AK5 Antibody
-
中文名稱:AK5兔多克隆抗體
-
貨號:CSB-PA219365
-
規格:¥1100
-
圖片:
-
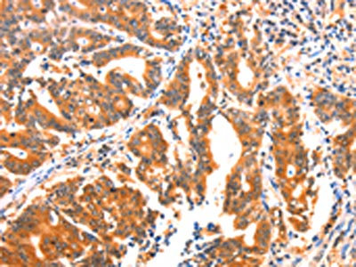
The image on the left is immunohistochemistry of paraffin-embedded Human gastic cancer tissue using CSB-PA219365(AK5 Antibody) at dilution 1/60, on the right is treated with synthetic peptide. (Original magnification: ×200)
-
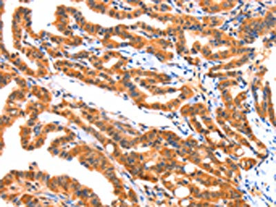
The image on the left is immunohistochemistry of paraffin-embedded Human thyroid cancer tissue using CSB-PA219365(AK5 Antibody) at dilution 1/60, on the right is treated with synthetic peptide. (Original magnification: ×200)
-
-
其他:
產品詳情
-
Uniprot No.:
-
基因名:AK5
-
別名:Adenylate kinase 5 antibody; Adenylate kinase 6 antibody; Adenylate kinase isoenzyme 5 antibody; AK 5 antibody; AK5 antibody; AK6 antibody; ATP AMP transphosphorylase 5 antibody; ATP-AMP transphosphorylase 5 antibody; KAD5 antibody; KAD5_HUMAN antibody; MGC33326 antibody
-
宿主:Rabbit
-
反應種屬:Human,Mouse
-
免疫原:Synthetic peptide of Human AK5
-
免疫原種屬:Homo sapiens (Human)
-
標記方式:Non-conjugated
-
抗體亞型:IgG
-
純化方式:Antigen affinity purification
-
濃度:It differs from different batches. Please contact us to confirm it.
-
保存緩沖液:-20°C, pH7.4 PBS, 0.05% NaN3, 40% Glycerol
-
產品提供形式:Liquid
-
應用范圍:ELISA,IHC
-
推薦稀釋比:
Application Recommended Dilution ELISA 1:1000-1:5000 IHC 1:50-1:200 -
Protocols:
-
儲存條件:Upon receipt, store at -20°C or -80°C. Avoid repeated freeze.
-
貨期:Basically, we can dispatch the products out in 1-3 working days after receiving your orders. Delivery time maybe differs from different purchasing way or location, please kindly consult your local distributors for specific delivery time.
-
用途:For Research Use Only. Not for use in diagnostic or therapeutic procedures.
相關產品
靶點詳情
-
功能:Nucleoside monophosphate (NMP) kinase that catalyzes the reversible transfer of the terminal phosphate group between nucleoside triphosphates and monophosphates. Active on AMP and dAMP with ATP as a donor. When GTP is used as phosphate donor, the enzyme phosphorylates AMP, CMP, and to a small extent dCMP. Also displays broad nucleoside diphosphate kinase activity.
-
基因功能參考文獻:
- Results indicate that AK5 expression significantly decreased in temporal lobe epilepsy: the expression of AK5 in epileptic brain tissue may play important roles in epilepsy, especially refractory epilepsy PMID: 27288770
- Data demonstrate that human adenylate kinase 5 has two separate functional domains and that both have enzymatic activity. PMID: 19647735
-
亞細胞定位:Cytoplasm.
-
蛋白家族:Adenylate kinase family
-
組織特異性:Brain specific.
-
數據庫鏈接:
Most popular with customers
-
-
Phospho-YAP1 (S127) Recombinant Monoclonal Antibody
Applications: ELISA, WB, IHC
Species Reactivity: Human
-
-
-
-
-
-















