AKR1A1 Antibody
-
中文名稱:AKR1A1兔多克隆抗體
-
貨號:CSB-PA912094
-
規格:¥1100
-
圖片:
-
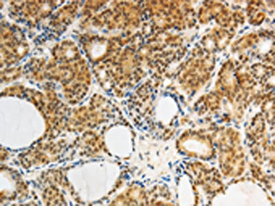
The image on the left is immunohistochemistry of paraffin-embedded Human thyroid cancer tissue using CSB-PA912094(AKR1A1 Antibody) at dilution 1/25, on the right is treated with synthetic peptide. (Original magnification: ×200)
-
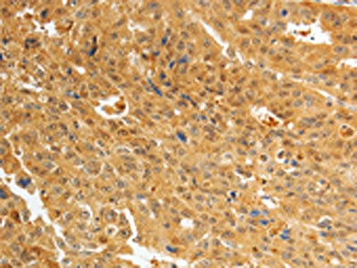
The image on the left is immunohistochemistry of paraffin-embedded Human ovarian cancer tissue using CSB-PA912094(AKR1A1 Antibody) at dilution 1/25, on the right is treated with synthetic peptide. (Original magnification: ×200)
-
Gel: 10%SDS-PAGE, Lysate: 27 μg, Lane 1-3: Human liver cancer tissue, hela cells, human fetal kidney tissue, Primary antibody: CSB-PA912094(AKR1A1 Antibody) at dilution 1/450, Secondary antibody: Goat anti rabbit IgG at 1/8000 dilution, Exposure time: 10 seconds
-
-
其他:
產品詳情
-
Uniprot No.:
-
基因名:AKR1A1
-
別名:AK1A1_HUMAN antibody; Akr1a1 antibody; Alcohol dehydrogenase [NADP+] antibody; Alcohol dehydrogenase antibody; Aldehyde reductase antibody; Aldo keto reductase family 1 member A1 (aldehyde reductase) antibody; Aldo-keto reductase family 1 member A1 antibody; ALDR1 antibody; ALR antibody; ARM antibody; DD3 antibody; MGC12529 antibody; MGC1380 antibody
-
宿主:Rabbit
-
反應種屬:Human,Mouse,Rat
-
免疫原:Synthetic peptide of Human AKR1A1
-
免疫原種屬:Homo sapiens (Human)
-
標記方式:Non-conjugated
-
抗體亞型:IgG
-
純化方式:Antigen affinity purification
-
濃度:It differs from different batches. Please contact us to confirm it.
-
保存緩沖液:-20°C, pH7.4 PBS, 0.05% NaN3, 40% Glycerol
-
產品提供形式:Liquid
-
應用范圍:ELISA,WB,IHC
-
推薦稀釋比:
Application Recommended Dilution ELISA 1:2000-1:5000 WB 1:500-1:2000 IHC 1:25-1:100 -
Protocols:
-
儲存條件:Upon receipt, store at -20°C or -80°C. Avoid repeated freeze.
-
貨期:Basically, we can dispatch the products out in 1-3 working days after receiving your orders. Delivery time maybe differs from different purchasing way or location, please kindly consult your local distributors for specific delivery time.
-
用途:For Research Use Only. Not for use in diagnostic or therapeutic procedures.
相關產品
靶點詳情
-
功能:Catalyzes the NADPH-dependent reduction of a wide variety of carbonyl-containing compounds to their corresponding alcohols. Displays enzymatic activity towards endogenous metabolites such as aromatic and aliphatic aldehydes, ketones, monosaccharides and bile acids, with a preference for negatively charged substrates, such as glucuronate and succinic semialdehyde. Functions as a detoxifiying enzyme by reducing a range of toxic aldehydes. Reduces methylglyoxal and 3-deoxyglucosone, which are present at elevated levels under hyperglycemic conditions and are cytotoxic. Involved also in the detoxification of lipid-derived aldehydes like acrolein. Plays a role in the activation of procarcinogens, such as polycyclic aromatic hydrocarbon trans-dihydrodiols, and in the metabolism of various xenobiotics and drugs, including the anthracyclines doxorubicin (DOX) and daunorubicin (DAUN). Displays no reductase activity towards retinoids.
-
基因功能參考文獻:
- Data (including data from studies in knockout and transgenic mice) suggest that AKR1A1 in liver is involved in bioactivation of xenobiotic/carcinogen thioacetamide (TAA); Akr1a-/- knockout mice are resistant to TAA-induced liver injury/hepatotoxicity. PMID: 29763686
- prostaglandin F synthase activity of human and bovine aldo-keto reductases PMID: 23747692
- AKR1A1 could be involved in the metabolism of 4-hydroxynonenal and play a role in the resistance to oxidative stress PMID: 23643085
- AKR1A1 has little effect on the production of gamma-hydroxybutyrate PMID: 21276435
- structure of Apo R268A human aldose reductase reveals hinges and latches that control the kinetic mechanism PMID: 15769597
- the binding site residues deviating between ALR1 and ALR2 influence ligand affinity in a complex interplay, presumably involving changes of dynamic properties and differences of the solvation/desolvation balance upon ligand binding PMID: 18495158
顯示更多
收起更多
-
亞細胞定位:Cytoplasm, cytosol. Apical cell membrane.
-
蛋白家族:Aldo/keto reductase family
-
組織特異性:Widely expressed. Highly expressed in kidney, salivary gland and liver. Detected in trachea, stomach, brain, lung, prostate, placenta, mammary gland, small intestine and lung.
-
數據庫鏈接:
Most popular with customers
-
-
YWHAB Recombinant Monoclonal Antibody
Applications: ELISA, WB, IHC, IF, FC
Species Reactivity: Human, Mouse, Rat
-
Phospho-YAP1 (S127) Recombinant Monoclonal Antibody
Applications: ELISA, WB, IHC
Species Reactivity: Human
-
-
-
-
-















