ADM2 Antibody
-
中文名稱:ADM2兔多克隆抗體
-
貨號:CSB-PA093138
-
規格:¥1100
-
圖片:
-
The image on the left is immunohistochemistry of paraffin-embedded Human brain tissue using CSB-PA093138(ADM2 Antibody) at dilution 1/40, on the right is treated with synthetic peptide. (Original magnification: ×200)
-
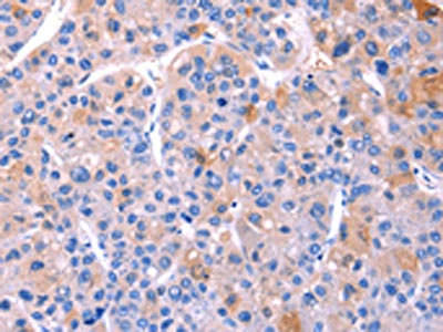
The image on the left is immunohistochemistry of paraffin-embedded Human liver cancer tissue using CSB-PA093138(ADM2 Antibody) at dilution 1/40, on the right is treated with synthetic peptide. (Original magnification: ×200)
-
-
其他:
產品詳情
-
Uniprot No.:
-
基因名:
-
別名:ADM2 antibody; ADM2_HUMAN antibody; Adrenomedullin 2 antibody; AM2 antibody; dJ579N16.4 antibody; FLJ21135 antibody; IMDL antibody; IMDS antibody; Intermedin antibody; Intermedin-long antibody; Intermedin-short antibody
-
宿主:Rabbit
-
反應種屬:Human,Mouse,Rat
-
免疫原:Synthetic peptide of Human ADM2
-
免疫原種屬:Homo sapiens (Human)
-
標記方式:Non-conjugated
-
抗體亞型:IgG
-
純化方式:Antigen affinity purification
-
濃度:It differs from different batches. Please contact us to confirm it.
-
保存緩沖液:-20°C, pH7.4 PBS, 0.05% NaN3, 40% Glycerol
-
產品提供形式:Liquid
-
應用范圍:ELISA,IHC
-
推薦稀釋比:
Application Recommended Dilution ELISA 1:1000-1:2000 IHC 1:25-1:100 -
Protocols:
-
儲存條件:Upon receipt, store at -20°C or -80°C. Avoid repeated freeze.
-
貨期:Basically, we can dispatch the products out in 1-3 working days after receiving your orders. Delivery time maybe differs from different purchasing way or location, please kindly consult your local distributors for specific delivery time.
-
用途:For Research Use Only. Not for use in diagnostic or therapeutic procedures.
相關產品
靶點詳情
-
功能:May play a role as physiological regulators of gastrointestinal, cardiovascular bioactivities mediated by the CALCRL/RAMPs receptor complexes. Activates the cAMP-dependent pathway.; May play a role as physiological regulators of gastrointestinal, cardiovascular bioactivities mediated by the CALCRL/RAMPs receptor complexes. Activates the cAMP-dependent pathway.
-
基因功能參考文獻:
- IMD may be an important self-protective factor in response to sepsis. PMID: 29980671
- The plasma ADM2 levels were inversely correlated with obesity in humans, and adipo-ADM2-transgenic (tg) mice displayed resistance to high-fat diet-induced obesity with increased energy expenditure. PMID: 27621315
- Mouse and human heart valves expressed mRNAs for the CRL ligands adrenomedullin (AM), adrenomedullin-2 (AM-2) and calcitonin gene-related peptide (CGRP) and for their receptor components, i.e., CRL and receptor-activity-modifying proteins 1-3. PMID: 27553639
- ADM-2 is a stress-inducible gene controlled by ATF-4. PMID: 27328454
- Intermedin1-53 may attenuate vascular calcification by upregulating alpha-Klotho via the calcitonin receptor/modifying protein complex and protein kinase A signaling. PMID: 26880455
- Intermedin (IMD) derived from human cardiac microvascular endothelial cell and acting in a paracrine manner on cardiomyocytes, predominantly at AM1 receptors, is more likely to contribute to direct protection by endogenous IMD of cardiomyocytes against acute ischemia reperfusion injury. PMID: 26743504
- Elevated plasma intermedin levels are independently associated with long-term recurrence and distant metastasis of prostate cancer. PMID: 26406405
- ADM2 may contribute to the physiology of embryo implantation and placental growth via increasing MMP2 and decreasing MUC1 expression to facilitate trophoblast invasion. PMID: 26510869
- Plasma intermedin and BNP levels were markedly higher in acute coronary syndrome patients than in healthy people. PMID: 23391507
- High levels of ADM2 expression predict a poorer survival in patients with pancreatic adenocarcinoma. PMID: 25982376
- TSH induced AM2/IMD expression in the thyroid gland and it could locally work as a potent vasodilator, resulting in the expansion of thyroid inter-follicular capillaries. PMID: 25102228
- Intermedin affects the endothelial cell junction and blood vessel sprouting in a VE-cadherin dependent way. PMID: 25637664
- results suggest that high plasma intermedin level is associated with poor outcomes of patients and may be a useful prognostic biomarker in ST-segment elevation acute myocardial infarction. PMID: 24969626
