-
中文名稱:ALDH1A1兔多克隆抗體
-
貨號:CSB-PA001565ESR1HU
-
規格:¥440
-
圖片:
-
Western blot
All lanes: Retinal dehydrogenase 1 antibody at 4μg/ml + Mouse liver tissue
Secondary
Goat polyclonal to rabbit IgG at 1/10000 dilution
Predicted band size: 55 kDa
Observed band size: 55 kDa -
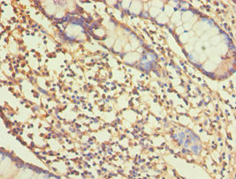
Immunohistochemistry of paraffin-embedded human small intestine tissue using CSB-PA001565ESR1HU at dilution of 1:100
-
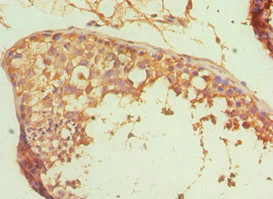
Immunohistochemistry of paraffin-embedded human testis tissue using CSB-PA001565ESR1HU at dilution of 1:100
-
-
其他:
產品詳情
-
產品名稱:Rabbit anti-Homo sapiens (Human) ALDH1A1 Polyclonal antibody
-
Uniprot No.:
-
基因名:
-
別名:Acetaldehyde dehydrogenase 1 antibody; AHD2 antibody; AL1A1_HUMAN antibody; ALDC antibody; Aldehyde dehydrogenase 1 family member A1 antibody; Aldehyde dehydrogenase 1 soluble antibody; Aldehyde dehydrogenase 1A1 antibody; Aldehyde dehydrogenase antibody; Aldehyde dehydrogenase cytosolic antibody; Aldehyde dehydrogenase family 1 member A1 antibody; Aldehyde dehydrogenase liver cytosolic antibody; ALDH 1 antibody; ALDH 1A1 antibody; ALDH class 1 antibody; ALDH; liver cytosolic antibody; ALDH-E1 antibody; ALDH1 A1 antibody; ALDH1 antibody; ALDH11 antibody; ALDH1A1 antibody; ALHDII antibody; cytosolic antibody; epididymis luminal protein 12 antibody; epididymis luminal protein 9 antibody; epididymis secretory sperm binding protein Li 53e antibody; HEL-S-53e antibody; MGC2318 antibody; PUMB1 antibody; RALDH 1 antibody; RalDH1 antibody; Retinal dehydrogenase 1 antibody
-
宿主:Rabbit
-
反應種屬:Human, Mouse
-
免疫原:Recombinant Human Retinal dehydrogenase 1 protein (202-501AA)
-
免疫原種屬:Homo sapiens (Human)
-
標記方式:Non-conjugated
-
克隆類型:Polyclonal
-
抗體亞型:IgG
-
純化方式:Antigen Affinity Purified
-
濃度:It differs from different batches. Please contact us to confirm it.
-
保存緩沖液:PBS with 0.02% sodium azide, 50% glycerol, pH7.3.
-
產品提供形式:Liquid
-
應用范圍:ELISA, WB, IHC
-
推薦稀釋比:
Application Recommended Dilution WB 1:500-1:2000 IHC 1:20-1:200 -
Protocols:
-
儲存條件:Upon receipt, store at -20°C or -80°C. Avoid repeated freeze.
-
貨期:Basically, we can dispatch the products out in 1-3 working days after receiving your orders. Delivery time maybe differs from different purchasing way or location, please kindly consult your local distributors for specific delivery time.
-
用途:For Research Use Only. Not for use in diagnostic or therapeutic procedures.
引用文獻
- UBE2S targets RPL26 for ubiquitination and degradation to promote non-small cell lung cancer progression via regulating c-Myc D Gong,American journal of cancer research,2023
相關產品
靶點詳情
-
功能:Cytosolic dehydrogenase that catalyzes the irreversible oxidation of a wide range of aldehydes to their corresponding carboxylic acid. Functions downstream of retinol dehydrogenases and catalyzes the oxidation of retinaldehyde into retinoic acid, the second step in the oxidation of retinol/vitamin A into retinoic acid. This pathway is crucial to control the levels of retinol and retinoic acid, two important molecules which excess can be teratogenic and cytotoxic. Also oxidizes aldehydes resulting from lipid peroxidation like (E)-4-hydroxynon-2-enal/HNE, malonaldehyde and hexanal that form protein adducts and are highly cytotoxic. By participating for instance to the clearance of (E)-4-hydroxynon-2-enal/HNE in the lens epithelium prevents the formation of HNE-protein adducts and lens opacification. Functions also downstream of fructosamine-3-kinase in the fructosamine degradation pathway by catalyzing the oxidation of 3-deoxyglucosone, the carbohydrate product of fructosamine 3-phosphate decomposition, which is itself a potent glycating agent that may react with lysine and arginine side-chains of proteins. Has also an aminobutyraldehyde dehydrogenase activity and is probably part of an alternative pathway for the biosynthesis of GABA/4-aminobutanoate in midbrain, thereby playing a role in GABAergic synaptic transmission.
