AK1 Antibody
-
中文名稱:AK1兔多克隆抗體
-
貨號:CSB-PA001508DSR1HU
-
規格:¥440
-
圖片:
-
Western blot
All lanes: AK1 antibody at 0.51 μg/ml
Lane 1: Mouse skeletal muscle tissue
Lane 2: Mouse heart tissue
Secondary
Goat polyclonal to rabbit IgG at 1/10000 dilution
Predicted band size: 22 kDa
Observed band size: 22 kDa -
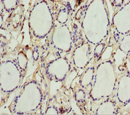
Immunohistochemistry of paraffin-embedded human skeletal muscle tissue using CSB-PA001508DSR1HU at dilution of 1:100
-
Immunohistochemistry of paraffin-embedded human thyroid tissue using CSB-PA001508DSR1HU at dilution of 1:100
-
-
其他:
產品詳情
-
產品名稱:Rabbit anti-Homo sapiens (Human) AK1 Polyclonal antibody
-
Uniprot No.:
-
基因名:AK1
-
別名:Adenylate kinase 1 antibody; Adenylate kinase isoenzyme 1 antibody; Adenylate kinase soluble antibody; AK 1 antibody; Ak1 antibody; ATP AMP transphosphorylase antibody; ATP-AMP transphosphorylase 1 antibody; KAD1 antibody; KAD1_HUMAN antibody; Myokinase antibody
-
宿主:Rabbit
-
反應種屬:Human, Mouse
-
免疫原:Recombinant Human Adenylate kinase isoenzyme 1 protein (1-194AA)
-
免疫原種屬:Homo sapiens (Human)
-
標記方式:Non-conjugated
-
克隆類型:Polyclonal
-
抗體亞型:IgG
-
純化方式:Antigen Affinity Purified
-
濃度:It differs from different batches. Please contact us to confirm it.
-
保存緩沖液:PBS with 0.02% sodium azide, 50% glycerol, pH7.3.
-
產品提供形式:Liquid
-
應用范圍:ELISA, WB, IHC
-
推薦稀釋比:
Application Recommended Dilution WB 1:1000-1:5000 IHC 1:20-1:200 -
Protocols:
-
儲存條件:Upon receipt, store at -20°C or -80°C. Avoid repeated freeze.
-
貨期:Basically, we can dispatch the products out in 1-3 working days after receiving your orders. Delivery time maybe differs from different purchasing way or location, please kindly consult your local distributors for specific delivery time.
-
用途:For Research Use Only. Not for use in diagnostic or therapeutic procedures.
相關產品
靶點詳情
-
功能:Catalyzes the reversible transfer of the terminal phosphate group between ATP and AMP. Also displays broad nucleoside diphosphate kinase activity. Plays an important role in cellular energy homeostasis and in adenine nucleotide metabolism.
-
基因功能參考文獻:
- Studies indicate that the preferred substrate and phosphate donor of all adenylate kinases are AMP and ATP respectively. PMID: 24495878
- Dysregulation of AMPK is both a pathogenic factor for these disorders in humans and a target for their prevention and therapy. [Review] PMID: 23863634
- Ak(1)2-1 phenotype is more frequent in males conceived in the summer-autumn period than in those conceived in winter-spring, and this association depends on maternal Ak(1) phenotype. PMID: 23146316
- identified hitherto unrecognized soluble forms of AK1 and NTPDase1/CD39 that contribute in the active cycling between the principal platelet-recruiting agent ADP and other circulating nucleotides PMID: 22637533
- Data indicate that the neuronal adenylate kinase-1 (AK1) is induced by Abeta(42) to increase abnormal tau phosphorylation via AMPK-GSK3beta and contributes to tau-mediated neurodegeneration. PMID: 22419736
- AK1 phenotypic activity is associated with birth weight and placental weight; these associations are greater in infants born at gestational age greater than 38 weeks. PMID: 21831515
- Our findings suggest a reduced reproductive efficiency of women carrying the Ak(1)2-1 phenotype: this could have practical importance in predicting the probability of reproductive success in couples with RSA PMID: 22287021
- The adipokine zinc-alpha2-glycoprotein activates AMP kinase in human primary skeletal muscle cells. PMID: 21457004
- how mutations found in 2 patients may affect enzyme structure and function; a compound heterozygote for 2 different missense mutations 118G>A(Gly40Arg) and 190G>A(Gly64Arg); a homozygote for either aspartic acid (Asp) 140 or 141 PMID: 12649162
- analysis of vascular endothelial ectoadenylate kinase and plasma membrane ATP synthase PMID: 16714292
- The alpha-borano or alpha-H on PMEA and PMPA were detrimental to the activity of recombinant human AMP kinases 1 PMID: 18404568
- The data suggest that zygotes carrying AK1*2 allele are relatively protected from the damaging effects of smoking PMID: 18850517
顯示更多
收起更多
-
相關疾病:Hemolytic anemia due to adenylate kinase deficiency (HAAKD)
-
亞細胞定位:Cytoplasm.
-
蛋白家族:Adenylate kinase family, AK1 subfamily
-
數據庫鏈接:
Most popular with customers
-
-
YWHAB Recombinant Monoclonal Antibody
Applications: ELISA, WB, IHC, IF, FC
Species Reactivity: Human, Mouse, Rat
-
Phospho-YAP1 (S127) Recombinant Monoclonal Antibody
Applications: ELISA, WB, IHC
Species Reactivity: Human
-
-
-
-
-