- ADM and IMD mRNA expression are elevated in chronic heart failure at different stages of the disease. PMID: 24531032
- a significant increase in plasma intermedin following acute myocardial infarction may be associated with oxidative stress, and could be used as a marker to reflect the severity of the coronary stenosis PMID: 23499766
- this study is the first to demonstrate a potential involvement of IMD in human embryo implantation and placental development via regulation of trophoblast invasion at the maternal-fetal interface PMID: 23337723
- Intermedin plays a critical role in the vascular remodeling process and tumor angiogenesis by regulating vascular endothelial-cadherin and extracellular signal-regulated kinase. PMID: 22922959
- adm2 polymorphism is associated with renal dysfunction, blood pressure regulation and asymptomatic cerebrovascular diseases in the Japanese general population PMID: 21832999
- potentially involved in regulating HLA-G antigen at the maternal-fetal interface and facilitating trophoblast invasion and migration via MAPK3/1 phosphorylation PMID: 21816853
- Data showed that intermedin (IMD)/adrenomedullin 2 (ADM2) is a novel oocyte-derived ligand important for the regulation of cell interactions in COCs that functions, in part, by suppressing cumulus cell apoptosis. PMID: 22009752
- Intermedin reduces HUVEC permeability via Rac1-mediated actin cytoskeleton rearrangement. PMID: 21816966
- Adrenomedullin-related peptide, AM2 was highly expressed in colorectal cancer tissue. The percent increase of AM2 synthesis in cancer tissues to the surrounding normal tissues was greater than adrenomedullin. PMID: 21839130
- IMD may be an endogenous vasoprotective factor for vascular calcification PMID: 19910445
- may have a role in the physiology of human pregnancy via regulation of trophoblast invasion and migration PMID: 19535789
- Intermedin is a calcitonin/calcitonin gene-related peptide family peptide acting through the calcitonin receptor-like receptor/receptor activity-modifying protein receptor complexes PMID: 14615490
- ADM2 may be related to the central and peripheral regulation of the circulation and water-electrolyte metabolism PMID: 16359754
- IMD expressed by pericytes in has a role in susceptibility of the skin of atopic dermatitis patients to inflammatory stimuli PMID: 17008878
- Study has shown expression of AM2/IMD in various types of cells in the central nervous system and the cardiovascular system, and suggested possible (patho)physiological roles of AM2/IMD in these systems. PMID: 17346853
- robust increase in expression of the peptide in hypertrophied and ischaemic myocardium indicates an important protective role for adrenomedullin 2 as an endogenous counter-regulatory peptide in the heart--REVIEW PMID: 17965749
- adrenomedullin 2/intermedin may have autocrine/paracrine regulatory roles in adrenal tumors and attached non-neoplastic adrenal tissues, such as tumor growth. PMID: 18460550
- Vascular injury in rat kidney is reduced by IMD gene delivery and it prevents glomerular and peritubular capillary loss. PMID: 18829738
- Data show that adrenomedullin-2 was shown to be secreted by HAEC and may play a potential protective role in human aortic endothelial cells. PMID: 19255504
- IMD enhances angiogenesis through ERK, Akt/NOS/NO, and VEGF/VEGFR-2 signaling pathways PMID: 19592612
- IMD is a novel hypoxia-induced gene and a potential interventional agent for the improvement of endothelial barrier function in systemic inflammatory responses and hypoxia-induced vascular leakage. PMID: 19684198
顯示更多
收起更多
-
亞細胞定位:Secreted.
-
蛋白家族:Adrenomedullin family
-
組織特異性:Expressed in the esophagus, stomach, jejunum, ileum, ileocecum, ascending colon, transverse colon, descending colon and rectum. Expressed in myocardial cells of the heart, renal tubular cells, hypothalamus, and pituitary.
-
數據庫鏈接:
Most popular with customers
-
-
YWHAB Recombinant Monoclonal Antibody
Applications: ELISA, WB, IHC, IF, FC
Species Reactivity: Human, Mouse, Rat
-
Phospho-YAP1 (S127) Recombinant Monoclonal Antibody
Applications: ELISA, WB, IHC
Species Reactivity: Human
-
-
-
-
VCP Recombinant Monoclonal Antibody
Applications: ELISA, WB, IHC, IF, IP
Species Reactivity: Human, Rat
-















