ALDH6A1 Antibody
-
中文名稱:ALDH6A1兔多克隆抗體
-
貨號:CSB-PA925196
-
規格:¥1100
-
圖片:
-
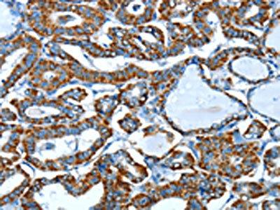
The image on the left is immunohistochemistry of paraffin-embedded Human thyroid cancer tissue using CSB-PA925196(ALDH6A1 Antibody) at dilution 1/45, on the right is treated with fusion protein. (Original magnification: ×200)
-
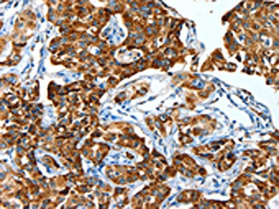
The image on the left is immunohistochemistry of paraffin-embedded Human lung cancer tissue using CSB-PA925196(ALDH6A1 Antibody) at dilution 1/45, on the right is treated with fusion protein. (Original magnification: ×200)
-
Gel: 10%SDS-PAGE, Lysate: 40 μg, Lane: Rat kidney tissue, Primary antibody: CSB-PA925196(ALDH6A1 Antibody) at dilution 1/450, Secondary antibody: Goat anti rabbit IgG at 1/8000 dilution, Exposure time: 30 seconds
-
-
其他:
產品詳情
-
Uniprot No.:
-
基因名:ALDH6A1
-
別名:1110038I05Rik antibody; AI314632 antibody; Aldehyde dehydrogenase 6 family member A1 antibody; Aldehyde dehydrogenase family 6 member A1 antibody; Aldehyde dehydrogenase family 6, subfamily A1 antibody; ALDH6A1 antibody; Malonate semialdehyde dehydrogenase antibody; Malonate-semialdehyde dehydrogenase [acylating] antibody; Methylmalonate semialdehyde dehydrogenase [acylating] mitochondrial antibody; Methylmalonate-semialdehyde dehydrogenase [acylating] antibody; MGC37325 antibody; MGC40271 antibody; Mitochondrial acylating methylmalonate semialdehyde dehydrogenase antibody; mitochondrial antibody; MMSA_HUMAN antibody; MMSADHA antibody; MMSDH antibody
-
宿主:Rabbit
-
反應種屬:Human,Mouse,Rat
-
免疫原:Fusion protein of Human ALDH6A1
-
免疫原種屬:Homo sapiens (Human)
-
標記方式:Non-conjugated
-
抗體亞型:IgG
-
純化方式:Antigen affinity purification
-
濃度:It differs from different batches. Please contact us to confirm it.
-
保存緩沖液:-20°C, pH7.4 PBS, 0.05% NaN3, 40% Glycerol
-
產品提供形式:Liquid
-
應用范圍:ELISA,WB,IHC
-
推薦稀釋比:
Application Recommended Dilution ELISA 1:2000-1:5000 WB 1:500-1:2000 IHC 1:50-1:200 -
Protocols:
-
儲存條件:Upon receipt, store at -20°C or -80°C. Avoid repeated freeze.
-
貨期:Basically, we can dispatch the products out in 1-3 working days after receiving your orders. Delivery time maybe differs from different purchasing way or location, please kindly consult your local distributors for specific delivery time.
-
用途:For Research Use Only. Not for use in diagnostic or therapeutic procedures.
相關產品
靶點詳情
-
功能:Plays a role in valine and pyrimidine metabolism. Binds fatty acyl-CoA.
-
基因功能參考文獻:
- Results show that ALDH6A1 expression is significantly reduced in metastatic prostate cancer and represents a strong marker predicting survival, along with HSP27 and prohibitin. PMID: 30396985
- ACAT1, ACACA, ALDH6A1 and MTHFD1 represent novel biomarkers in adipose tissue associated with type 2 diabetes in obese individuals. PMID: 25099943
- Mutation analysis in the ALDH6A1 gene can reveal a cause of 3-hydroxyisobutyric aciduria, which may present with only slightly increased urinary levels of 3-hydroxyisobutyric acid, if a patient is metabolically stable [case reports] PMID: 21863277
-
相關疾病:Methylmalonate semialdehyde dehydrogenase deficiency (MMSDHD)
-
亞細胞定位:Mitochondrion.
-
蛋白家族:Aldehyde dehydrogenase family
-
數據庫鏈接:
Most popular with customers
-
-
Phospho-YAP1 (S127) Recombinant Monoclonal Antibody
Applications: ELISA, WB, IHC
Species Reactivity: Human
-
-
-
-
-
-















