AIM2 Antibody
-
中文名稱:AIM2兔多克隆抗體
-
貨號:CSB-PA858560
-
規格:¥1100
-
圖片:
-
The image on the left is immunohistochemistry of paraffin-embedded Human thyroid cancer tissue using CSB-PA858560(AIM2 Antibody) at dilution 1/60, on the right is treated with fusion protein. (Original magnification: ×200)
-
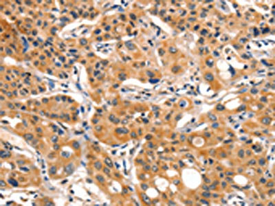
The image on the left is immunohistochemistry of paraffin-embedded Human lung cancer tissue using CSB-PA858560(AIM2 Antibody) at dilution 1/60, on the right is treated with fusion protein. (Original magnification: ×200)
-
-
其他:
產品詳情
-
Uniprot No.:
-
基因名:
-
別名:Absent in melanoma 2 antibody; AIM 2 antibody; Aim2 antibody; AIM2_HUMAN antibody; Interferon-inducible protein AIM2 antibody; OTTHUMP00000035296 antibody; PYHIN4 antibody
-
宿主:Rabbit
-
反應種屬:Human
-
免疫原:Fusion protein of Human AIM2
-
免疫原種屬:Homo sapiens (Human)
-
標記方式:Non-conjugated
-
抗體亞型:IgG
-
純化方式:Antigen affinity purification
-
濃度:It differs from different batches. Please contact us to confirm it.
-
保存緩沖液:-20°C, pH7.4 PBS, 0.05% NaN3, 40% Glycerol
-
產品提供形式:Liquid
-
應用范圍:ELISA,IHC
-
推薦稀釋比:
Application Recommended Dilution ELISA 1:1000-1:5000 IHC 1:50-1:200 -
Protocols:
-
儲存條件:Upon receipt, store at -20°C or -80°C. Avoid repeated freeze.
-
貨期:Basically, we can dispatch the products out in 1-3 working days after receiving your orders. Delivery time maybe differs from different purchasing way or location, please kindly consult your local distributors for specific delivery time.
-
用途:For Research Use Only. Not for use in diagnostic or therapeutic procedures.
相關產品
靶點詳情
-
功能:Involved in innate immune response by recognizing cytosolic double-stranded DNA and inducing caspase-1-activating inflammasome formation in macrophages. Upon binding to DNA is thought to undergo oligomerization and to associate with PYCARD initiating the recruitment of caspase-1 precusrsor and processing of interleukin-1 beta and interleukin-18. Detects cytosolic dsDNA of viral and bacterial origin in a non-sequence-specific manner. Can also trigger PYCARD-dependent, caspase-1-independent cell death that involves caspase-8. Tumor suppressor which may act by repressing NF-kappa-B transcriptional activity.
-
基因功能參考文獻:
- In humans with acute and chronic Hepatitis B exists activation of the AIM2 and IFI16 (in acute Hepatitis B), and the activation of the AIM2 and IFI16 can be inhibited by hepatitis B e antigen in chronic Hepatitis B. PMID: 30222506
- expression and activation of AIM2, and the increase in circulating mtDNA levels may contribute to the inflammatory process in patients with T2D. PMID: 29947343
- Caspase-1-dependent IL-1beta processing and secretion require the AIM2 inflammasome pathway in human dental pulp cells and the AIM2 inflammasome pathway is critical for regulation of the dental pulp immune response. PMID: 29178062
- rs855867 in AIM2 is not significantly associated with childhood autism spectrum disorder or the severity of the disease in a Chinese Han population. PMID: 29216786
- This study found IFI16 and AIM2 SNPs associated with higher levels of periodontal microorganisms and an increased percentage of periodontal disease clinical parameters. PMID: 28387608
- C-reactive protein polymorphisms and DNA methylation of the AIM2 gene influence associations between trauma exposure, posttraumatic stress disorder, and C-reactive protein. PMID: 28867284
- HBx-induced loss of AIM2 is associated with poor outcomes and facilitates hepatocellular carcinoma metastasis by triggering the epithelial-mesenchymal transition process. PMID: 28580773
- Clinicopathological analysis of colorectal cancer tissue revealed that low AIM2 expression was significantly associated with some clinicopathological features such as depth of invasion, TNM clinical stage and lymph node metastasis PMID: 28802238
- Human cytomegalovirus infection induces an AIM2 inflammasome response, which negatively influences viral life cycle. PMID: 28480966
