ADIPOR2 Antibody
-
中文名稱:ADIPOR2兔多克隆抗體
-
貨號:CSB-PA141929
-
規格:¥1100
-
圖片:
-
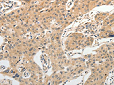
The image on the left is immunohistochemistry of paraffin-embedded Human liver cancer tissue using CSB-PA141929(ADIPOR2 Antibody) at dilution 1/20, on the right is treated with synthetic peptide. (Original magnification: ×200)
-
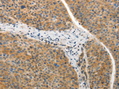
The image on the left is immunohistochemistry of paraffin-embedded Human lung cancer tissue using CSB-PA141929(ADIPOR2 Antibody) at dilution 1/20, on the right is treated with synthetic peptide. (Original magnification: ×200)
-
-
其他:
產品詳情
-
Uniprot No.:
-
基因名:
-
別名:ADIPOR2; PAQR2; Adiponectin receptor protein 2; Progestin and adipoQ receptor family member 2; Progestin and adipoQ receptor family member II
-
宿主:Rabbit
-
反應種屬:Human,Mouse
-
免疫原:Synthetic peptide of Human ADIPOR2
-
免疫原種屬:Homo sapiens (Human)
-
標記方式:Non-conjugated
-
抗體亞型:IgG
-
純化方式:Antigen affinity purification
-
濃度:It differs from different batches. Please contact us to confirm it.
-
保存緩沖液:-20°C, pH7.4 PBS, 0.05% NaN3, 40% Glycerol
-
產品提供形式:Liquid
-
應用范圍:ELISA,IHC
-
推薦稀釋比:
Application Recommended Dilution ELISA 1:2000-1:5000 IHC 1:25-1:100 -
Protocols:
-
儲存條件:Upon receipt, store at -20°C or -80°C. Avoid repeated freeze.
-
貨期:Basically, we can dispatch the products out in 1-3 working days after receiving your orders. Delivery time maybe differs from different purchasing way or location, please kindly consult your local distributors for specific delivery time.
-
用途:For Research Use Only. Not for use in diagnostic or therapeutic procedures.
相關產品
靶點詳情
-
功能:Receptor for ADIPOQ, an essential hormone secreted by adipocytes that regulates glucose and lipid metabolism. Required for normal body fat and glucose homeostasis. ADIPOQ-binding activates a signaling cascade that leads to increased PPARA activity, and ultimately to increased fatty acid oxidation and glucose uptake. Has intermediate affinity for globular and full-length adiponectin. Required for normal revascularization after chronic ischemia caused by severing of blood vessels.
-
基因功能參考文獻:
- There were no significant associations involving ADIPOR2 with diabetes and hypertriglyceridemia in an admixed Latin American population. PMID: 29145541
- the findings of the present case-control study further exemplify the role of AdipoR2 genetic polymorphisms (rs10773989 and rs1044471) and its protein expression in colorectal carcinogenesis and advancement. PMID: 28765899
- Two polymorphisms, rs2241766 in ADIPOQ gene and rs10773989 in ADIPOR2 gene, especially under the recessive model of inheritance, played independent leading roles in susceptibility to myocardial infarction in Han Chinese. PMID: 29524572
- The results indicated that globular adiponectin inhibited the prooncogenic effects of leptin via AdipoR2-mediated suppression of UHRF1 PMID: 28285359
- Variants of ADIPOR2 could be a determinant for higher FFA levels, and among Chinese Han population, carriers of the CT and TT genotypes for rs2370055 even with normal glucose levels may have significantly higher insulin resistance susceptibility. PMID: 27348122
- We conclude that the PAQR-2 and AdipoR2 proteins share an evolutionarily conserved function that maintains membrane fluidity in the presence of exogenous saturated fatty acids. PMID: 28886012
- Renoprotection of adiponectin is associated with improvement of the endothelial dysfunction, reduction of oxidative stress, and upregulation of endothelial nitric oxide synthase expression through activation of adenosine 5'-monophosphate-activated protein kinase by AdipoR1 and activation of peroxisome proliferator-activated receptor (PPAR)-alpha signaling pathway by AdipoR2. [review] PMID: 28402446
- crystal structure of ADIPOR2 bound to a FFA molecule and show that ADIPOR2 possesses intrinsic basal ceramidase activity that is enhanced by adiponectin PMID: 28329765
