AGK Antibody
-
中文名稱:AGK兔多克隆抗體
-
貨號:CSB-PA706634LA01HU
-
規格:¥440
-
圖片:
-
Western Blot
Positive WB detected in: Mouse brain tissue, Mouse kidney tissue, Mouse stomach tissue
All lanes: AGK antibody at 3μg/ml
Secondary
Goat polyclonal to rabbit IgG at 1/50000 dilution
Predicted band size: 48, 8 kDa
Observed band size: 48 kDa -
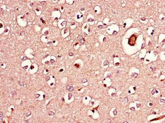
Immunohistochemistry of paraffin-embedded human brain tissue using CSB-PA706634LA01HU at dilution of 1:100
-
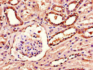
Immunohistochemistry of paraffin-embedded human kidney tissue using CSB-PA706634LA01HU at dilution of 1:100
-
-
其他:
產品詳情
-
產品名稱:Rabbit anti-Homo sapiens (Human) AGK Polyclonal antibody
-
Uniprot No.:
-
基因名:AGK
-
別名:2610037M15Rik antibody; 6720408I04Rik antibody; Acylglycerol Kinase antibody; Acylglycerol kinase mitochondrial antibody; Acylglycerol kinase; mitochondrial antibody; agk antibody; AGK_HUMAN antibody; AI465370 antibody; FLJ10842 antibody; hAGK antibody; HsMuLK antibody; MuLK antibody; Multi substrate lipid kinase antibody; Multi-substrate lipid kinase antibody; Multiple substrate lipid kinase antibody; RGD1562046 antibody
-
宿主:Rabbit
-
反應種屬:Human, Mouse
-
免疫原:Recombinant Human Acylglycerol kinase, mitochondrial protein (32-65AA)
-
免疫原種屬:Homo sapiens (Human)
-
標記方式:Non-conjugated
本頁面中的產品,AGK Antibody (CSB-PA706634LA01HU),的標記方式是Non-conjugated。對于AGK Antibody,我們還提供其他標記。見下表:
-
克隆類型:Polyclonal
-
抗體亞型:IgG
-
純化方式:>95%, Protein G purified
-
濃度:It differs from different batches. Please contact us to confirm it.
-
保存緩沖液:Preservative: 0.03% Proclin 300
Constituents: 50% Glycerol, 0.01M PBS, PH 7.4 -
產品提供形式:Liquid
-
應用范圍:ELISA, WB, IHC
-
推薦稀釋比:
Application Recommended Dilution WB 1:1000-1:5000 IHC 1:20-1:200 -
Protocols:
-
儲存條件:Upon receipt, store at -20°C or -80°C. Avoid repeated freeze.
-
貨期:Basically, we can dispatch the products out in 1-3 working days after receiving your orders. Delivery time maybe differs from different purchasing way or location, please kindly consult your local distributors for specific delivery time.
-
用途:For Research Use Only. Not for use in diagnostic or therapeutic procedures.
相關產品
靶點詳情
-
功能:Lipid kinase that can phosphorylate both monoacylglycerol and diacylglycerol to form lysophosphatidic acid (LPA) and phosphatidic acid (PA), respectively. Does not phosphorylate sphingosine. Phosphorylates ceramide. Phosphorylates 1,2-dioleoylglycerol more rapidly than 2,3-dioleoylglycerol. Independently of its lipid kinase activity, acts as a component of the TIM22 complex. The TIM22 complex mediates the import and insertion of multi-pass transmembrane proteins into the mitochondrial inner membrane by forming a twin-pore translocase that uses the membrane potential as the external driving force. In the TIM22 complex, required for the import of a subset of metabolite carriers into mitochondria, such as ANT1/SLC25A4 and SLC25A24, while it is not required for the import of TIMM23. Overexpression increases the formation and secretion of LPA, resulting in transactivation of EGFR and activation of the downstream MAPK signaling pathway, leading to increased cell growth.
