AGBL3 Antibody
-
中文名稱:AGBL3兔多克隆抗體
-
貨號:CSB-PA017539
-
規格:¥1100
-
圖片:
-
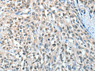
The image on the left is immunohistochemistry of paraffin-embedded Human esophagus cancer tissue using CSB-PA017539(AGBL3 Antibody) at dilution 1/25, on the right is treated with fusion protein. (Original magnification: ×200)
-
Gel: 8+12%SDS-PAGE, Lysate: 40 μg, Lane: Mouse pancreas tissue, Primary antibody: CSB-PA017539(AGBL3 Antibody) at dilution 1/250, Secondary antibody: Goat anti rabbit IgG at 1/8000 dilution, Exposure time: 20 seconds
-
-
其他:
產品詳情
-
Uniprot No.:
-
基因名:AGBL3
-
別名:CCP3 antibody; Agbl3 antibody; ATP/GTP-binding protein-like 3 antibody; CBPC3_HUMAN antibody; Cytosolic carboxypeptidase 3 antibody
-
宿主:Rabbit
-
反應種屬:Human,Mouse
-
免疫原:Fusion protein of Human AGBL3
-
免疫原種屬:Homo sapiens (Human)
-
標記方式:Non-conjugated
-
抗體亞型:IgG
-
純化方式:Antigen affinity purification
-
濃度:It differs from different batches. Please contact us to confirm it.
-
保存緩沖液:-20°C, pH7.4 PBS, 0.05% NaN3, 40% Glycerol
-
產品提供形式:Liquid
-
應用范圍:ELISA,WB,IHC
-
推薦稀釋比:
Application Recommended Dilution ELISA 1:1000-1:2000 WB 1:200-1:1000 IHC 1:25-1:100 -
Protocols:
-
儲存條件:Upon receipt, store at -20°C or -80°C. Avoid repeated freeze.
-
貨期:Basically, we can dispatch the products out in 1-3 working days after receiving your orders. Delivery time maybe differs from different purchasing way or location, please kindly consult your local distributors for specific delivery time.
-
用途:For Research Use Only. Not for use in diagnostic or therapeutic procedures.
相關產品
靶點詳情
-
功能:Metallocarboxypeptidase that mediates deglutamylation of tubulin and non-tubulin target proteins. Catalyzes the removal of polyglutamate side chains present on the gamma-carboxyl group of glutamate residues within the C-terminal tail of tubulin protein. Specifically cleaves tubulin long-side-chains, while it is not able to remove the branching point glutamate. Also catalyzes the removal of polyglutamate residues from the carboxy-terminus of non-tubulin proteins such as MYLK. May catalyze the hydrolysis of aspartate from the carboxy-terminus of target proteins. Does not show detyrosinase or deglycylase activities from the carboxy-terminus of target proteins.; Metallocarboxypeptidase that mediates tubulin deglutamylation.
-
基因功能參考文獻:
- Clinical trial of gene-disease association and gene-environment interaction. (HuGE Navigator) PMID: 20379614
-
亞細胞定位:Cytoplasm, cytosol.
-
蛋白家族:Peptidase M14 family
-
數據庫鏈接:
Most popular with customers
-
YWHAB Recombinant Monoclonal Antibody
Applications: ELISA, WB, IHC, IF, FC
Species Reactivity: Human, Mouse, Rat
-
Phospho-YAP1 (S127) Recombinant Monoclonal Antibody
Applications: ELISA, WB, IHC
Species Reactivity: Human
-
-
-
-
-
-















