ADCY8 Antibody
-
中文名稱:ADCY8兔多克隆抗體
-
貨號:CSB-PA001344LA01HU
-
規格:¥440
-
圖片:
-
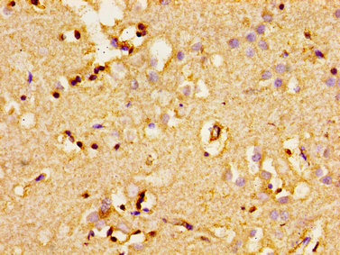
Immunohistochemistry of paraffin-embedded human brain tissue using CSB-PA001344LA01HU at dilution of 1:100
-
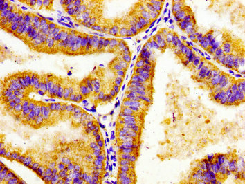
Immunohistochemistry of paraffin-embedded human endometrial cancer using CSB-PA001344LA01HU at dilution of 1:100
-
Immunofluorescence staining of A549 cells with CSB-PA001344LA01HU at 1:233, counter-stained with DAPI. The cells were fixed in 4% formaldehyde, permeabilized using 0.2% Triton X-100 and blocked in 10% normal Goat Serum. The cells were then incubated with the antibody overnight at 4°C. The secondary antibody was Alexa Fluor 488-congugated AffiniPure Goat Anti-Rabbit IgG(H+L).
-
-
其他:
產品詳情
-
產品名稱:Rabbit anti-Homo sapiens (Human) ADCY8 Polyclonal antibody
-
Uniprot No.:
-
基因名:
-
別名:ADCY8 antibody; Adenylate cyclase type 8 antibody; EC 4.6.1.1 antibody; ATP pyrophosphate-lyase 8 antibody; Adenylate cyclase type VIII antibody; Adenylyl cyclase 8 antibody; AC8 antibody; Ca(2+)/calmodulin-activated adenylyl cyclase antibody
-
宿主:Rabbit
-
反應種屬:Human
-
免疫原:Recombinant Human Adenylate cyclase type 8 protein (534-670AA)
-
免疫原種屬:Homo sapiens (Human)
-
標記方式:Non-conjugated
本頁面中的產品,ADCY8 Antibody (CSB-PA001344LA01HU),的標記方式是Non-conjugated。對于ADCY8 Antibody,我們還提供其他標記。見下表:
-
克隆類型:Polyclonal
-
抗體亞型:IgG
-
純化方式:>95%, Protein G purified
-
濃度:It differs from different batches. Please contact us to confirm it.
-
保存緩沖液:Preservative: 0.03% Proclin 300
Constituents: 50% Glycerol, 0.01M PBS, pH 7.4 -
產品提供形式:Liquid
-
應用范圍:ELISA, IHC, IF
-
推薦稀釋比:
Application Recommended Dilution IHC 1:20-1:200 IF 1:200-1:500 -
Protocols:
-
儲存條件:Upon receipt, store at -20°C or -80°C. Avoid repeated freeze.
-
貨期:Basically, we can dispatch the products out in 1-3 working days after receiving your orders. Delivery time maybe differs from different purchasing way or location, please kindly consult your local distributors for specific delivery time.
-
用途:For Research Use Only. Not for use in diagnostic or therapeutic procedures.
相關產品
靶點詳情
-
功能:Catalyzes the formation of cAMP in response to calcium entry leadings to cAMP signaling activation that affect processes suche as synaptic plasticity and insulin secretion. Plays a role in many brain functions, such as learning, memory, drug addiction, and anxiety modulation through regulation of synaptic plasticity by modulating long-term memory and long-term potentiation (LTP) through CREB transcription factor activity modulation. Plays a central role in insulin secretion by controlling glucose homeostasis through glucagon-like peptide 1 and glucose signaling pathway and maintains insulin secretion through calcium-dependent PKA activation leading to vesicle pool replenishment. Also, allows PTGER3 to induce potentiation of PTGER4-mediated PLA2 secretion by switching from a negative to a positive regulation, during the IL1B induced-dedifferentiation of smooth muscle cells.
-
基因功能參考文獻:
- Our results provide evidence for new loci influencing abdominal visceral (BBS9, ADCY8, KCNK9) and subcutaneous (MLLT10/DNAJC1/EBLN1) fat, and confirmed a locus (THNSL2) previously reported to be associated with abdominal fat in women PMID: 26480920
- Results show that promoter hypermethylation of ADCY8, CDH8, and ZNF582 are correlated with high-grade squamous intraepithelial lesion. PMID: 27651839
- ADCY8 is required for the physiological activation of glucose-induced signalling pathways in beta cells, for glucose tolerance and for hypothalamic adaptation to a high-fat diet via regulation of islet insulin secretion. PMID: 25403481
- ADCY8 is integral for long-term potentiation and synaptic plasticity and is implicated in fear-related learning and memory. PMID: 24677629
- Polymorphisms ADCY8 are associated with an alcohol-dependent phenotype in females, which is distinguished by comorbid signs of depression. PMID: 23278386
- The adenylate cyclase 8 plays a major role in cAMP production. PMID: 23200849
- Orai1 and AC8 binding mediates dynamic interplay between Ca2+ and cAMP signaling PMID: 22494970
- cAMP-mediated pathways are modelled by glucose, and downregulation of the calcium-sensitive ADCY8 plays a central role herein, including signalling via the GLP1R. PMID: 21046358
- Ca2+ entry increase was accompanied by red cell aggregation rise, while adenylyl cyclase-cAMP system stimulation led to red cell deformability increase and its aggregation lowered. PMID: 20675917
- Data reveal that an association of the Ca(2+)-stimulable AC8 with AKAP79/150 that limits the sensitivity of AC8 to intracellular Ca(2+) events. PMID: 20410303
- The data of this study suggested that Adcy8 might encode a translational behavioral endophenotype of bipolar disorder. PMID: 19691954
- Cyclic AMP compartmentation due to increased cAMP-phosphodiesterase activity in transgenic mice expressing human adenylyl cyclase type 8. PMID: 12890691
- A direct interaction between the N terminus of adenylyl cyclase AC8 and the catalytic subunit of protein phosphatase 2A was shown PMID: 16258073
- recruited CaM is used by the C terminus of AC8 to mediate Ca2+ stimulation PMID: 16613843
- Redundant cyclase activity maintains the balance between presynaptically silent and active synapses, but AC8 plays an mportant role in resetting the balance of active to silent synapses after adaptation to strong activity. PMID: 18480272
- Colocalizes with Orai1 and stromal interaction molecule 1 (STIM1) at the plasma membrane in lipid rafts PMID: 19171672
顯示更多
收起更多
-
亞細胞定位:Cell membrane; Multi-pass membrane protein. Basolateral cell membrane. Apical cell membrane. Cell junction, synapse. Cell projection, dendrite. Cell projection, axon. Cell junction, synapse, presynaptic cell membrane. Cell junction, synapse, postsynaptic density. Membrane raft. Membrane, coated pit. Cytoplasmic vesicle, clathrin-coated vesicle membrane. Membrane, caveola.
-
蛋白家族:Adenylyl cyclase class-4/guanylyl cyclase family
-
組織特異性:Detected in brain cortex. Expressed in islet.
-
數據庫鏈接:
Most popular with customers
-
-
YWHAB Recombinant Monoclonal Antibody
Applications: ELISA, WB, IHC, IF, FC
Species Reactivity: Human, Mouse, Rat
-
Phospho-YAP1 (S127) Recombinant Monoclonal Antibody
Applications: ELISA, WB, IHC
Species Reactivity: Human
-
-
-
-
-















