-
中文名稱:ALB兔多克隆抗體
-
貨號:CSB-PA001561LA01HU
-
規格:¥440
-
圖片:
-
Western blot
All lanes: ALB antibody at 2 μg/ml
Lane 1: Mouse heart tissue
Lane 2: Mouse liver tissue
Lane 3: Mouse spleen tissue
Lane 4: Mouse lung tissue
Lane 5: Mouse kidney tissue
Lane 6: Mouse brain tissue
Lane 7: Mouse skeletal muscle tissue
Secondary
Goat polyclonal to rabbit IgG at 1/10000 dilution
Predicted band size: 70, 48, 46 kDa
Observed band size: 70, 50, 27 kDa -
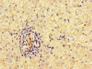
Immunohistochemistry of paraffin-embedded human liver cancer using CSB-PA001561LA01HU at dilution of 1:100
-
Immunofluorescent analysis of HepG2 cells using CSB-PA001561LA01HU at dilution of 1:100 and Alexa Fluor 488-congugated AffiniPure Goat Anti-Rabbit IgG(H+L)
-
-
其他:
產品詳情
-
產品名稱:Rabbit anti-Homo sapiens (Human) ALB Polyclonal antibody
-
Uniprot No.:
-
基因名:
-
別名:alb antibody; ALBU_HUMAN antibody; Albumin (32 AA) antibody; Albumin (AA 34) antibody; cell growth inhibiting protein 42 antibody; DKFZp779N1935 antibody; GIG20 antibody; GIG42 antibody; Growth inhibiting protein 20 antibody; growth-inhibiting protein 20 antibody; OTTHUMP00000220436 antibody; OTTHUMP00000220438 antibody; OTTHUMP00000220439 antibody; PRO0883 antibody; PRO0903 antibody; PRO1341 antibody; PRO1708 antibody; PRO2044 antibody; PRO2619 antibody; PRO2675 antibody; Serum albumin antibody; UNQ696/PRO1341 antibody
-
宿主:Rabbit
-
反應種屬:Human, Mouse
-
免疫原:Recombinant Human Serum albumin protein (76-389AA)
-
免疫原種屬:Homo sapiens (Human)
-
標記方式:Non-conjugated
本頁面中的產品,ALB Antibody (CSB-PA001561LA01HU),的標記方式是Non-conjugated。對于ALB Antibody,我們還提供其他標記。見下表:
-
克隆類型:Polyclonal
-
抗體亞型:IgG
-
純化方式:>95%, Protein G purified
-
濃度:It differs from different batches. Please contact us to confirm it.
-
保存緩沖液:Preservative: 0.03% Proclin 300
Constituents: 50% Glycerol, 0.01M PBS, PH 7.4 -
產品提供形式:Liquid
-
應用范圍:ELISA, WB, IHC, IF
-
推薦稀釋比:
Application Recommended Dilution WB 1:1000-1:5000 IHC 1:20-1:200 IF 1:50-1:200 -
Protocols:
-
儲存條件:Upon receipt, store at -20°C or -80°C. Avoid repeated freeze.
-
貨期:Basically, we can dispatch the products out in 1-3 working days after receiving your orders. Delivery time maybe differs from different purchasing way or location, please kindly consult your local distributors for specific delivery time.
-
用途:For Research Use Only. Not for use in diagnostic or therapeutic procedures.
引用文獻
- FCGR2B knockdown alleviates diabetes-induced cognitive dysfunction by altering neuronal excitability Y Qu, X Chen, P Wu, Y Zhao,Molecular Medicine,2025
- Sensitive polydopamine bi-functionalized SERS immunoassay for microalbuminuria detection Zhipeng Huang, et al,Biosensors and Bioelectronics,2019
相關產品
靶點詳情
-
功能:Binds water, Ca(2+), Na(+), K(+), fatty acids, hormones, bilirubin and drugs (Probable). Its main function is the regulation of the colloidal osmotic pressure of blood (Probable). Major zinc transporter in plasma, typically binds about 80% of all plasma zinc. Major calcium and magnesium transporter in plasma, binds approximately 45% of circulating calcium and magnesium in plasma. Potentially has more than two calcium-binding sites and might additionally bind calcium in a non-specific manner. The shared binding site between zinc and calcium at residue Asp-273 suggests a crosstalk between zinc and calcium transport in the blood. The rank order of affinity is zinc > calcium > magnesium. Binds to the bacterial siderophore enterobactin and inhibits enterobactin-mediated iron uptake of E.coli from ferric transferrin, and may thereby limit the utilization of iron and growth of enteric bacteria such as E.coli. Does not prevent iron uptake by the bacterial siderophore aerobactin.