-
基因功能參考文獻:
- ALDH expression in decidual mesenchymal stem cells is required for cellular resistance to oxidative stress. PMID: 28205523
- NGFR and ALDH1A1+ cells are lost during tumourigenesis PMID: 29891189
- These data revealed crucial roles of ALDH(-) cancer stem cell in Papillary thyroid carcinoma biology and suggested that cancer stem cell subpopulations function cooperatively to control Papillary thyroid carcinoma initiation and progression. PMID: 29274322
- ALDH1 and tumor infiltrating lymphocytes as predictors for neoadjuvant chemotherapy response in breast cancer PMID: 29685462
- the expression of the ALDH1A1 protein in colorectal cancer (CRC) tissues was significantly associated with the presence of lymph node metastases and might be a potential prognostic marker in patients with CRC. PMID: 29748529
- High ALDH1A1 expression may be a prognostic indicator of survival in patients with gastric neuroendocrine carcinoma PMID: 29103772
- In this review, we elevated the role of ALDH to be a potential marker to define and distinguish hematopoietic stem cells and leukemia stem cells and its importance in prognosis and target therapy in AML patients PMID: 29516013
- Quercetin suppressed breast cancer stem cell proliferation, self-renewal, and invasiveness. It also lowered the expression levels of proteins related to tumorigenesis and cancer progression, such as aldehyde dehydrogenase 1A1, C-X-C chemokine receptor type 4, mucin 1, and epithelial cell adhesion molecules. PMID: 29353288
- Basing on the available evidence, this meta-analysis showed that high levels of ALDH1 expression correlate with worse OS and PFS in ovarian cancer patients. PMID: 29753392
- Data suggested that ALDH1A1 may be an independent prognostic indicator and a new molecular biomarker for diagnosis in B-cell non-Hodgkin's lymphoma. PMID: 29399699
- findings suggested that ALDH1 played an important role in treatment response and the tumor-promoting microenvironment in OSCC PMID: 28939082
- NFATc2 enhances tumor-initiating phenotypes through the NFATc2/SOX2/ ALDH1A1 axis in lung adenocarcinoma. PMID: 28737489
- significant association between ALDH1A1 expressions with Gleason score indicates the potential role of this protein in PCa tumorigenesis and aggressive behavior; therefore, this cancer stem cell marker can be used as a promising candidate for targeted therapy of PCa, especially those with high Gleason score PMID: 26894647
- this study identified TAZ as a novel inducer of lung cancer stem cells and the first transcriptional activator of the stem cell marker ALDH1A1 PMID: 28415606
- these findings indicate that ALDH1 can be prognosis prediction markers for urinary tract carcinomas PMID: 28418868
- Circulating tumor cells expressing cytokeratin and tumor-initiating cell markers, including ALDH, CD133, and CD44, were identified in patients with pancreatic adenocarcinoma. These TIC-like CTCs were associated with poor prognosis after surgical resection and with an increased incidence of tumor recurrence PMID: 27789528
- approximately 25% of all acute myeloid leukemias expressed low or undetectable levels of ALDH1A1 and this ALDH1A1(-) subset of leukemias correlates with good prognosis cytogenetics PMID: 28280079
- These findings suggest that ALDH1 expression in malignant melanoma has a favorable effect on patient survival PMID: 28106104
- disulfiram/copper complex targets ALDH1A1 to inhibit non-small cell lung cancer recurrence driven by ALDH-positive cancer stem cells PMID: 27542268
- Mesenchymal stem cells selected for ALDH(hi) demonstrated enhanced proangiogenic secretory functions and represent a purified MSC subset amenable for vascular regenerative applications. PMID: 28295901
- ALDH appears to be involved in the interaction between lung and Osteosarcoma (OS) cells, and ALP may be a valuable biomarker for monitoring functional OS changes during metastasis. PMID: 28122543
- CD44 and ALDH are the most specific biomarkers to detect and isolate tumorigenic and chemoresistant gastric CSCs in noncardia gastric carcinomas independently of the histologic classification of the tumor. PMID: 27620279
- Low expression level of ALDH1A1 is associated with prostate cancer. PMID: 26934553
- Collectively, this study illustrates the interplay between ALDH(high) CSCLs and EOC invasion, and offers a novel application target for the EOC oncotherapy. PMID: 29170132
- Findigs suggest that aldehyde dehydrogenase 1 (ALDH1) played an important role in tumor aggressiveness and associated with a tumor-promoting microenvironment in esophageal cancer. PMID: 28888039
