AGPS Antibody
-
中文名稱:AGPS兔多克隆抗體
-
貨號:CSB-PA169274
-
規格:¥1100
-
圖片:
-
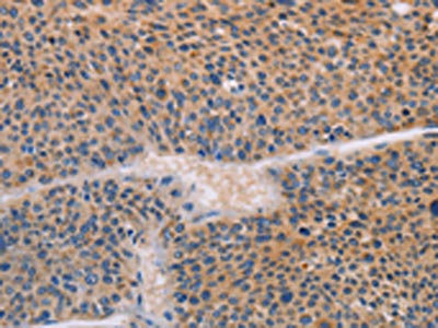
The image on the left is immunohistochemistry of paraffin-embedded Human gastic cancer tissue using CSB-PA169274(AGPS Antibody) at dilution 1/25, on the right is treated with fusion protein. (Original magnification: ×200)
-
The image on the left is immunohistochemistry of paraffin-embedded Human liver cancer tissue using CSB-PA169274(AGPS Antibody) at dilution 1/25, on the right is treated with fusion protein. (Original magnification: ×200)
-
-
其他:
產品詳情
-
Uniprot No.:
-
基因名:
-
別名:AAG5 antibody; ADAP-S antibody; ADAS antibody; ADAS_HUMAN antibody; ADHAPS antibody; ADPS antibody; Aging associated gene 5 protein antibody; Aging-associated gene 5 protein antibody; aging-associated protein 5 antibody; AGPS antibody; ALDHPSY antibody; Alkyl-DHAP synthase antibody; Alkyldihydroxyacetonephosphate synthase antibody; Alkyldihydroxyacetonephosphate synthase, peroxisomal antibody; Alkylglycerone phosphate synthase antibody; Alkylglycerone-phosphate synthase antibody; peroxisomal antibody; RCDP3 antibody
-
宿主:Rabbit
-
反應種屬:Human,Mouse,Rat
-
免疫原:Fusion protein of Human AGPS
-
免疫原種屬:Homo sapiens (Human)
-
標記方式:Non-conjugated
-
抗體亞型:IgG
-
純化方式:Antigen affinity purification
-
濃度:It differs from different batches. Please contact us to confirm it.
-
保存緩沖液:-20°C, pH7.4 PBS, 0.05% NaN3, 40% Glycerol
-
產品提供形式:Liquid
-
應用范圍:ELISA,IHC
-
推薦稀釋比:
Application Recommended Dilution ELISA 1:2000-1:5000 IHC 1:25-1:100 -
Protocols:
-
儲存條件:Upon receipt, store at -20°C or -80°C. Avoid repeated freeze.
-
貨期:Basically, we can dispatch the products out in 1-3 working days after receiving your orders. Delivery time maybe differs from different purchasing way or location, please kindly consult your local distributors for specific delivery time.
-
用途:For Research Use Only. Not for use in diagnostic or therapeutic procedures.
相關產品
靶點詳情
-
功能:Catalyzes the exchange of the acyl chain in acyl-dihydroxyacetonephosphate (acyl-DHAP) for a long chain fatty alcohol, yielding the first ether linked intermediate, i.e. alkyl-dihydroxyacetonephosphate (alkyl-DHAP), in the pathway of ether lipid biosynthesis.
-
基因功能參考文獻:
- we optimized the BITC construction targeting alkylglycerone phosphate synthase (AGPS) by computer-aided design, and the derivants also showed anti-tumor potential in vitro. PMID: 25542233
- AGPS overexpression could be a causation of chemotherapy agent resistance of cancer cells. AGPS silencing could lead to drug uptake and cell cycle arrest and apoptotic cell death. PMID: 24815474
- Results demonstrated that AGPS negatively regulated the invasion potential of glioma and hepatic carcinoma cells by modulating the expression of relevant genes and activity of the MAPK pathway. PMID: 24841318
- AGPS, in addition to maintaining ether lipids, also controls cellular utilization of fatty acids, favoring the generation of signaling lipids necessary for promoting the aggressive features of cancer. PMID: 23980144
- Novel mutations in AGPS (alkylglycerone-phosphate synthase) cause rhizomelic chondrodysplasia punctata (RCDP) type 3. PMID: 21990100
- Defect of ADAPS expression was also assessed by immunoblot PMID: 18571506
顯示更多
收起更多
-
相關疾?。?/div>Rhizomelic chondrodysplasia punctata 3 (RCDP3)亞細胞定位:Peroxisome membrane. Peroxisome.蛋白家族:FAD-binding oxidoreductase/transferase type 4 family數據庫鏈接:
Most popular with customers
-
YWHAB Recombinant Monoclonal Antibody
Applications: ELISA, WB, IHC, IF, FC
Species Reactivity: Human, Mouse, Rat
-
Phospho-YAP1 (S127) Recombinant Monoclonal Antibody
Applications: ELISA, WB, IHC
Species Reactivity: Human
-
-
-
-
-
-