-
基因功能參考文獻:
- relatively low serum concentrations of albumin may be an independent risk factor for Mild cognitive impairment in elderly. PMID: 30249938
- Albumin-globulin ratio in combination with CEA provides a more accurate indicator of poor prognosis and early recurrence in rectal carcinoma patients treated with preoperative chemoradiotherapy. PMID: 29996133
- Patients with steroid-refractory GI Acute graft versus host disease had higher fecal calprotectin levels and lower albumin levels than patients with steroid-responsive disease. PMID: 29397331
- Lower serum albumin concentrations in patients with pulmonary arterial hypertension are associated with higher mortality and can serve as a marker of disease severity in this patient population. PMID: 29604093
- This meta-analysis suggests that C-reactive protein/albumin ratio (CAR)may be a potential prognostic marker in solid cancers PMID: 28128229
- Thiol/Disuldife homeostasis balance and ischemia-modified albumin levels may be used a biomarker to monitor the tissue ischemia in diabetic mellitus and to discriminate the different stages of diabetic retinopathy. PMID: 29298534
- mitochondrial dysfunction activates the PINK1/Parkin signaling and mitophagy in renal tubular epithelial cells under albumin overload condition. PMID: 29494565
- Serum ischemia-modified albumin (IMA) in addition to the prevalence of small for gestational age (SGA) were significantly increased in the pre-eclampsia group. Cord blood IMA, therefore, might be a predictive biomarker for SGA in pre-eclampsia pregnancies. PMID: 29570915
- By using the fluorescence activatable nanosensor as the structural indicator, the stepwise conformational transitions of HSA during denaturing and the partial refolding of subdomain IIA of HSA were facilely visualized. PMID: 27232658
- Serum albumin adduct features were both positively and negatively associated with smoking, indicating that some adducts arise from reactions between Cys34 and constituents of cigarette smoke (e.g., ethylene oxide and acrylonitrile) while others (Cys34 oxidation products and disulfides) appear to reflect alterations in the serum redox state that resulted in reduced adduct levels in smokers. PMID: 27684351
- the increased lipophilicity of sulphur-containing compounds might be a reason for their better binding to HSA. PMID: 29128746
- hese obtained results provide an in-depth understanding of the interaction of the acid azo dye AO10 with serum albumins. PMID: 29126006
- A higher preoperative serum ALB level is associated with better long-term survival in intrahepatic cholangiocarcinoma patients. PMID: 29672305
- the presence of hydroxyl groups is capable of modulating the interaction between riparins and HSA. PMID: 28915468
- Spectroscopic and molecular docking studies on the interaction of human serum albumin with copper(II) complexes. PMID: 27792986
- aberrant HSA may play a role in the initiation/progression of type 1 diabetes mellitus. PMID: 29051099
- Results show that albumin from chronic hemodialyzed (CH) patients is highly modified in vivo and is not vulnerable to oxidation in the same way as normal albumin. PMID: 29554100
- These results indicate that low serum albumin levels correlate with increased parameter measures of hepatocellular carcinoma (HCC) aggressiveness, in addition to their role as a monitor of systemic inflammation. Decreased serum albumin might have a role in HCC aggressiveness. PMID: 28862714
- The hypothesis put forward that human serum albumin is a modulator and transporter of cannabinoid drugs. PMID: 28976704
- CRP/albumin ratio is a novel but promising, easy-to-measure, repeatable, non-invasive inflammation-based prognostic score in acute pancreatitis. PMID: 28823374
- homodimerization is a novel described structural alteration of the HA molecule in decompensated cirrhosis and contributes to the progressive reduction of the monomeric native HA, the only isoform provided of structural and functional integrity PMID: 27782157
- Low serum albumin concentration worsens prognosis of patients with stable coronary heart disease. PMID: 28413113
- Human serum albumin binds to Cu(I) at pH 7.4 with an apparent conditional affinity of KCu(I):serum albumin = 10(14.0) using digonal coordination in a structure that is similar to the bis-His coordination modes characterized for amyloid beta (Abeta) and the prion protein. PMID: 29166002
- C-reactive protein/albumin ratio (CAR), an inflammation-based prognostic score, is a potential independent predictor for disease progression and death in patients with operable non-small cell lung cancer. PMID: 27823974
- these peptides are identified as fragments of albumin. The isolated fragments activate MRGPRX2 and degranulate MRGPRX2 expressing LAD 2 cells in dose-dependent manner. The isolated basic peptides generated from human albumin are able to degranulate mast cells via the MRGPRX2. PMID: 28844982
- use of EPI-X4, a fragment of serum albumin, as a urinary biomarker for late acute GvHD was shown to be not meaningful in case control studies PMID: 27042833
- serum ALB level may be more useful than the degree of fibrosis for the prediction of hepatocellular carcinoma after sustained virological responses in chronic hepatitis C. PMID: 29040987
- Increased Ischemia-modified albumin levels and Carotid intima-media thickness may be related to increased oxidative stress and risk of atherosclerosis in individuals with Obstructive sleep apnea. PMID: 27029471