- These results provide evidence for the role of AIM2 in the progression of cSCC and identify AIM2 inflammasome function as a potential therapeutic target in these invasive and metastatic tumors. PMID: 28526809
- RSAD2 and AIM2 Modulate Coxsackievirus A16 and Enterovirus A71 Replication in Neuronal Cells in Different Ways That May Be Associated with Their 5' Nontranslated Regions. PMID: 29263272
- AIM2 inflammasome expression and activation is increased early during the course of acute pancreatitis, and suggests that AIM2 activation may affect systemic inflammation and organ failure in these patients PMID: 28342645
- Overexpression of AIM2 in hepatocellular carcinoma (HCC) cells suppressed mammalian target of rapamycin (mTOR)-S6K1 pathway and further inhibited proliferation of HCC cells. PMID: 27167192
- AIM2 is an important component of the inflammasome in tegumentary leishmaniasis (TL) patients and is directly associated with the severity of lesions. PMID: 28397969
- AIM2 contributes to the maintenance of intestinal integrity via Akt and protects against Salmonella mucosal infection. PMID: 26838050
- study identifies the AIM2 inflammasome and cGAS/IFI16-STING-type I IFN pathway as a novel mechanism for host innate immunity to the ALVAC vaccine vector. PMID: 28947539
- Study conclude that functional AIM2 is preferentially expressed in adult human CD27+ B-cells, but is absent in cord blood mononuclear cells. PMID: 28809949
- results suggest that the function of AIM2 is focused on the innate immune response, and AIM2 is a detrimental host factor for influenza-induced lung injury and mortality. PMID: 28424239
- knockdown of AIM2 by small interfering RNA attenuated caspase-1 activation. the results suggest that EBV infection of human monocytes induces caspase-1-dependent IL-1beta production, and that AIM2, acting as an inflammasome, is involved in this response. PMID: 28369146
- These data indicate that human cytomegalovirus pUL83 interacts with human AIM2 in the cytoplasm during the early stages of virus infection. The pUL83/AIM2 interaction deregulates the activation of AIM2 inflammasome. PMID: 28219398
- The findings reveal an age-dependent reduction of AIM2 expression and activation which may explain reduced cytokine responses to the cytosolic DNA mimic poly(dA:dT) in healthy elderly individuals. Reduced AIM2-mediated sensing with age may contribute to increased vulnerability to bacterial or viral infections in the elderly. PMID: 26944367
- The extent of NLRC3 and AIM2 gene reduction was correlated with cancer progression. PMID: 26378020
- Molecular docking analysis reveals that the conformation switching may be important for the autoinhibition of the AIM2 protein. PMID: 27037024
- A significant upregulation of the PYHIN inflammasomes AIM2 and IFI16 in active inflammatory bowel disease versus controls was found. PMID: 26313692
- Lung tumor-associated plasmacytoid dendritic cells (pDCs) are responsive to the activation of AIM2 that promotes calcium efflux and reactive oxygen species from mitochondria, leading to calpain activation and high levels of IL-1alpha. PMID: 26506473
- analysis of a subset of inflammasome receptors including NLRP3, NLRC4 and AIM2 that triggers formation of the micrometer-sized spherical supramolecular complex called the ASC speck PMID: 26258904
- pyrin domain drives both filament formation and dsDNA binding PMID: 26197926
- activation of the AIM2 inflammasome did not require a priming signal in ascitic fluid-derived macrophages, demonstrating the preactivated state of the inflammasome in these cells. PMID: 25173967
- These results suggest that AIM2 expressed in human dental pulp plays an important role in the immune defense by activating the inflammasome signaling pathway. PMID: 24986444
- The comparison shows mouse AIM2 PYD domain adopts a unique alpha2-alpha3 helix conformation distinct from its human homologues, but similar to the pyrin domain of human NLRP10/PYNOD, which belongs to another family. PMID: 25888795
