ADAMTS15 Antibody
-
中文名稱:ADAMTS15兔多克隆抗體
-
貨號:CSB-PA837445LA01HU
-
規格:¥440
-
圖片:
-
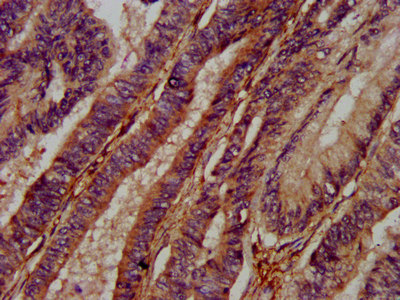
IHC image of CSB-PA837445LA01HU diluted at 1:400 and staining in paraffin-embedded human colon cancer performed on a Leica BondTM system. After dewaxing and hydration, antigen retrieval was mediated by high pressure in a citrate buffer (pH 6.0). Section was blocked with 10% normal goat serum 30min at RT. Then primary antibody (1% BSA) was incubated at 4°C overnight. The primary is detected by a biotinylated secondary antibody and visualized using an HRP conjugated SP system.
-
-
其他:
產品詳情
-
產品名稱:Rabbit anti-Homo sapiens (Human) ADAMTS15 Polyclonal antibody
-
Uniprot No.:
-
基因名:ADAMTS15
-
別名:A disintegrin and metalloproteinase with thrombospondin motifs 15 antibody; A disintegrin like and metalloprotease reprolysin type with thrombospondin type 1 motif 15 antibody; A disintegrin like and metalloprotease reprolysin type with thrombospondin type 1 motif 15 preproprotein antibody; A disintegrin like and metalloprotease with thrombospondin type 1 motif 15 antibody; A disintegrin like and metalloprotease with thrombospondin type 1 motif 15 preproprotein antibody; ADAM metallopeptidase with thrombospondin type 1 motif 15 antibody; ADAM TS 15 antibody; ADAM TS15 antibody; ADAM-TS 15 antibody; ADAM-TS15 antibody; ADAMTS 15 antibody; ADAMTS-15 antibody; ADAMTS15 antibody; ATS15_HUMAN antibody; MGC126403 antibody
-
宿主:Rabbit
-
反應種屬:Human
-
免疫原:Recombinant Human A disintegrin and metalloproteinase with thrombospondin motifs 15 protein (801-913AA)
-
免疫原種屬:Homo sapiens (Human)
-
標記方式:Non-conjugated
本頁面中的產品,ADAMTS15 Antibody (CSB-PA837445LA01HU),的標記方式是Non-conjugated。對于ADAMTS15 Antibody,我們還提供其他標記。見下表:
-
克隆類型:Polyclonal
-
抗體亞型:IgG
-
純化方式:>95%, Protein G purified
-
濃度:It differs from different batches. Please contact us to confirm it.
-
保存緩沖液:Preservative: 0.03% Proclin 300
Constituents: 50% Glycerol, 0.01M PBS, pH 7.4 -
產品提供形式:Liquid
-
應用范圍:ELISA, IHC
-
推薦稀釋比:
Application Recommended Dilution IHC 1:200-1:500 -
Protocols:
-
儲存條件:Upon receipt, store at -20°C or -80°C. Avoid repeated freeze.
-
貨期:Basically, we can dispatch the products out in 1-3 working days after receiving your orders. Delivery time maybe differs from different purchasing way or location, please kindly consult your local distributors for specific delivery time.
-
用途:For Research Use Only. Not for use in diagnostic or therapeutic procedures.
相關產品
靶點詳情
-
功能:Metalloprotease which has proteolytic activity against the proteoglycan VCAN, cleaving it at the 'Glu-1428-|-1429-Ala' site. Cleaves VCAN in the pericellular matrix surrounding myoblasts, facilitating myoblast contact and fusion which is required for skeletal muscle development and regeneration.
-
基因功能參考文獻:
- ADAMTS4 and ADAMTS15 were upregulated in symptomatic uterine leiomyomas. PMID: 28323982
- ADAMTS15 expression is significantly upregulated in human masticatory mucosa during wound healing PMID: 28005267
- ADAMTS15 is a candidate gene for intracranial aneurysms PMID: 25649796
- ADAMTS-15 has multiple actions on tumor pathophysiology including modulation of cell-extracellular matrix interactions, which likely involve syndecan-4. PMID: 25099234
- Versican processing by ADAMTS5 and ADAMTS15 contribute to muscle fiber formation. PMID: 23233679
- ADAMTS-15 but not ADAMTS-1 expression was downregulated by androgen in LNCaP prostate cancer cells, possibly through androgen response elements associated with the gene PMID: 20590445
- ADAMTS8 and ADAMTS15 have emerged as novel predictors of survival in patients with breast carcinoma PMID: 16152618
- ADAMTS15 may be target of inactivating mutations in human cancer. PMID: 19458070
顯示更多
收起更多
-
亞細胞定位:Secreted, extracellular space, extracellular matrix. Cell surface.
-
組織特異性:Expressed in fetal liver and kidney, but not in any of the adult tissues examined.
-
數據庫鏈接:
Most popular with customers
-
-
YWHAB Recombinant Monoclonal Antibody
Applications: ELISA, WB, IHC, IF, FC
Species Reactivity: Human, Mouse, Rat
-
Phospho-YAP1 (S127) Recombinant Monoclonal Antibody
Applications: ELISA, WB, IHC
Species Reactivity: Human
-
-
-
-
-















