ADAP1 Antibody
-
中文名稱:ADAP1兔多克隆抗體
-
貨號:CSB-PA217880
-
規格:¥1100
-
圖片:
-
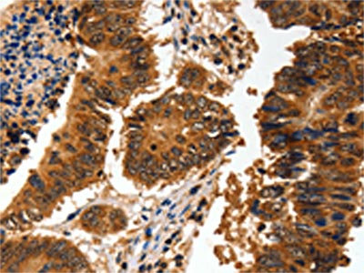
The image on the left is immunohistochemistry of paraffin-embedded Human colon cancer tissue using CSB-PA217880(ADAP1 Antibody) at dilution 1/60, on the right is treated with fusion protein. (Original magnification: ×200)
-
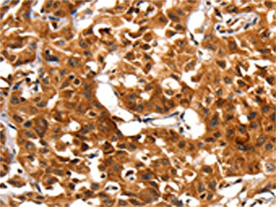
The image on the left is immunohistochemistry of paraffin-embedded Human lung cancer tissue using CSB-PA217880(ADAP1 Antibody) at dilution 1/60, on the right is treated with fusion protein. (Original magnification: ×200)
-
Gel: 10%SDS-PAGE, Lysate: 40 μg, Lane: Mouse brain tissue, Primary antibody: CSB-PA217880(ADAP1 Antibody) at dilution 1/500, Secondary antibody: Goat anti rabbit IgG at 1/8000 dilution, Exposure time: 15 seconds
-
-
其他:
產品詳情
-
Uniprot No.:
-
基因名:ADAP1
-
別名:ADAP1 antibody; CENTA1Arf-GAP with dual PH domain-containing protein 1 antibody; Centaurin-alpha-1 antibody; Cnt-a1 antibody; Putative MAPK-activating protein PM25 antibody
-
宿主:Rabbit
-
反應種屬:Human,Mouse
-
免疫原:Fusion protein of Human ADAP1
-
免疫原種屬:Homo sapiens (Human)
-
標記方式:Non-conjugated
-
抗體亞型:IgG
-
純化方式:Antigen affinity purification
-
濃度:It differs from different batches. Please contact us to confirm it.
-
保存緩沖液:-20°C, pH7.4 PBS, 0.05% NaN3, 40% Glycerol
-
產品提供形式:Liquid
-
應用范圍:ELISA,WB,IHC
-
推薦稀釋比:
Application Recommended Dilution ELISA 1:2000-1:10000 WB 1:200-1:1000 IHC 1:100-1:200 -
Protocols:
-
儲存條件:Upon receipt, store at -20°C or -80°C. Avoid repeated freeze.
-
貨期:Basically, we can dispatch the products out in 1-3 working days after receiving your orders. Delivery time maybe differs from different purchasing way or location, please kindly consult your local distributors for specific delivery time.
-
用途:For Research Use Only. Not for use in diagnostic or therapeutic procedures.
相關產品
靶點詳情
-
功能:GTPase-activating protein for the ADP ribosylation factor family (Probable). Binds phosphatidylinositol 3,4,5-trisphosphate (PtdInsP3) and inositol 1,3,4,5-tetrakisphosphate (InsP4).
-
基因功能參考文獻:
- Analyzed ArfGAP with dual PH domains 1 (ADAP1) using mass spectrometry and found that ADAP1 is phosphorylated at Y364. PMID: 29659066
- This review highlights the functions of the neuron-specific protein ADAP1 in neuronal differentiation and neurodegenerative diseases, with an overview of structural and biochemical properties of ADAP1. [review] PMID: 24854535
- SH-SY5Y cells, stably transfected with GFP-tagged-p42(IP4), show an enhanced NRD protein expression already at an earlier time point after retinoic acid stimulation. PMID: 21801775
- Tubulin potentiates the interaction of the metalloendopeptidase nardilysin with the neuronal scaffold protein p42IP4/centaurin-alpha1 (ADAP1). PMID: 21972134
- Full-length KIF13B and CENTA1 form heterotetramers that can bind four phosphoinositide molecules in the vesicle and transport it along the microtubule. PMID: 21057110
- The ARFGAP domain of p42IP4 is involved in the interaction and co-localization with RanBPM protein, without being the only interaction site. PMID: 18298663
- the up-regulated p42(IP4) in Alzheimer's disease neurons may serve as a docking protein to recruit signaling molecules such as different subtypes of casein kinase I to the plasma membrane. PMID: 12499840
- Results show that nucleolin interacts with centaurin-alpha(1) protein, suggesting that centaurin-alpha(1) may be part of a ribonucleoprotein complex. PMID: 12565890
- centaurin-alpha1 negatively regulates ARF6 activity by functioning as an in vivo PIP3-dependent ARF6 GAP PMID: 14625293
- p42IP4 receptor is expressed and distributed throughout the cell in HEK cell lines and is located on chromosome 7, position 7p22.3. PMID: 14690521
- Authors propose alternative concepts of how elevated levels of p42IP4 might relate to its interaction with nucleolin in the pathomechanisms of Alzheimer's disease. PMID: 15106847
- The centaurin, alpha 1 protein is a high-affinity PtdIns(3,4,5)P3-binding protein enriched in brain. Sequence analysis indicates centaurin alpha-1 contains two pleckstrin homology domains, ankyrin repeats and an Arf GAP homology domain. PMID: 15679100
- By acting as a GTPase activating protein for ADP ribosylation factor 6 (ARF6), centaurin alpha 1 is able to switch off ARF6 and inhibit its ability to mediate beta 2-adrenoceptor internalization. PMID: 15778454
- Centaurin-alpha1 contributes to ERK activation in growth factor signaling, linking the PI3K pathway to the ERK mitogen-activated protein kinase pathway. PMID: 16287813
- Data show that membrane transport of p42(IP4) induced by epidermal growth factor is inhibited by stimulation of phospholipase C-coupled thrombin receptor. PMID: 16341594
- p42IP4 binds to nardilysin via the acidic domain, and that this interaction is controlled by the cognate cellular ligands of p42IP4/centaurin-alpha1 PMID: 16805830
顯示更多
收起更多
-
亞細胞定位:Nucleus. Cytoplasm. Note=Recruited to the plasma membrane upon epidermal growth factor-dependent activation of phosphatidylinositol 4,5-diphosphate (PtdInsP2) 3-kinase.
-
組織特異性:Expressed at highest levels in brain and at lower levels in peripheral blood leukocytes.
-
數據庫鏈接:
Most popular with customers
-
-
YWHAB Recombinant Monoclonal Antibody
Applications: ELISA, WB, IHC, IF, FC
Species Reactivity: Human, Mouse, Rat
-
Phospho-YAP1 (S127) Recombinant Monoclonal Antibody
Applications: ELISA, WB, IHC
Species Reactivity: Human
-
-
-
-
-















