AKAP8 Antibody
-
中文名稱:AKAP8兔多克隆抗體
-
貨號:CSB-PA145524
-
規格:¥1100
-
圖片:
-
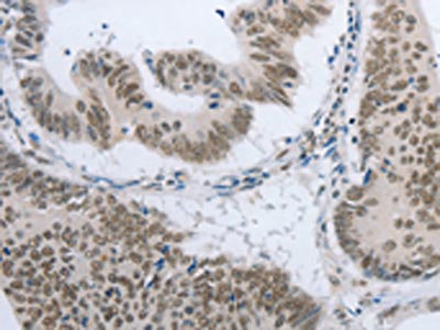
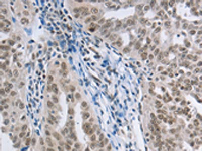
The image on the left is immunohistochemistry of paraffin-embedded Human colon cancer tissue using CSB-PA145524(AKAP8 Antibody) at dilution 1/15, on the right is treated with synthetic peptide. (Original magnification: ×200)
-
The image on the left is immunohistochemistry of paraffin-embedded Human ovarian cancer tissue using CSB-PA145524(AKAP8 Antibody) at dilution 1/15, on the right is treated with synthetic peptide. (Original magnification: ×200)
-
Gel: 10%SDS-PAGE, Lysate: 40 μg, Lane 1-2: Hela cells, 293T cells, Primary antibody: CSB-PA145524(AKAP8 Antibody) at dilution 1/250, Secondary antibody: Goat anti rabbit IgG at 1/8000 dilution, Exposure time: 2 minutes
-
-
其他:
產品詳情
-
Uniprot No.:
-
基因名:
-
別名:A kinase (PRKA) anchor protein 8 antibody; A kinase anchor protein 8 antibody; A kinase anchor protein 95 antibody; A kinase anchor protein 95 kDa antibody; A kinase anchor protein 95kDa antibody; A-kinase anchor protein 8 antibody; A-kinase anchor protein 95 kDa antibody; AKAP 8 antibody; AKAP 95 antibody; AKAP-8 antibody; AKAP-95 antibody; Akap8 antibody; AKAP8_HUMAN antibody; AKAP95 antibody; DKFZp586B1222 antibody
-
宿主:Rabbit
-
反應種屬:Human
-
免疫原:Synthetic peptide of Human AKAP8
-
免疫原種屬:Homo sapiens (Human)
-
標記方式:Non-conjugated
-
抗體亞型:IgG
-
純化方式:Antigen affinity purification
-
濃度:It differs from different batches. Please contact us to confirm it.
-
保存緩沖液:-20°C, pH7.4 PBS, 0.05% NaN3, 40% Glycerol
-
產品提供形式:Liquid
-
應用范圍:ELISA,WB,IHC
-
推薦稀釋比:
Application Recommended Dilution ELISA 1:2000-1:5000 WB 1:500-1:2000 IHC 1:25-1:100 -
Protocols:
-
儲存條件:Upon receipt, store at -20°C or -80°C. Avoid repeated freeze.
-
貨期:Basically, we can dispatch the products out in 1-3 working days after receiving your orders. Delivery time maybe differs from different purchasing way or location, please kindly consult your local distributors for specific delivery time.
-
用途:For Research Use Only. Not for use in diagnostic or therapeutic procedures.