- Peak unbound bilirubin was primarily associated with a decrease in bilirubin albumin binding affinity in infants =30 weeks gestational age with hyperbilirubinemia. PMID: 29132818
- This meta-analysis showing increased ischaemia-modified albumin (IMA) level in both hypothyroidism and hyperthyroidism patients and its association with thyroid profile suggests that serum IMA could be used as a simple measure of increased oxidative stress in thyroid dysfunction. PMID: 27920278
- The optimal cut-off value was identified to be 45.6 g/L, 26.9 g/L and 1.30 for serum albumin (ALB), serum globulin (GLB) and albumin/globulin ratio (AGR) in terms of survival, respectively. PMID: 27105522
- Physiological serum copper concentrations found in malignancies cause unfolding induced aggregation of human serum albumin in vitro. PMID: 29122590
- the structural homology between HSA and ESA is big, their crystal complexes with Myr-2S-cPA demonstrate significantly different mode of binding of this LPL analogue. HSA binds three molecules of Myr-2S-cPA, whereas ESA only one. Moreover, none of the identified Myr-2S-cPA binding sites overlap in both albumins PMID: 27129297
- ghrelin binds to serum albumin and that this interaction impacts on the biological activity of the hormone. PMID: 27431015
- Higher levels of serum albumin are associated with a lower mortality rate in patients undergoing maintenance hemodialysis. PMID: 27542730
- results indicate that in addition to its role as a monitor of systemic inflammation, albumin may have a direct role in hepatocellular carcinoma growth inhibition, either through modulation of alpha-fetoprotein or through its actions on growth-controlling kinases PMID: 28486226
- These results provide an unprecedented view of how albumin interacts with Abeta and illustrate the potential of dark-state exchange saturation transfer NMR in mapping the interactions between amyloid-inhibitory proteins and amyloidogenic peptides. PMID: 28798235
- C-reactive protein-to-albumin ratio is a promising predictor of survival and recurrence in patients with rectal cancer treated by chemoradiotherapy followed by surgery. PMID: 28982904
- Lower serum albumin is associated with venous thromboembolic events in nephrotic syndrome. PMID: 28391310
- Data suggest that increased level of anti-Amadori-albumin autoantibodies may be used as a biomarker in disease diagnosis and its progression. PMID: 28192530
- Data indicate that repeated measurement after five hours showed a statistical significant difference for the fractional synthesis rate of fibrinogen but not for albumin. PMID: 28350862
- Data suggest that, unlike albumin with low FcRn-binding affinity, albumin with high FcRn-binding affinity (due to genetic variation/genetic engineering) is directed less to lysosomes and more to endosomes, suggestive of FcRn-directed albumin salvage from lysosomal degradation. (FcRn = neonatal Fc receptor) PMID: 28637874
- The mean albumin level for patients who developed heparin-induced thrombocytopenia-thrombosis (HITT) was significantly lower than that for patients who developed heparin-induced thrombocytopenia (HIT). PMID: 28289828
- Data suggest that posttranslational modifications of human serum albumin (HSA) typical of hyperhomocysteinemia (N and Shomocysteinylation) reduce binding affinity of catechins to HAS; the catechins used here were dietary flavonoids, epicatechin (EC), epigallocatechin (EGC), epicatechin gallate (ECG), and epigallocatechin gallate (EGCG). PMID: 26658763
- The studies suggest that impaired endocytosis of megalin/cubilin ligands, hemoglobin and albumin, rather than heme toxicity, may be the cause of tubular proteinuria in sickle cell disease patients. PMID: 28356267
- Decreased serum albumin on admission is significantly associated with long-term all-cause mortality in hospital survivors of acute myocardial infarction. PMID: 27257851
- Intensity of systemic inflammation was assessed at all time points with C-reactive protein and albumin as prognostic covariates for overall survival in an extended Cox regression model.time-dependent effects are a prominent feature of intensity of systemic inflammation, a powerful prognostic biomarker for metastatic renal cell carcinoma. PMID: 28618965
- The presence of serum albumin in human eye tissues suggests its involvement in the metabolism, maintenance of tissue volume, and antioxidant reactions. PMID: 28361409
- study to dertermine ischemia modified albumin (IMA) level in inflammatory bowel diseases (IBD) and IBD subgroups, and to examine its relation with disease activity index; IMA levels in IBD were higher in comparison with the control group; IMA in IBD might be related with the pathogenesis of disease and correlated with the severity of the disease PMID: 26642816
- Serum ischemia-modified albumin was higher in type 2 DM patients than in control subjects and was higher in diabetic patients with diabetic peripheral neuropathy than in those without neuropathy. PMID: 27965983
顯示更多
收起更多
-
相關疾病:Hyperthyroxinemia, familial dysalbuminemic (FDAH); Analbuminemia (ANALBA)
-
亞細胞定位:Secreted.
-
蛋白家族:ALB/AFP/VDB family
-
組織特異性:Plasma.
-
數據庫鏈接:
Most popular with customers
-
-
YWHAB Recombinant Monoclonal Antibody
Applications: ELISA, WB, IHC, IF, FC
Species Reactivity: Human, Mouse, Rat
-
-
-
-
-
-















