ADAMTS17 Antibody
-
中文名稱:ADAMTS17兔多克隆抗體
-
貨號:CSB-PA557372
-
規格:¥1100
-
圖片:
-
The image on the left is immunohistochemistry of paraffin-embedded Human thyroid cancer tissue using CSB-PA557372(ADAMTS17 Antibody) at dilution 1/60, on the right is treated with synthetic peptide. (Original magnification: ×200)
-
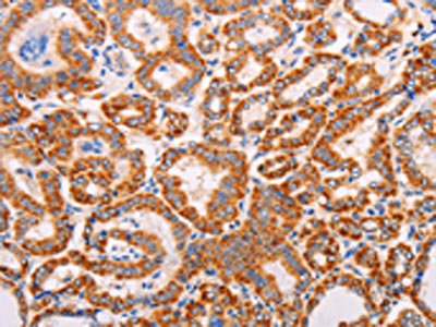
The image on the left is immunohistochemistry of paraffin-embedded Human colon cancer tissue using CSB-PA557372(ADAMTS17 Antibody) at dilution 1/60, on the right is treated with synthetic peptide. (Original magnification: ×200)
-
Gel: 8%SDS-PAGE, Lysate: 40 μg, Lane: NIH/3T3 cells, Primary antibody: CSB-PA557372(ADAMTS17 Antibody) at dilution 1/1300, Secondary antibody: Goat anti rabbit IgG at 1/8000 dilution, Exposure time: 1 hour
-
-
其他:
產品詳情
-
Uniprot No.:
-
基因名:ADAMTS17
-
別名:A disintegrin and metalloproteinase with thrombospondin motifs 17 antibody; A disintegrin-like and metalloprotease (reprolysin type) with thrombospondin type 1 motif; 17 antibody; ADAM metallopeptidase with thrombospondin type 1 motif; 17 antibody; ADAM-TS 17 antibody; ADAM-TS17 antibody; ADAMTS 17 antibody; ADAMTS-17 antibody; ADAMTS17 antibody; ATS17_HUMAN antibody; EC 3.4.24. antibody; FLJ16363 antibody; FLJ32769 antibody; OTTHUMP00000194818 antibody
-
宿主:Rabbit
-
反應種屬:Human,Mouse
-
免疫原:Synthetic peptide of Human ADAMTS17
-
免疫原種屬:Homo sapiens (Human)
-
標記方式:Non-conjugated
-
抗體亞型:IgG
-
純化方式:Antigen affinity purification
-
濃度:It differs from different batches. Please contact us to confirm it.
-
保存緩沖液:-20°C, pH7.4 PBS, 0.05% NaN3, 40% Glycerol
-
產品提供形式:Liquid
-
應用范圍:ELISA,WB,IHC
-
推薦稀釋比:
Application Recommended Dilution ELISA 1:2000-1:5000 WB 1:500-1:2000 IHC 1:50-1:200 -
Protocols:
-
儲存條件:Upon receipt, store at -20°C or -80°C. Avoid repeated freeze.
-
貨期:Basically, we can dispatch the products out in 1-3 working days after receiving your orders. Delivery time maybe differs from different purchasing way or location, please kindly consult your local distributors for specific delivery time.
-
用途:For Research Use Only. Not for use in diagnostic or therapeutic procedures.
相關產品
靶點詳情
-
基因功能參考文獻:
- Secretion of ADAMTS17 requires O-fucosylation. ADAMTS17 binds fibrillin-2 but not fibrillin-1 and does not cleave either. ADAMTS17 regulates fibrillin isoform composition of microfibrils in the eye. PMID: 28176809
- higher Adamts17 expression is found in several human cancer cell subtypes, especially in breast ductal carcinoma and there is an inverse correlation between higher Adamts17 expression and patients' survival. PMID: 24906090
- The mutation in the Weill-Marchesani syndrome (WMS)- gene ADAMTS17 also causes WMS in an Indian family. PMID: 24940034
- A mutation in WMS-like gene ADAMTS17 also causes WMS. PMID: 24940034
- Endothelial protease nexin-1 is a novel regulator of A disintegrin and metalloproteinase 17 maturation and endothelial protein C receptor shedding via furin inhibition. PMID: 23661674
- Recessive ADAMTS17 mutations are a recurrent cause of isolated spherophakia with short stature. PMID: 22486325
- ADAMTS17 is a target gene of the BACH1 transcription factor according to ChIP-seq analysis in HEK 293 cells. PMID: 21555518
- Homozygous mutation in ADAMTS17 causes lenticular myopia, ectopia lentis, glaucoma, spheropakia, and short stature. PMID: 19836009
顯示更多
收起更多
-
相關疾病:Weill-Marchesani-like syndrome (WMSL)
-
亞細胞定位:Secreted, extracellular space, extracellular matrix.
-
組織特異性:Isoform 1 and isoform 2 are expressed at high levels in the lung, brain, whole eye and retina. Isoform 1 shows a weaker expression in the heart, kidney and skeletal muscle. Isoform 2 shows a weaker expression in the kidney, bone marrow and skeletal muscle
-
數據庫鏈接:
Most popular with customers
-
-
YWHAB Recombinant Monoclonal Antibody
Applications: ELISA, WB, IHC, IF, FC
Species Reactivity: Human, Mouse, Rat
-
Phospho-YAP1 (S127) Recombinant Monoclonal Antibody
Applications: ELISA, WB, IHC
Species Reactivity: Human
-
-
-
-
-















