ADAMDEC1 Antibody
-
中文名稱:ADAMDEC1兔多克隆抗體
-
貨號:CSB-PA049233
-
規格:¥1100
-
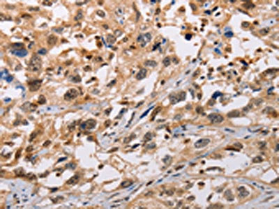
圖片:
-
The image on the left is immunohistochemistry of paraffin-embedded Human esophagus cancer tissue using CSB-PA049233(ADAMDEC1 Antibody) at dilution 1/20, on the right is treated with fusion protein. (Original magnification: ×200)
-
The image on the left is immunohistochemistry of paraffin-embedded Human thyroid cancer tissue using CSB-PA049233(ADAMDEC1 Antibody) at dilution 1/20, on the right is treated with fusion protein. (Original magnification: ×200)
-
-
其他:
產品詳情
-
Uniprot No.:
-
基因名:ADAMDEC1
-
別名:A disintegrin and metalloproteinase domain like protein decysin 1 antibody; A disintegrin and metalloproteinase domain-like protein decysin-1 antibody; ADAM DEC1 antibody; ADAM like decysin 1 antibody; ADAM like protein decysin 1 antibody; ADAM-like protein decysin-1 antibody; ADAMDEC 1 antibody; Adamdec1 antibody; ADEC1_HUMAN antibody; Decysin antibody; Disintegrin protease antibody; M12.219 antibody
-
宿主:Rabbit
-
反應種屬:Human
-
免疫原:Fusion protein of Human ADAMDEC1
-
免疫原種屬:Homo sapiens (Human)
-
標記方式:Non-conjugated
-
抗體亞型:IgG
-
純化方式:Antigen affinity purification
-
濃度:It differs from different batches. Please contact us to confirm it.
-
保存緩沖液:-20°C, pH7.4 PBS, 0.05% NaN3, 40% Glycerol
-
產品提供形式:Liquid
-
應用范圍:ELISA,IHC
-
推薦稀釋比:
Application Recommended Dilution ELISA 1:2000-1:5000 IHC 1:25-1:100 -
Protocols:
-
儲存條件:Upon receipt, store at -20°C or -80°C. Avoid repeated freeze.
-
貨期:Basically, we can dispatch the products out in 1-3 working days after receiving your orders. Delivery time maybe differs from different purchasing way or location, please kindly consult your local distributors for specific delivery time.
-
用途:For Research Use Only. Not for use in diagnostic or therapeutic procedures.
相關產品
靶點詳情
-
功能:May play an important role in the control of the immune response and during pregnancy.
-
基因功能參考文獻:
- Data suggest that activated platelets release ADAMDEC1, which hydrolyzes pro-EGF (epidermal growth factor) to soluble, active HMW-EGF; proteolytic cleavage of pro-EGF first occurs at the C-terminal arginyl residue of the EGF domain; proteolysis is the regulated, rate-limiting step in generating soluble EGF from activated platelets. PMID: 28455445
- We hypothesize that these unique features of ADAMDEC1 may have evolved to escape from inhibition by endogenous metalloprotease inhibitors PMID: 25564618
- ADAMDEC1 functions as an active metalloprotease. PMID: 23754285
- molecular evolution by duplication in a metalloprotease gene cluster on chromosome 8p12 PMID: 12037602
- The ADAMDEC 1 haplotype may indicate an underlying mechanism for high FVIII levels in venous thromboembolism. PMID: 18449420
- Gene expression profiling performed on tissues obtained from pulmonary sarcoidosis patients identified ADAMDEC1 as a potential pathogenic mediator of lung damage and/or remodeling and may serve as a marker for this disease. PMID: 19218196
顯示更多
收起更多
-
亞細胞定位:Secreted.
-
組織特異性:Expressed highly in the small intestine and appendix, moderately in lymph node, mucosal lining of the colon, thymus, spleen and very weakly in the bone marrow. Predominantly expressed in dendritic cells (DC) of the germinal center. Weakly expressed in mon
-
數據庫鏈接:
Most popular with customers
-
-
YWHAB Recombinant Monoclonal Antibody
Applications: ELISA, WB, IHC, IF, FC
Species Reactivity: Human, Mouse, Rat
-
-
-
-
-
-
VDAC1 Recombinant Monoclonal Antibody
Applications: ELISA, WB, IHC
Species Reactivity: Human, Mouse, Rat















