 1-3 working days after receiving your orders. Delivery time maybe differs from different purchasing way or location, please kindly consult your local distributors for specific delivery time.
-
用途:For Research Use Only. Not for use in diagnostic or therapeutic procedures.
相關產品
靶點詳情
-
基因功能參考文獻:
- We conclude that AMMECR1 is a critical gene in the pathogenesis of Alport syndrome with intellectual disability (Mental retardation), Midface hypoplasia and Elliptocytosis (AMME), causing midface hypoplasia and elliptocytosis and contributing to early speech and language delay, infantile hypotonia and hearing loss PMID: 27811305
- Study provides further evidence that mutated AMMECR1 gene is responsible for this clinically recognizable X-linked condition, Alport syndrome, mental retardation, midface hypoplasia, and elliptocytosis (AMME complex) with variable expressivity. PMID: 28089922
- PH0010 from Pyrococcus horikoshii is highly homologous to human AMMECR 1C-terminal region PMID: 15558565
-
相關疾病:Midface hypoplasia, hearing impairment, elliptocytosis, and nephrocalcinosis (MFHIEN); Alport syndrome with mental retardation, midface hypoplasia and elliptocytosis (ATS-MR)
-
亞細胞定位:Nucleus.
-
數據庫鏈接:
Most popular with customers
-
-
YWHAB Recombinant Monoclonal Antibody
Applications: ELISA, WB, IHC, IF, FC
Species Reactivity: Human, Mouse, Rat
-
Phospho-YAP1 (S127) Recombinant Monoclonal Antibody
Applications: ELISA, WB, IHC
Species Reactivity: Human
-
-
-
-
-















