ADAM28 Antibody
-
中文名稱:ADAM28兔多克隆抗體
-
貨號:CSB-PA119733
-
規格:¥1100
-
圖片:
-
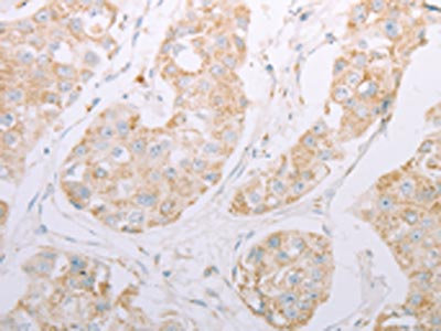
The image on the left is immunohistochemistry of paraffin-embedded Human breast cancer tissue using CSB-PA119733(ADAM28 Antibody) at dilution 1/30, on the right is treated with synthetic peptide. (Original magnification: ×200)
-
The image on the left is immunohistochemistry of paraffin-embedded Human colon cancer tissue using CSB-PA119733(ADAM28 Antibody) at dilution 1/30, on the right is treated with synthetic peptide. (Original magnification: ×200)
-
-
其他:
產品詳情
-
Uniprot No.:
-
基因名:ADAM28
-
別名:ADAM28 antibody; ADAM23 antibody; MDCLDisintegrin and metalloproteinase domain-containing protein 28 antibody; ADAM 28 antibody; EC 3.4.24.- antibody; Epididymal metalloproteinase-like antibody; disintegrin-like antibody; and cysteine-rich protein II antibody; eMDC II antibody; Metalloproteinase-like antibody; disintegrin-like antibody; and cysteine-rich protein L antibody; MDC-L antibody
-
宿主:Rabbit
-
反應種屬:Human
-
免疫原:Synthetic peptide of Human ADAM28
-
免疫原種屬:Homo sapiens (Human)
-
標記方式:Non-conjugated
-
抗體亞型:IgG
-
純化方式:Antigen affinity purification
-
濃度:It differs from different batches. Please contact us to confirm it.
-
保存緩沖液:-20°C, pH7.4 PBS, 0.05% NaN3, 40% Glycerol
-
產品提供形式:Liquid
-
應用范圍:ELISA,IHC
-
推薦稀釋比:
Application Recommended Dilution ELISA 1:2000-1:5000 IHC 1:25-1:100 -
Protocols:
-
儲存條件:Upon receipt, store at -20°C or -80°C. Avoid repeated freeze.
-
貨期:Basically, we can dispatch the products out in 1-3 working days after receiving your orders. Delivery time maybe differs from different purchasing way or location, please kindly consult your local distributors for specific delivery time.
-
用途:For Research Use Only. Not for use in diagnostic or therapeutic procedures.
相關產品
靶點詳情
-
功能:May play a role in the adhesive and proteolytic events that occur during lymphocyte emigration or may function in ectodomain shedding of lymphocyte surface target proteins, such as FASL and CD40L. May be involved in sperm maturation.