相關產品
靶點詳情
-
功能:Anchoring protein that mediates the subcellular compartmentation of cAMP-dependent protein kinase (PKA type II). Acts as an anchor for a PKA-signaling complex onto mitotic chromosomes, which is required for maintenance of chromosomes in a condensed form throughout mitosis. Recruits condensin complex subunit NCAPD2 to chromosomes required for chromatin condensation; the function appears to be independent from PKA-anchoring. May help to deliver cyclin D/E to CDK4 to facilitate cell cycle progression. Required for cell cycle G2/M transition and histone deacetylation during mitosis. In mitotic cells recruits HDAC3 to the vicinity of chromatin leading to deacetylation and subsequent phosphorylation at 'Ser-10' of histone H3; in this function may act redundantly with AKAP8L. Involved in nuclear retention of RPS6KA1 upon ERK activation thus inducing cell proliferation. May be involved in regulation of DNA replication by acting as scaffold for MCM2. Enhances HMT activity of the KMT2 family MLL4/WBP7 complex and is involved in transcriptional regulation. In a teratocarcinoma cell line is involved in retinoic acid-mediated induction of developmental genes implicating H3 'Lys-4' methylation. May be involved in recruitment of active CASP3 to the nucleus in apoptotic cells. May act as a carrier protein of GJA1 for its transport to the nucleus. May play a repressive role in the regulation of rDNA transcription. Preferentially binds GC-rich DNA in vitro. In cells, associates with ribosomal RNA (rRNA) chromatin, preferentially with rRNA promoter and transcribed regions. Involved in modulation of Toll-like receptor signaling. Required for the cAMP-dependent suppression of TNF-alpha in early stages of LPS-induced macrophage activation; the function probably implicates targeting of PKA to NFKB1.
-
基因功能參考文獻:
- These results establish AKAP95 as a mostly positive regulator of pre-mRNA splicing and a possible integrator of transcription and splicing regulation. PMID: 27824034
- Results suggest that ALK generated by alternative transcription Initiation induces chromatin structural changes and heterochromatinization through phosphorylation of AKAP8 in the nucleus. PMID: 29093346
- Using a BioID proximity-based proteomic screen, we identify the nuclear pore complex protein TPR as a novel AKAP95 binding partner. We show interaction between AKAP95 and TPR in mitosis, and an AKAP95-dependent enrichment of TPR in the spindle microtubule area in metaphase, then later in the spindle midzone area. PMID: 28379780
- Report expression of connexin 43 in ovarian cancer cells in G1/S phase. PMID: 26823747
- The data indicate that AKAP95 is a novel nucleolus-associated protein with a regulatory role on rRNA production. PMID: 26683827
- Gene dosage at 19p13.12, and AKAP8 and/or AKAP8L in particular, play an important role in modulation of head size and may contribute to autism risk. PMID: 26076356
- These results suggest that AKAP8 is involved in the regulation of chromatin structural changes through nuclear tyrosine phosphorylation. PMID: 25770215
- Ectopic AKAP95 stimulates expression of a chromosomal reporter gene in synergy with MLL1 or MLL2, whereas AKAP95 depletion impairs retinoic acid-mediated gene induction in embryonic stem cells PMID: 23995757
- AMY-1 interacts with S-AKAP84 and this protein in the cytoplasm and the nucleus, respectively, and inhibits cAMP-dependent protein kinase activity by preventing binding of its catalytic subunit to A-kinase-anchoring protein (AKAP) complex. PMID: 12414807
- role of AKAP95 in DNA replication by providing a scaffold for MCM2 PMID: 12740381
- AKAP95 is a potential carrier protein for active caspase 3 from the cytoplasm into the nuclei in apoptotic cells. PMID: 16227597
顯示更多
收起更多
-
亞細胞定位:Nucleus. Nucleus matrix. Nucleus, nucleolus. Cytoplasm.
-
蛋白家族:AKAP95 family
-
組織特異性:Highly expressed in heart, liver, skeletal muscle, kidney and pancreas. Expressed in mature dendritic cells.
-
數據庫鏈接:
Most popular with customers
-
-
YWHAB Recombinant Monoclonal Antibody
Applications: ELISA, WB, IHC, IF, FC
Species Reactivity: Human, Mouse, Rat
-
Phospho-YAP1 (S127) Recombinant Monoclonal Antibody
Applications: ELISA, WB, IHC
Species Reactivity: Human
-
-
-
-
-















