ADAM17 Antibody
-
中文名稱:ADAM17兔多克隆抗體
-
貨號:CSB-PA261035
-
規格:¥1100
-
圖片:
-
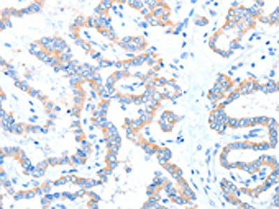
The image on the left is immunohistochemistry of paraffin-embedded Human thyroid cancer tissue using CSB-PA261035(ADAM17 Antibody) at dilution 1/15, on the right is treated with fusion protein. (Original magnification: ×200)
-
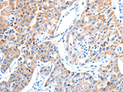
The image on the left is immunohistochemistry of paraffin-embedded Human lung cancer tissue using CSB-PA261035(ADAM17 Antibody) at dilution 1/15, on the right is treated with fusion protein. (Original magnification: ×200)
-
-
其他:
產品詳情
-
Uniprot No.:
-
基因名:
-
別名:ADAM17; CSVP; TACE; Disintegrin and metalloproteinase domain-containing protein 17; ADAM 17; Snake venom-like protease; TNF-alpha convertase; TNF-alpha-converting enzyme; CD antigen CD156b
-
宿主:Rabbit
-
反應種屬:Human,Mouse,Rat
-
免疫原:Fusion protein of Human ADAM17
-
免疫原種屬:Homo sapiens (Human)
-
標記方式:Non-conjugated
-
抗體亞型:IgG
-
純化方式:Antigen affinity purification
-
濃度:It differs from different batches. Please contact us to confirm it.
-
保存緩沖液:-20°C, pH7.4 PBS, 0.05% NaN3, 40% Glycerol
-
產品提供形式:Liquid
-
應用范圍:ELISA,IHC
-
推薦稀釋比:
Application Recommended Dilution ELISA 1:1000-1:2000 IHC 1:15-1:50 -
Protocols:
-
儲存條件:Upon receipt, store at -20°C or -80°C. Avoid repeated freeze.
-
貨期:Basically, we can dispatch the products out in 1-3 working days after receiving your orders. Delivery time maybe differs from different purchasing way or location, please kindly consult your local distributors for specific delivery time.
-
用途:For Research Use Only. Not for use in diagnostic or therapeutic procedures.
相關產品
靶點詳情
-
功能:Cleaves the membrane-bound precursor of TNF-alpha to its mature soluble form. Responsible for the proteolytical release of soluble JAM3 from endothelial cells surface. Responsible for the proteolytic release of several other cell-surface proteins, including p75 TNF-receptor, interleukin 1 receptor type II, p55 TNF-receptor, transforming growth factor-alpha, L-selectin, growth hormone receptor, MUC1 and the amyloid precursor protein. Acts as an activator of Notch pathway by mediating cleavage of Notch, generating the membrane-associated intermediate fragment called Notch extracellular truncation (NEXT). Plays a role in the proteolytic processing of ACE2. Plays a role in hemostasis through shedding of GP1BA, the platelet glycoprotein Ib alpha chain. Mediates the proteolytic cleavage of LAG3, leading to release the secreted form of LAG3. Mediates the proteolytic cleavage of IL6R, leading to the release of secreted form of IL6R.