-
基因功能參考文獻:
- Within placental villi, ADAM28 mRNA levels were highest in HLA-G(+) column trophoblasts, and consistent with this, ADAM28 was preferentially localized to HLA-G(+) trophoblasts within distal anchoring columns and decidual tissue. PMID: 28623976
- There is a relationship between the serum level of ADAM28 and the degree of the colonic cancer clinical stage. PMID: 29254295
- miR-552 is an oncomir able to promote CRC metastasis in part through a mechanism of targeting ADAM28. PMID: 27661126
- The data demonstrate that ADAM28 is expressed by epithelial cells of several normal organs, and suggest that ADAM28 plays a role in cell survival by suppression of C1q-induced cytotoxicity in bronchial epithelial cells. PMID: 26918856
- ADAM28 is overexpressed in primary human prostate tumor biopsies, and it promotes human prostate cancer cell proliferation and migration. PMID: 27749584
- The results of this study suggest that these proteins play important roles in pulmonary inflammatory reactions elicited against etiological viral agents. PMID: 25453333
- Src is an inducer of ADAM28 gene expression through the MEK/extracellular signal-regulated kinase and PI3K/mammalian target of rapamycin pathways. PMID: 24007880
- IL-1beta-induced MMP-13 expression and changes in cell proliferation and apoptosis in alpha7(+)hSMSC-OB cells are regulated by ADAM-28. PMID: 24613731
- Sequence analysis of ADAM28 genes did not reveal any putative mutations for hyperostosis cranialis interna to chromosome 8p21 PMID: 23640157
- The change of ADAM28 and IGFBP-3 gene expression is present in the normal tissue in overweight/obese patients with colorectal cancer only, and the observed variability of ADAM28 and IGFBP-3 expression may be an initial process of cancer proliferation PMID: 23527725
- High ADAM28 expression is associated with B-Cell Chronic Lymphocytic Leukemia. PMID: 23643150
- Human ADAM28 expression levels were positively correlated with parameters of the metabolic syndrome. PMID: 23010875
- ADAM28 cleaves and inactivates proapoptotic VWF in carcinoma cells and enhances lung metastasis probably by promoting carcinoma cell survival within the blood vessels. PMID: 22636800
- Study shows using proteomics that ADAM28 may be used as a possible biomarker of bladder cancer. PMID: 21913264
- ADAM28 showed significant differences compared with normal individuals, so it may be a biomarker of bladder cancer. PMID: 21782798
- ADAM28 might actively participate in manipulating the proliferation, differentiation, and apoptosis of human dental pulp stem cells (HDPSCs). PMID: 21329817
- It plays a role in cancer cell proliferation, invasion and metastasis. (review) PMID: 21077327
- These data provide the first evidence that CTGF is a novel substrate of ADAM28 and suggest that ADAM28 may promote VEGF(165)-induced angiogenesis in the breast carcinomas by the CTGF digestion in the CTGF/VEGF(165) complex. PMID: 20971063
- High ADAM28 in serum is associated with non-small-cell lung cancers. PMID: 20112342
- Upregulation of ADAM28 is associated with asbestos-related lung adenocarcinomas. PMID: 20544843
- was able to effectively manipulate the proliferation, apoptosis, and differentiation of human periodontal ligament stem cells PMID: 20450360
- overexpression of A disintegrin and metalloproteinase 28 was increased according to its histologic grade in conventional chondrosarcoma and could be one of the helpful tools in distinguishing between low-grade chondrosarcoma and enchondroma. PMID: 19896699
- ADAM8, ADAM15, and ADAM28, but not ADAM17, catalyzed ectodomain shedding of CD23, the low affinity IgE receptor. PMID: 12777399
- data demonstrate for the first time that ADAM28 is overexpressed and activated in human non-small cell lung carcinomas, and suggest the possibility that ADAM28 plays a role in cell proliferation and progression of the human lung carcinomas PMID: 16052521
- ADAM28 is overexpressed in an activated form in breast carcinoma cells and suggest ADAM28 is involved in cell proliferation through enhanced bioavailability of IGF-I released from the IGF-I/IGFBP-3 complex by IGFBP-3 cleavage in breast carcinomas. PMID: 17047053
- ADAM28s promotes PSGL-1/P-selectin-mediated leukocyte rolling adhesion to endothelial cells and subsequent infiltration into tissue spaces through interaction with PSGL-1 PMID: 17597069
- Report essential role of ADAM28 in regulating the proliferation and differentiation of human dental papilla mesenchymal cells. PMID: 18690470
- These results indicate that ADAM28 participates in proteoglycan degradation. PMID: 19527685
顯示更多
收起更多
-
亞細胞定位:[Isoform 1]: Cell membrane; Single-pass type I membrane protein.; [Isoform 2]: Secreted.
-
組織特異性:Expressed predominantly in secondary lymphoid tissues, such as lymph node, spleen, small intestine, stomach, colon, appendix and trachea. The lymphocyte population is responsible for expression of this protein in these tissues. Isoform 2 is expressed pref
-
數據庫鏈接:
Most popular with customers
-
-
YWHAB Recombinant Monoclonal Antibody
Applications: ELISA, WB, IHC, IF, FC
Species Reactivity: Human, Mouse, Rat
-
Phospho-YAP1 (S127) Recombinant Monoclonal Antibody
Applications: ELISA, WB, IHC
Species Reactivity: Human
-
-
-
-
-