- These results suggested that tumor-secreting factor increases ALDH(high) TEC populations that are resistant to 5-FU. Therefore, ALDH(high) TEC in tumor blood vessels might be an important target to overcome or prevent drug resistance. PMID: 28851003
- Results demonstrate that EZH2 and ALDH1 proteins are expressed in the stromal component of phyllodes tumors. PMID: 27290698
- High ALDH1A1 expression is associated with cervical cancer. PMID: 28449663
- Study shows that BPA induces ALDH1 expression in MCF-7 Cells and increases mammosphere size. PMID: 28244015
- High ALDH expression is associated with Prostate Cancer. PMID: 28870918
- High ALDH1 expression is associated with endometrial cancer. PMID: 28604744
- A central role of Aurora kinase A (AURKA) in promoting Epithelial-to-mesenchymal transition and cancer stem cell phenotypes via ALDH1A1. PMID: 28193222
- ALDH1A1 modulates the production of ROS by anti-cancer agents such as paclitaxel and diminishes their efficacy. PMID: 28756208
- High expression of ALDH1 is associated with non-small cell lung cancer. PMID: 27832750
- NOR1 suppresses cancer stem-like cell properties in nasopharyngeal carcinoma cells by inhibiting the AKT-GSK-3beta-Wnt/beta-catenin-ALDH1A1 signaling circuit. PMID: 27891591
- FBLN-3 promoter region was highly methylated in some pancreatic cancer cell lines. FBLN-3 inhibited c-MET activation and expression and reduced cellular level of ALDH1. PMID: 25451256
- ALDH1A1 silencing induced sensitivity in the cisplatin resistant head and neck cancer cell line In Vitro. PMID: 27380877
- Among patients with ER-positive/HER2-negative breast cancer, ALDH1 expression was more common in those with early recurrence, and this expression was found to be associated with a more aggressive breast cancer phenotype than that in the patients without recurrence. PMID: 27368476
- We demonstrate the utility of this assay by generating dose-response curves on a comprehensive set of prior art inhibitors as well as hundreds of ALDH1A1 inhibitors synthesized in house. Finally, we established a screening paradigm using a pair of cell lines with low and high ALDH1A1 expression, respectively, to uncover novel cell-active ALDH1A1-specific inhibitors from a collection of over 1,000 small molecules. PMID: 28129349
- The expression of CD133, but not ALDHA1A, was significantly associated with poorer overall survival (p<0.0001) and shorter disease-free interval (DFI) (p<0.0001) in lung adenocarcinoma PMID: 28476825
- Results suggest that ALDH1 expression correlates with aggressive phenotypes, and that high ALDH1 expression predicts a poor outcome in breast cancer. PMID: 28640095
- ALDH1A1 and IGFBP1 are differentially overexpressed in CLM and may play a dual role, functioning as both tumor suppressors and metastasis promoters in CRC PMID: 27152521
- CD44+/24- and ALDH1-positive rates in primary tumors differed according to intrinsic subtype. ER-positive patients with CD44+/24- tumors had significantly longer disease-free-survival than all other ER-positive patients PMID: 27768764
- prognostic indicator of survival in triple negative breast cancer PMID: 28383433
- ALDH1 positivity is associated with poor prognosis of cervical carcinoma, and may be an independent predictor of prognosis. PMID: 24827824
- High ALDH1A1 expression is associated with bladder cancer. PMID: 28184944
- Results indicate that ALDH1A1 is associated with cisplatin resistance in human lung adenocarcinoma cell line A549/DDP cells, and that activation of the PI3K/AKT signal pathway may be the responsible mechanism. PMID: 27813328
- We ascertained the presence of strong association between ALDH1A1 expression and both histological subtype & tumor grade of non-small cell lung cancers. We report a fascinating finding; ALDH1A1 heterogeneity within adenocarcinoma can be mapped to its histological patterns. PMID: 26907783
- Whole-tissue is better than TMA for the detection of ALDH1A1 nuclear staining in colorectal carcinoma patients, and nuclear expression is associated with a better outcome. Cytoplasmic expression is not a suitable prognostic marker of colorectal carcinoma. PMID: 27461829
- Data support a crucial role of Notch3 in the increase of stem-like property in NSCLC cells that might be associated with upregulation of ALDH1A1 and CD44 and activation of autophagy. PMID: 27035162
顯示更多
收起更多
-
亞細胞定位:Cytoplasm, cytosol. Cell projection, axon.
-
蛋白家族:Aldehyde dehydrogenase family
-
組織特異性:Expressed by erythrocytes (at protein level).
-
數據庫鏈接:
Most popular with customers
-
-
Phospho-YAP1 (S127) Recombinant Monoclonal Antibody
Applications: ELISA, WB, IHC
Species Reactivity: Human
-
-
-
-
-
-















