ALOX12B Antibody
-
中文名稱:ALOX12B兔多克隆抗體
-
貨號:CSB-PA001618LA01HU
-
規格:¥440
-
圖片:
-
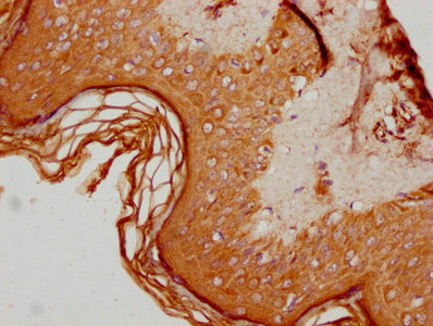
IHC image of CSB-PA001618LA01HU diluted at 1:600 and staining in paraffin-embedded human skin tissue performed on a Leica BondTM system. After dewaxing and hydration, antigen retrieval was mediated by high pressure in a citrate buffer (pH 6.0). Section was blocked with 10% normal goat serum 30min at RT. Then primary antibody (1% BSA) was incubated at 4°C overnight. The primary is detected by a biotinylated secondary antibody and visualized using an HRP conjugated SP system.
-
-
其他:
產品詳情
-
產品名稱:Rabbit anti-Homo sapiens (Human) ALOX12B Polyclonal antibody
-
Uniprot No.:
-
基因名:ALOX12B
-
別名:ALOX12B antibody; Arachidonate 12-lipoxygenase antibody; 12R-type antibody; 12R-LOX antibody; 12R-lipoxygenase antibody; EC 1.13.11.- antibody; Epidermis-type lipoxygenase 12 antibody
-
宿主:Rabbit
-
反應種屬:Human
-
免疫原:Recombinant Human Arachidonate 12-lipoxygenase, 12R-type protein (484-663AA)
-
免疫原種屬:Homo sapiens (Human)
-
標記方式:Non-conjugated
本頁面中的產品,ALOX12B Antibody (CSB-PA001618LA01HU),的標記方式是Non-conjugated。對于ALOX12B Antibody,我們還提供其他標記。見下表:
-
克隆類型:Polyclonal
-
抗體亞型:IgG
-
純化方式:>95%, Protein G purified
-
濃度:It differs from different batches. Please contact us to confirm it.
-
保存緩沖液:Preservative: 0.03% Proclin 300
Constituents: 50% Glycerol, 0.01M PBS, pH 7.4 -
產品提供形式:Liquid
-
應用范圍:ELISA, IHC
-
推薦稀釋比:
Application Recommended Dilution IHC 1:500-1:1000 -
Protocols:
-
儲存條件:Upon receipt, store at -20°C or -80°C. Avoid repeated freeze.
-
貨期:Basically, we can dispatch the products out in 1-3 working days after receiving your orders. Delivery time maybe differs from different purchasing way or location, please kindly consult your local distributors for specific delivery time.
-
用途:For Research Use Only. Not for use in diagnostic or therapeutic procedures.
相關產品
靶點詳情
-
功能:Catalyzes the regio and stereo-specific incorporation of a single molecule of dioxygen into free and esterified polyunsaturated fatty acids generating lipid hydroperoxides that can be further reduced to the corresponding hydroxy species. In the skin, acts upstream of ALOXE3 on the lineolate moiety of esterified omega-hydroxyacyl-sphingosine (EOS) ceramides to produce an epoxy-ketone derivative, a crucial step in the conjugation of omega-hydroxyceramide to membrane proteins. Therefore plays a crucial role in the synthesis of corneocytes lipid envelope and the establishment of the skin barrier to water loss. May also play a role in the regulation of the expression of airway mucins.
-
基因功能參考文獻:
- The rare homozygous ALOX12B mutation found in Patient 5 causes a change in a conserved residue; Leu315 into a proline in the catalytic domain of 12R-LOX. PMID: 28236338
- report adds information on the clinical picture of autosomal recessive congenital ichthyosis caused by ALOX12B mutations PMID: 26575587
- We found that the contribution of the ALOX12B gene to the pathogenesis of Autosomal Recessive Congenital Ichthyosis to be as important as that of TGM1 in families of Arab Muslim origin PMID: 23621129
- Loss-of-function mutations in the LOX genes ALOX12B and ALOXE3 have been found to represent the second most common cause of autosomal recessive congenital ichthyosis. [review] PMID: 23954555
- This review covers the background to discovery of the two key lipoxygenases (LOX) involved in epidermal barrier function, 12R-LOX and eLOX3. [review] PMID: 24021977
- Autosomal recessive congenital ichthyosis patients with NIPAL4 mutations and abnormal ichthyin expression showed increased 12R-LOX and eLOX-3 staining and a colocalization signal of these LOXs that was three times the normal intensity. PMID: 22622417
- It was shown that 12R-lipoxygenase is involved in MUC5AC expression via ERK- and Sp1-signalling pathways. PMID: 22441738
- co-overproduction of the two chaperones with 12R-LOX resulted in increased solubility of 12R-LOX and allowed the purification of milligram amounts of active enzyme for structural studies by X-ray diffraction PMID: 21821891
- ALOX12B mutations are the leading cause of self-improving collodion ichthyosis in Scandinavia, followed by ALOXE3 mutations, and TGM1 mutations PMID: 19890349
- 12-R-LOX and COX-2 play critical roles in the regulation of growth in epidermoid carcinoma PMID: 19558494
- Lipoxygenase-3 (ALOXE3) and 12(R)-lipoxygenase (ALOX12B) are mutated in non-bullous congenital ichthyosiform erythroderma (NCIE) linked to chromosome 17p13.1. PMID: 11773004
- 12R-LOX hydrolase functions in the normal process of skin differentiation, and that the loss of function mutations are the basis of the LOX-dependent form of Non-bullous congenital ichthyosiform erythroderma. PMID: 15629692
- Our data contribute to an enlargement of the spectrum of mutations for the development of efficient molecular genetic tests for analysis of at risk individuals whose carrier status is unknown. PMID: 17139268
- Formation of a ligand for the nuclear receptor PPARalpha may be one possibility by which 12R-LOX and eLOX3 contribute to epidermal differentiation. PMID: 17436029
- clinical & molecular features of 2 cases of self-healing collodion phenotype that developed mild ichthyosiform erythroderma; both patients were compound heterozygous for novel ALOX12B mutations PMID: 18347291
- mutation hotspots in ALOXE3 and allelic heterogeneity in ALOX12B may have roles in autosomal recessive congenital ichthyosis PMID: 19131948
顯示更多
收起更多
-
相關疾?。?/div>Ichthyosis, congenital, autosomal recessive 2 (ARCI2)亞細胞定位:Cytoplasm. Cytoplasm, perinuclear region.蛋白家族:Lipoxygenase family組織特異性:Expressed in B-cells, hair follicles, foreskin keratinocytes and adult skin. Also expressed in psoriatic tissue.數據庫鏈接:
Most popular with customers
-
YWHAB Recombinant Monoclonal Antibody
Applications: ELISA, WB, IHC, IF, FC
Species Reactivity: Human, Mouse, Rat
-
Phospho-YAP1 (S127) Recombinant Monoclonal Antibody
Applications: ELISA, WB, IHC
Species Reactivity: Human
-
-
-
-
-
-