-
基因功能參考文獻:
- High ADAM17 expression is associated with cystic fibrosis. PMID: 29351448
- These findings link iNOS to Notch1 signaling in CD24(+)CD133(+) LCSCs through the activation of TACE/ADAM17. PMID: 30297396
- ADAM17 activation and secretion in the myeloid cells during HIV infection. PMID: 29331674
- A novel ADAM17 inhibitor ZLDI-8 may be a potential chemosensitizer which sensitized CRC cells to 5-fluorouracil or irinotecan by reversing Notch and EMT pathways. PMID: 30069943
- The isolated membrane proximal domain (MPD) of ADAM17 binds to phosphatidylserine (PS) but not to phosphatidylcholine liposomes. A cationic PS-binding motif is identified in this domain, replacement of which abrogates liposome-binding and renders the protease incapable of cleaving its substrates in cells. PMID: 27161080
- ADAM-17 in inflammatory myopathy was significantly higher than that in healthy control. ADAM-17 in post-treatment with corticosteroid and/or immunosuppressant serum was significantly decreased compared with that in pre-treatment serum. PMID: 29411180
- The present research suggests that ADAM17shRNA can inhibit MCF7 cell invasion and proliferation in vitro and inhibit MCF7 xenograft growth in vivo through the EGFR/PI3K/AKT and EGFR/MEK/ERK signaling pathways. PMID: 29393483
- Uev1A-Ubc13 complex catalyzes lysine63-linked ubiquitination of RHBDF2 to promote TACE maturation. PMID: 29069608
- ADAM17 plays a role in chronic kidney disease-mineral and bone disorder. PMID: 29056164
- Insulin-like growth factor-1 activates different catalytic subunits p110 of PI3K in a cell-type-dependent manner to induce lipogenesis-dependent epithelial-mesenchymal transition through the regulation of ADAM10 and ADAM17. PMID: 28819788
- ADAM17 is the main sheddase for the generation of human triggering receptor expressed in myeloid cells (hTREM2) ectodomain and cleaves TREM2 after Histidine 157. Findings reveal a link between shedding of TREM2 and its regulation during inflammatory conditions or chronic neurodegenerative disease in which activity or expression of sheddases might be altered. PMID: 28923481
- Oxidative stress is correlated with hyperactivation of the ADAM17/Notch signaling pathway and a consequent increase in fibrosis in patients with endometriosis. PMID: 28486700
- Plasma levels of ADAM17 are increased in Tanzanian children hospitalized with a malaria infection compared with asymptomatic children but similar to children hospitalized with other infectious diseases. The plasma levels of ADAM17 decreased during recovery after an acute malaria episode. PMID: 27784899
- Data found that ADAM17 is constitutively internalized by clathrin-coated pits and that physiological stimulators such as GPCR ligands induce ADAM17-mediated shedding, but do not alter the cell-surface abundance of the protease. Also, physiological activation of ADAM17 does not rely on its relocalisation, but that PMA-induced PKC activity drastically dysregulates the localisation of ADAM17. PMID: 27731361
- Cullin 3 regulates ADAM17-mediated ectodomain shedding of AREG. PMID: 29550478
- ADAM17 may be a key enzyme that regulates the generation of TNF-alpha in oral keratinocytes. PMID: 28637950
- therapies against ADAM10 and ADAM17 may promote cancer stem cell migration away from the tumourigenic niche resulting in a differentiated phenotype that is more susceptible to treatment. PMID: 27541285
- ADAM10 and ADAM17 are the best characterized members of the ADAM (A Disintegrin and Metalloproteinase) - family of transmembrane proteases. Both are involved diverse physiological and pathophysiological processes.For ADAM17 phosphatidylserine exposure is required to then induce its shedding function. PMID: 28624437
- In the present study, the authors show that deletion of a triple serine (3S) motif (Ser-359 to Ser-361) adjacent to the cleavage site is sufficient to prevent IL-6R cleavage by ADAM17, but not ADAM10. We find that the impaired shedding is caused by the reduced distance between the cleavage site and the plasma membrane. PMID: 27151651
- ADAM17 is a Western diet-inducible enzyme activated by CXCL12-CXCR4 signaling, suggesting the pathway: Western diet-->CXCL12-->CXCR4-->ADAM17-->TGFalpha-->EGFR. ADAM17 might serve as a druggable target in chemoprevention strategies PMID: 27489286
- The regulation of the shedding activity of ADAM17 is multilayered and different regions of the protease are involved. Intriguingly, its extracellular domains play crucial roles in different regulatory mechanisms. We will discuss the role of these domains in the control of ADAM17 activity. PMID: 28571693
- We show ADAM17 expression in human dopaminergic neurons derived from induced pluripotent stem cells and we discuss how this state-of-the-art technology can be further exploited to study the function of this important protease in the brain and other tissues. PMID: 28705384