- Increased expression and activation of absent in melanoma 2 inflammasome components in lymphocytic infiltrates of abdominal aortic aneurysms PMID: 24618883
- EB1 has a role in linking AIM2 inflammasomes with autophagy-dependent secretion PMID: 25164813
- caspase-1, IL-1beta, and IL-18 are regulated by AIM2, which mediates inflammation-associated renal damage in hepatitis B virus-associated glomerulonephritis PMID: 24701032
- Lack of Absent in Melanoma 2 expression is associated with colorectal cancer. PMID: 24729378
- Thus, autophagy may function as a negative counter-regulatory mechanism for HMGB1-DNA complex-induced inflammasome activation, and provide a checkpoint to limit the development of inflammation. PMID: 24971542
- These results, together with the reported data on p202 HINb, lead to an interaction model for full-length p202 and dsDNA which provides a conceivable mechanism for the negative regulation of Aim2 inflammasome activation by p202. PMID: 24419611
- this study was to investigate the mRNA levels of AIM2 and ASC in a lymphocyte cell line (Jurkat) before and after MiR-143 introducing. PMID: 23811549
- Ethanol inhibits activation of NLRP3 and AIM2 inflammasomes in human macrophages--a novel anti-inflammatory action of alcohol. PMID: 24244322
- AIM2 mRNA levels were higher in benign prostate hyperplasia (BPH)than normal prostate; levels of AIM2 mRNA were lower in clinical tumor specimens; constitutive levels of AIM2 mRNA and protein were lower in a subset of prostate cancer cells compared with BPH cells; Implication that AIM2 inflammasome has a fundamental role in the generation of prostatic diseases PMID: 23864729
- Vascular endothelial/smooth muscle cells are able to respond to inflammatory signals by upregulation of AIM2 expression, indicating a role of AIM2 in vascular pathogenesis. PMID: 23790454
- Binding of Human papillomavirus 16 DNA leads to AIM2 inflammasome activation. PMID: 23764897
- AIM2 might act as an important DNA sensor and a potential biomarker for apopDNA-induced macrophage functional maturation and SLE disease PMID: 23479181
- Studies indicate that the HIN (hematopoietic expression, interferon-inducible nature, and nuclear localization) domains exhibit either absent in melanoma2 (Aim2) HIN-like or p202 HINa-like modes of DNA binding. PMID: 24164899
- Data suggest that AIM2 (absent in melanoma 2) expression is correlated with the immune clearance of hepatitis B virus (HBV) in the host. PMID: 23376086
- Novel structural features of the AIM2 pyrin domain and insights into the potential mechanisms of domain interactions important for AIM2 autoinhibition and inflammasome assembly. PMID: 23530044
- Our data highlight the dynamics of epidermal AIM2 expression, showing Langerhans cell and melanocyte-restricted expression in normal epidermis but a pronounced induction in subpopulations of epidermal keratinocytes under inflammatory conditions. PMID: 23171461
- End binding protein 1 directly interacted with AIM2 and ASC in vitro and in vivo. PMID: 22869553
- crystal structures of their HIN domains in complex with double-stranded (ds) DNA. PMID: 22483801
- expression of AIM2 and IFI16 may have oncogenic activities in the OSCC cells that have inactivated the p53 system. PMID: 22320325
- Human keratinocytes express a functional AIM2 inflammasome which triggers a strong IL-1beta release in response to cytosolic dsDNA. PMID: 22092578
顯示更多
收起更多
-
亞細胞定位:Nucleus. Cytoplasm. Note=Activated inflammasomes can aggregate in the cytosol as speck-like particles.
-
蛋白家族:HIN-200 family
-
組織特異性:Expressed in spleen, small intestine, peripheral blood leukocytes, and testis.
-
數據庫鏈接:
Most popular with customers
-
YWHAB Recombinant Monoclonal Antibody
Applications: ELISA, WB, IHC, IF, FC
Species Reactivity: Human, Mouse, Rat
-
Phospho-YAP1 (S127) Recombinant Monoclonal Antibody
Applications: ELISA, WB, IHC
Species Reactivity: Human
-
-
-
-
-
-