- Adiponectin stimulates cPLA2 and COX-2 expression via AdipoR1/2-dependent activation of PKC/NADPH oxidase/mitochondria resulting in ROS accumulation, p300 phosphorylation, and histone H4 acetylation. PMID: 27288489
- These results indicate that miR-150 can attenuate oxidized low-density lipoprotein - induced lipid accumulation in macrophages via promotion of cholesterol efflux. The suppressive effects of miR-150 on macrophage foam cell formation are mediated through targeting of AdipoR2. PMID: 27216461
- Decreased expression of ADIPOR2 is associated with polycystic ovary syndrome. PMID: 27075719
- Strong Functional Association of adipor2 and cdh13 with adipoq PMID: 25388841
- PCR results showed expression of adiponectin, AdipoR1, AdipoR2, follicle-stimulating hormone receptor (FSHR), and luteinizing hormone receptor (LHR) in granulosa cells (GCs). After controlling body mass index (BMI) values, qRT-PCR demonstrated a decreased expression of adiponectin system in GCs of polycystic ovary syndromepatients compared to those in controls PMID: 26631404
- Endometriotic stromal cell proliferation is linked to increased expression of AdipoR2 (and AdipoR1) gene receptor expression. PMID: 26459399
- Results identified miR-375 and its direct target, ADIPOR2 as androgen regulated molecules suggesting an important role in the mechanism of the increase in visceral fat mass and the associated insulin resistance caused by testosterone deficiency. PMID: 26219823
- Two ADIPOR2 SNPs (rs11061925 and rs929434) were associated with fasting plasma triglyceride concentrations in the entire sample of HIV-infected patients. PMID: 26111083
- In conclusion, neutrophil AdipoRs (AdipoR1, AdipoR2) upregulation was associated with early stages of vascular injury, hypertension severity, and low serum levels of adiponectin PMID: 26146630
- Results demonstrate that the non-conserved N-terminal trunks dictate the cell-surface expression and temporal signaling profiles of AdipoR1 and AdipoR2. PMID: 25892445
- Data indicate the thermal stability of purified N-terminally truncated mutants of adiponectin receptors AdipoR1 and AdipoR2. PMID: 25575462
- This study indicated that ApN may play a role in the progression of colorectal adenomatous polyps to carcinoma through actions on adipo-R1 and adipo-R2 receptors. PMID: 25640382
- crystal structures of the human adiponectin receptors AdipoR1 and AdipoR2 at 2.9 A and 2.4 A resolution, respectively PMID: 25855295
- down-regulation of adiponectin receptors (AdipoR1, R2, and T-cadherin) in osteoarthritic chondrocytes PMID: 24888493
- These results strengthen the evidence for the role of AdipoR2 in prostate cancer progression. PMID: 25863129
- AA genotype and A allele of rs12342 in the adiponectin receptor 2 gene may increase the risk of ischemic stroke, particularly the risk of atherosclerosis cerebral infarction PMID: 25299095
- miR-423-3p plays a novel oncogenic role in laryngeal cancer via AdipoR2 suppression. PMID: 25337209
- In conclusion, all these observations suggest that adiponectin influences bone metabolism decreasing the levels of bone formation. PMID: 24673523
- The improvement of insulin sensitivity by physical exercise is related to adiponectin and/or AdipoR1/R2 expression changes. PMID: 25126860
- macrophage polarization is a key determinant regulating AdipoR expression and differential APN-mediated macrophage inflammatory responses PMID: 25392268
- In those with advanced stage gastric cancer, 7 of 39 had low Adipo-R1 expression (17.9%) and 16 had low Adipo-R2 expression (41%). PMID: 24969908
- Low ADIPOR2 expression is associated with hepatocellular carcinoma. PMID: 24619866
- AdipoR1 stimulates IL10 production by activating the AMPK and MAPKp38 pathways, whereas AdipoR2 modifies inflammatory processes by activating the COX-2 and PPARG pathways. PMID: 25261236
