ALDOB Antibody
-
中文名稱:ALDOB兔多克隆抗體
-
貨號:CSB-PA969647
-
規格:¥1100
-
圖片:
-
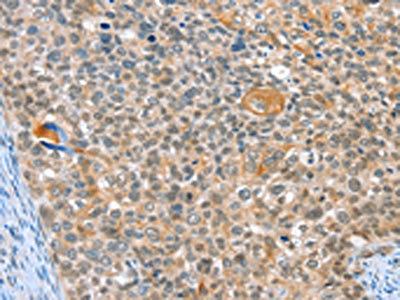
The image on the left is immunohistochemistry of paraffin-embedded Human cervical cancer tissue using CSB-PA969647(ALDOB Antibody) at dilution 1/40, on the right is treated with synthetic peptide. (Original magnification: ×200)
-
The image on the left is immunohistochemistry of paraffin-embedded Human esophagus cancer tissue using CSB-PA969647(ALDOB Antibody) at dilution 1/40, on the right is treated with synthetic peptide. (Original magnification: ×200)
-
Gel: 10%SDS-PAGE, Lysate: 40 μg, Lane: Mouse liver tissue, Primary antibody: CSB-PA969647(ALDOB Antibody) at dilution 1/200, Secondary antibody: Goat anti rabbit IgG at 1/8000 dilution, Exposure time: 2 seconds
-
-
其他:
產品詳情
-
Uniprot No.:
-
基因名:ALDOB
-
別名:ALDB antibody; ALDO B antibody; ALDO2 antibody; ALDOB antibody; ALDOB_HUMAN antibody; Aldolase 2 antibody; Aldolase B antibody; Aldolase B fructose bisphosphate antibody; Aldolase2 antibody; AldolaseB antibody; EC 4.1.2.13 antibody; Fructose bisphosphate aldolase B antibody; Fructose-bisphosphate aldolase B antibody; Liver type aldolase antibody; Liver-type aldolase antibody; MS1077 antibody
-
宿主:Rabbit
-
反應種屬:Human,Mouse,Rat
-
免疫原:Synthetic peptide of Human ALDOB
-
免疫原種屬:Homo sapiens (Human)
-
標記方式:Non-conjugated
-
抗體亞型:IgG
-
純化方式:Antigen affinity purification
-
濃度:It differs from different batches. Please contact us to confirm it.
-
保存緩沖液:-20°C, pH7.4 PBS, 0.05% NaN3, 40% Glycerol
-
產品提供形式:Liquid
-
應用范圍:ELISA,WB,IHC
-
推薦稀釋比:
Application Recommended Dilution ELISA 1:2000-1:5000 WB 1:500-1:2000 IHC 1:50-1:200 -
Protocols:
-
儲存條件:Upon receipt, store at -20°C or -80°C. Avoid repeated freeze.
-
貨期:Basically, we can dispatch the products out in 1-3 working days after receiving your orders. Delivery time maybe differs from different purchasing way or location, please kindly consult your local distributors for specific delivery time.
-
用途:For Research Use Only. Not for use in diagnostic or therapeutic procedures.
相關產品
靶點詳情
-
基因功能參考文獻:
- Silencing Aldolase B activated epithelial markers and repressed mesenchymal markers, indicating inactivation of Aldolase B may lead to inhibition of epithelial-mesenchymal transition PMID: 28558381
- The downregulation of ALDOB could indicate a poor prognosis for HCC patients, and therefore, ALDOB might be considered a prognostic biomarker for HCC, especially at the early stage. PMID: 26376879
- Single nucleotide polymorphisms in ALDOB, MAP3K1, and MEF2C are associated with cataract. PMID: 25352737
- both of exogenous and endogenous ALDOB proteins bind to hepatitis B surface antigen and colocalize in the cytoplasm in vitro and inhibit apoptosis of cisplatin-induced HepG2 cells. PMID: 25072145
- Efficient inhibition of aldolase B can prevent high glucose-induced overproduction of methylglyoxal and related cellular dysfunction in endothelial cells. PMID: 22911800
- Aldolase B with the A149P substitution has activity that is <100-fold that of the wild type. PMID: 21166391
- These novel mutations in ALDOB represent 2% of alleles in American HFI (hereditary fructose intolerance) patients, with IVS1+1G>C representing a significantly higher allele frequency (6%) among HFI patients of Hispanic and African-American ethnicity. PMID: 20882353
- This is the first report of six unrelated patients sharing the same ALDOB deletion, thus indicating a founder effect for this allele. PMID: 20848650
- Biochemical study of defective aldolase B enzymes is key to revealing the molecular basis of the disease and providing a stronger basis for improved treatment and diagnosis PMID: 20162364
- Structural and functional analysis of aldolase B mutants related to hereditary fructose intolerance. PMID: 12417303
- The enzyme's structure and function is investigated as a function of temperature.The implications of these structural alterations are discussed with regard to the HFI disease PMID: 12464284
- expression of three (Beclin 1, RbAp48 and Pir51) were increased and one (aldolase b) was decreased in liver tumor tissues PMID: 14966907
- six new aldolase B mutations in seven unrelated hereditary fructose intolerant (HFI) Italian patients PMID: 15532022
- Based on these data and after correction for less common and private ALDOB mutations, hereditary fructose intolerance (HFI) prevalence in central Europe is estimated to be 1:26,100 (95% confidence interval 1: 12,600-79,000). PMID: 15880727
- Reverse-hybridization assay tested for an accurate and robust screening tool to identify common ALDOB mutations. PMID: 17292585
- Usefulness of ALDOB mutation in screening for diagnosis of hereditary fructose intolerance. PMID: 17457694
- there is an important role for physical association between aldolase and the A, B and E subunits of V-ATPase in the regulation of the proton pump PMID: 17576770
- Hereditary fructose intolerance with the mutation c.479_482 del AACA PMID: 17955389
- Sixteen different mutations of the aldolase B (ALDOB) gene were identified in hereditary fructose intolerance patients. PMID: 18541450
- The five gene transcripts (aldolase B, elafin, MST-1, simNIPhom and SLC6A14) were changed in patients with ulcerative colitis, and were related to the disease activity. PMID: 18700007
顯示更多
收起更多
-
相關疾病:Hereditary fructose intolerance (HFI)
-
亞細胞定位:Cytoplasm, cytoskeleton, microtubule organizing center, centrosome, centriolar satellite.
-
蛋白家族:Class I fructose-bisphosphate aldolase family
-
數據庫鏈接:
Most popular with customers
-
-
YWHAB Recombinant Monoclonal Antibody
Applications: ELISA, WB, IHC, IF, FC
Species Reactivity: Human, Mouse, Rat
-
Phospho-YAP1 (S127) Recombinant Monoclonal Antibody
Applications: ELISA, WB, IHC
Species Reactivity: Human
-
-
-
-
-















