ADAM29 Antibody
-
中文名稱:ADAM29兔多克隆抗體
-
貨號:CSB-PA891722LA01HU
-
規格:¥440
-
圖片:
-
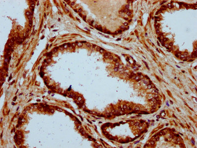
IHC image of CSB-PA891722LA01HU diluted at 1:500 and staining in paraffin-embedded human prostate cancer performed on a Leica BondTM system. After dewaxing and hydration, antigen retrieval was mediated by high pressure in a citrate buffer (pH 6.0). Section was blocked with 10% normal goat serum 30min at RT. Then primary antibody (1% BSA) was incubated at 4°C overnight. The primary is detected by a biotinylated secondary antibody and visualized using an HRP conjugated SP system.
-
Immunofluorescence staining of Hela cells with CSB-PA891722LA01HU at 1:166, counter-stained with DAPI. The cells were fixed in 4% formaldehyde, permeabilized using 0.2% Triton X-100 and blocked in 10% normal Goat Serum. The cells were then incubated with the antibody overnight at 4°C. The secondary antibody was Alexa Fluor 488-congugated AffiniPure Goat Anti-Rabbit IgG(H+L).
-
-
其他:
產品詳情
-
產品名稱:Rabbit anti-Homo sapiens (Human) ADAM29 Polyclonal antibody
-
Uniprot No.:
-
基因名:ADAM29
-
別名:A disintegrin and metalloproteinase domain 29 antibody; ADA29_HUMAN antibody; ADAM 29 antibody; ADAM metallopeptidase domain 29 antibody; ADAM29 antibody; Cancer/testis antigen 73 antibody; CT73 antibody; Disintegrin and metalloproteinase domain-containing protein 29 antibody; Metallaproteinase disintegrin (ADAM29) antibody; svph1 antibody
-
宿主:Rabbit
-
反應種屬:Human
-
免疫原:Recombinant Human Disintegrin and metalloproteinase domain-containing protein 29 protein (701-820AA)
-
免疫原種屬:Homo sapiens (Human)
-
標記方式:Non-conjugated
本頁面中的產品,ADAM29 Antibody (CSB-PA891722LA01HU),的標記方式是Non-conjugated。對于ADAM29 Antibody,我們還提供其他標記。見下表:
-
克隆類型:Polyclonal
-
抗體亞型:IgG
-
純化方式:>95%, Protein G purified
-
濃度:It differs from different batches. Please contact us to confirm it.
-
保存緩沖液:Preservative: 0.03% Proclin 300
Constituents: 50% Glycerol, 0.01M PBS, pH 7.4 -
產品提供形式:Liquid
-
應用范圍:ELISA, IHC, IF
-
推薦稀釋比:
Application Recommended Dilution IHC 1:500-1:1000 IF 1:50-1:200 -
Protocols:
-
儲存條件:Upon receipt, store at -20°C or -80°C. Avoid repeated freeze.
-
貨期:Basically, we can dispatch the products out in 1-3 working days after receiving your orders. Delivery time maybe differs from different purchasing way or location, please kindly consult your local distributors for specific delivery time.
-
用途:For Research Use Only. Not for use in diagnostic or therapeutic procedures.
相關產品
靶點詳情
-
功能:May be involved in spermatogenesis and fertilization. Seems to be a non catalytic metalloprotease-like protein.
-
基因功能參考文獻:
- Increased transcript expression of ADAM29 was observed in breast cancer tissues compared to normal ones. The expression of ADAM29 and its mutations in different domains significantly influenced proliferation, migration and invasion of breast cancer cells in vitro. PMID: 26977022
- PCMC expression of ADAM29, FLRT2, and SLC18A3 could be assessed as part of a routine screen to help identify individuals at risk of severe Obstructive sleep apnea in Asian populations PMID: 24732660
- mutated ADAM27 and ADAM7 genes could play a role in melanoma progression. PMID: 21618342
- quantification of LPL and ADAM29 gene expression is a strong prognostic indicator in CLL, providing better prognostic assessment than ZAP-70 in advanced stages of the disease PMID: 15802535
- Results support the use of LPL and ADAM29 gene expression associated to IGHV mutational status for predicting the clinical outcome of patients treated by oral fludarabine + cyclophosphamide and could be considered for treatment strategies. PMID: 19340428
顯示更多
收起更多
-
相關疾病:Has been found to be frequently mutated in melanoma. ADAM7 mutations may play a role in melanoma progression and metastasis.
-
亞細胞定位:Membrane; Single-pass type I membrane protein.
-
組織特異性:Expressed specifically in testes.
-
數據庫鏈接:
Most popular with customers
-
-
YWHAB Recombinant Monoclonal Antibody
Applications: ELISA, WB, IHC, IF, FC
Species Reactivity: Human, Mouse, Rat
-
Phospho-YAP1 (S127) Recombinant Monoclonal Antibody
Applications: ELISA, WB, IHC
Species Reactivity: Human
-
-
-
-
-