- adiponectin receptors(AdipoR1 and -R2 ) are located, or re-located, in the plasma membrane with distribution in the cytoplasm when mononuclear cells are committed to differentiate to osteoclasts. PMID: 23971629
- AdipoR2 is regulated by the LH receptor function via a cAMP dependent mechanism. PMID: 23779096
- SNPs of both the adiponectin gene and its receptors AdipoR1 and AdipoR2 (including their haplotypes) appear as candidate genes and involved in the development of the state of insulin resistance. PMID: 23656997
- Studies indicate that altered levels of adiponectin and leptin or their cognate receptors in cancers can ultimately lead to an imbalance in downstream molecular pathways. PMID: 23355630
- APN, AdipoR1, and AdipoR2 exist in human and mouse retinas and retinal APN and AdipoR1 protein levels are elevated in type 1 diabetes mellitus mice. PMID: 23922494
- Collectively these studies demonstrate that the non-conserved region of AdipoR2 restricts its cell-surface expression and raise the possibility that the majority of cell-surface AdipoR2 may be present in the form of heterodimers. PMID: 23376713
- Data indicate that AdipoR1 was expressed in 27 % of primary tumors and AdipoR2 in 47 %. PMID: 22907586
- High AdipoR2 expression is associated with gastric carcinoma. PMID: 23358721
- Circulating concentrations of adiponectin were not affected by type I diabetes, but expression of adiponectin receptors on blood monocytes was markedly reduced and inversely associated with insulin resistance. PMID: 23386639
- The pleiotropic, tissue-dependent functions of adiponectin depend on the expression levels of AdipoR1 and AdipoR2. PMID: 23255609
- Reduced hepatic expression of adiponectin and adipoR2 might be of pathophysiological relevance in chronic hepatitis B patients with metabolic syndrome. PMID: 22819899
- Increased mRNA and protein expression of adiponectin receptors is related with increased aortic stiffness, coronary and peripheral atherosclerosis in patients with coronary artery disease. PMID: 22534793
- Adiponectin differentially alters the expression of Adipor1/Adipor2 as well as genes related to steroidogenesis, ovulation, and apoptosis in cumulus cells versus granulosa cells. PMID: 22633650
- adiponectin receptor-2 795G/A polymorphisms and relation with insulin resistance PMID: 22187345
- In a Finnish type 2 diabetes population, four SNPs in ADIPOR2 (rs10848554, rs11061937, rs1058322, rs16928751) are associated with cardiovascular disease risk, and two remain significant. PMID: 21943112
- While the decrease in leptin receptor levels in chronic myeloid leukemia patients was confirmed, the increase in AdipoR1 levels and relevant decrease in AdipoR2 levels depicted their possible involvement in chronic myeloid leukemia pathogenesis. PMID: 22082804
- Authors evaluated 29 common single-nucleotide polymorphisms (SNP) in ADIPOQ (n = 13), ADIPOR1 (n = 5), and ADIPOR2 (n = 11) in relation to the risk of prostate cancer. PMID: 21960694
- Adiponectin suppression of macrophage lipid accumulation/foam cell formation is mediated through AdipoR1/AdipoR2/APPL1. AdipoR1 and AdipoR2 exhibited a differential ability to regulate inflammatory cytokines and SR-A1. PMID: 22227293
- In vitro and ex vivo evidence for a causal role of adiponectin in endometrial cancer. PMID: 21980131
顯示更多
收起更多
-
亞細胞定位:Cell membrane; Multi-pass membrane protein.
-
蛋白家族:ADIPOR family
-
組織特異性:Ubiquitous. Highly expressed in skeletal muscle, liver and placenta. Weakly expressed in brain, heart, colon, spleen, kidney, thymus, small intestine, peripheral blood leukocytes and lung.
-
數據庫鏈接:
Most popular with customers
-
-
Phospho-YAP1 (S127) Recombinant Monoclonal Antibody
Applications: ELISA, WB, IHC
Species Reactivity: Human
-
-
-
-
-
-