-
基因功能參考文獻:
- The dual function of AGK as lipid kinase and constituent of the TIM22 complex reveals that disturbances in both phospholipid metabolism and mitochondrial protein biogenesis contribute to the pathogenesis of Sengers syndrome. PMID: 28712724
- Identify AGK as a bona fide subunit of TIM22 providing an exciting and unexpected link between mitochondrial protein import and Sengers syndrome. PMID: 28712726
- Acylglycerol kinase functions as an oncogene and an unfavorable prognostic marker for human gliomas. PMID: 27574811
- We showed that AGK was over-expressed in cervical cancer cell lines and clinical tissues, and over-expression of AGK was associated with poor survival outcomes of early-stage CSCC patients. AGK can be used as an independent prognostic marker for early-stage CSCC. PMID: 26662108
- Data suggest that acylglycerol kinase (AGK) has potential as a prognostic factor for overall survival in nasopharyngeal carcinoma (NPC). PMID: 26443540
- AGK promotes the proliferation and cell cycle progression of oral squamous cell carcinoma. PMID: 25872568
- miR-194 could reduce the phosphoinositide 3-kinase (PI3K)/AKT/FoxO3a signaling pathway by suppressing acylglycerol kinase (AGK) directly. PMID: 25960215
- findings provide new evidence that AGK plays an important role in promoting angiogenesis and providing resistance to apoptosis in hepatocellular carcinoma PMID: 25474138
- compare our findings to those in 21 previously reported AGK mutation-positive Sengers patients, confirming that Sengers syndrome is a clinically recognisable disorder of mitochondrial energy metabolism PMID: 25208612
- AGK promotes cell proliferation and tumorigenicity in breast cancer via suppression of the FOXO1. PMID: 24886245
- Our findings suggest that ATX-AGK-LPA signaling axis might be an important player in the development and progression of diabetic retinopathy. PMID: 22864860
- AGK expression was significantly correlated with JAK2/STAT3 hyperactivation in esophageal squamous cell carcinoma, as well as in lung and breast cancer. PMID: 23676499
- study reports 2 families with Sengers syndrome and mutations in the acylglycerol kinase gene; 1 proband had abnormal mitochondria with citrate synthase crystals, associated with high citrate synthase activity; these pedigrees confirm that mutation of AGK is responsible for the severe neonatal presentation of Sengers syndrome PMID: 23266196
- This is the first mutation in AGK gene to be implicated in the development of isolated cataract. PMID: 22415731
- The loss of AGK led to a decrease of the adenine nucleotide translocator in the inner mitochondrial membrane in muscle. PMID: 22284826
- Recessive mutations in AGK cause mitochondrial DNA depletion PMID: 22277967
- Lack of the AGK causes Sengers syndrome PMID: 22284826
- identification and characterization of a novel lipid kinase that phosphorylates multiple substrates, MuLK PMID: 15252046
- The chiral specificity of diacylglycerol kinase alpha, zeta & epsilon mimics the substrate specificity, with MuLK being the least selective and the epsilon isoform of diacylglycerol kinase exhibiting the greatest selectivity. PMID: 18004883
- High Expression of acylglycerol kinase is associated with development and progression of prostate cancer. PMID: 19549252
顯示更多
收起更多
-
相關疾病:Mitochondrial DNA depletion syndrome 10 (MTDPS10); Cataract 38 (CTRCT38)
-
亞細胞定位:Mitochondrion inner membrane; Peripheral membrane protein. Mitochondrion intermembrane space.
-
蛋白家族:AGK family
-
組織特異性:Highly expressed in muscle, heart, kidney and brain.
-
數據庫鏈接:
Most popular with customers
-
-
YWHAB Recombinant Monoclonal Antibody
Applications: ELISA, WB, IHC, IF, FC
Species Reactivity: Human, Mouse, Rat
-
Phospho-YAP1 (S127) Recombinant Monoclonal Antibody
Applications: ELISA, WB, IHC
Species Reactivity: Human
-
-
-
-
-















