ADCY4 Antibody
-
中文名稱:ADCY4兔多克隆抗體
-
貨號:CSB-PA020499
-
規格:¥1100
-
圖片:
-
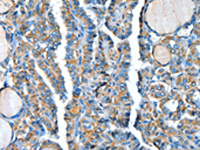
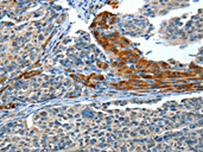
The image on the left is immunohistochemistry of paraffin-embedded Human thyroid cancer tissue using CSB-PA020499(ADCY4 Antibody) at dilution 1/30, on the right is treated with fusion protein. (Original magnification: ×200)
-
The image on the left is immunohistochemistry of paraffin-embedded Human liver cancer tissue using CSB-PA020499(ADCY4 Antibody) at dilution 1/30, on the right is treated with fusion protein. (Original magnification: ×200)
-
-
其他:
產品詳情
-
Uniprot No.:
-
基因名:
-
別名:AC4 antibody; Adcy4 antibody; ADCY4_HUMAN antibody; Adenylate cyclase 4 antibody; Adenylate cyclase type 4 antibody; Adenylate cyclase type IV antibody; Adenylyl cyclase 4 antibody; Adenylyl cyclase antibody; ATP pyrophosphate lyase 4 antibody; ATP pyrophosphate lyase antibody; ATP pyrophosphate-lyase 4 antibody
-
宿主:Rabbit
-
反應種屬:Human,Mouse,Rat
-
免疫原:Fusion protein of Human ADCY4
-
免疫原種屬:Homo sapiens (Human)
-
標記方式:Non-conjugated
-
抗體亞型:IgG
-
純化方式:Antigen affinity purification
-
濃度:It differs from different batches. Please contact us to confirm it.
-
保存緩沖液:-20°C, pH7.4 PBS, 0.05% NaN3, 40% Glycerol
-
產品提供形式:Liquid
-
應用范圍:ELISA,IHC
-
推薦稀釋比:
Application Recommended Dilution ELISA 1:2000-1:5000 IHC 1:25-1:100 -
Protocols:
-
儲存條件:Upon receipt, store at -20°C or -80°C. Avoid repeated freeze.
-
貨期:Basically, we can dispatch the products out in 1-3 working days after receiving your orders. Delivery time maybe differs from different purchasing way or location, please kindly consult your local distributors for specific delivery time.
-
用途:For Research Use Only. Not for use in diagnostic or therapeutic procedures.
相關產品
靶點詳情
-
功能:Catalyzes the formation of the signaling molecule cAMP in response to G-protein signaling.
-
基因功能參考文獻:
- AC4 and AC2, both isoforms stimulated by Gbetagamma, are expressed in bronchial nonlipid raft membrane fractions where they colocalize with and couple to prostanoid EP2 receptors. PMID: 21228062
- This paper reports the presence of adenylyl cyclases 2, 3, and 4 in mouse olfactory cilia. PMID: 11055432
- The HIV-1 regulatory protein Tat was shown to inhibit the activity of adenylyl cyclase in rat microglial cells. PMID: 11299302
-
亞細胞定位:Cell membrane; Multi-pass membrane protein. Cytoplasm.
-
蛋白家族:Adenylyl cyclase class-4/guanylyl cyclase family
-
組織特異性:Detected in the zona glomerulosa and the zona fasciculata in the adrenal gland (at protein level).
-
數據庫鏈接:
Most popular with customers
-
-
Phospho-YAP1 (S127) Recombinant Monoclonal Antibody
Applications: ELISA, WB, IHC
Species Reactivity: Human
-
-
-
-
-
-