- High ADAM17 expression is associated with radioresistance in liver cancer. PMID: 26993601
- inhibition of autophagy led to the decrease in stemness, restoration of mitochondrial proteins and reduced expression of CD44, ABCB1 and ADAM17 PMID: 29171106
- FoxM1 regulates the expression of ADAM-17, which is upregulated in gastric carcinoma. PMID: 29180185
- Glypican-1 was validated as a novel substrate for ADAM17, with important function in adhesion, proliferation and migration of carcinoma cells. PMID: 27576135
- the chaperone 78-kDa glucose-regulated protein (GRP78) protects the MPD against PDI-dependent disulfide-bond isomerization by binding to this domain and, thereby, preventing ADAM17 inhibition. PMID: 28949004
- The ADAM17 messenger RNA (mRNA) and protein levels were significantly higher in the inferior turbinate than in nasal polyps (p < 0.05). The ADAM10 mRNA and protein levels did not differ significantly between NPs and inferior turbinates (p > 0.05). ADAM10 and ADAM17 were expressed primarily in inflammatory cells, submucosal glandular cells, and lining epithelial cells. PMID: 27012683
- The iRhom2 N-terminus stabilizes mature ADAM17 at the cell surface where it cleaves TNF and EGFR in inflammatory and innate immune responses. (Review) PMID: 28815577
- inhibition of ADAM17 enhanced the purity of expanded NK cells and the antibody-dependent cellular cytotoxicity activity of these cells against trastuzumab treated breast cancer cell lines. PMID: 28982863
- hypoxia instigates the RSK1-dependent C/EBPbeta signaling pathway, which in turn initiates binding of C/EBPbeta to the ADAM 17 promoter and ultimately induces ADAM 17 expression in human lung fibroblasts. PMID: 28646679
- TNF-alpha-converting enzyme -mediated cleavage of soluble RANKL from activated lymphocytes, especially B cells, can promote osteoclastogenesis in periodontitis. PMID: 27815441
- Cell stimulation can downregulate expression of mature ADAM17 from the cell surface and induce release of exosomal ADAM17, which can then distribute and contribute to substrate shedding on more distant cells. PMID: 27599715
- Aging and obesity cooperatively reduce caveolin-1 expression and increase vascular endothelial ADAM17 activity and soluble TNF release in adipose tissue, which may contribute to the development of remote coronary microvascular dysfunction in older obese patients. PMID: 28473444
- Our data demonstrated that elevated serum Semaphorin5A (Sema5A) in SLE patients correlated with disease activity and are involved in kidney and blood system damage; ADAM17 might be involved in the release of secreted Sema5A. PMID: 28063160
- ADAM17 and ADAM10 cleave Nectin-4 and release soluble Nectin-4 (sN4). PMID: 28232483
- ADAM17 promotes epithelial-mesenchymal transition via the TGF-beta/Smad pathway. the present study demonstrates that ADAM17 plays a critical role in the development of gastric cancer and provides a potential therapeutic target for gastric cancer. PMID: 27779657
- FHL2 interacts with ADAM-17 in normal, dysplastic and malignant colon epithelial cells. Colocalisation of these proteins is more frequent in malignant than in normal and dysplastic cells, suggesting a role for ADAM-17/FHL2 complex in the development of colorectal cancer. PMID: 28349819
- The present study suggests that ADAM17-siRNA inhibits MCF-7 breast cancer and is activated through the EGFR-PI3K-AKT signaling pathway PMID: 27221510
- Data show that mononuclear leukocytes (PBMC) AXL receptor tyrosine kinase (Axl) is rescued by combined matrix metalloproteases ADAM10 and TACE (ADAM17) inhibition. PMID: 27237127
- the TLR4/Gal-1 signaling pathway regulates lactate-mediated EMT processes through the activation of ADAM10 and ADAM17 in colon cancer cells. PMID: 27837433
- The HNE-TACE signalling pathway has an important role in the process of MUC5AC overexpression in chronic rhinosinusitis. PMID: 26881964
- The inhibition of cell proliferation and invasion was observed in the ADAM17 knockdown cells, which was associated with modulation of the EGFR signalling pathway. PMID: 27878499
- ADAM17 expression was increased in the sepsis patients with the rs12692386 GA/GG genotypes, accompanied by up-regulation of expression of the ADAM17 substrates (TNF-alpha, IL-6R and CX3CL1) and pro-inflammatory cytokines (IL-1beta and IL-6). PMID: 27607600
- ADAM17 genetic variants were shown to be associated with KD risk, even when excluding the influence of TGF-beta signaling pathway genes, suggesting that ADAM17 is an important KD susceptibility-related genetic locus. PMID: 26833052
- We found that percent body fat was directly associated with TLR4 and TACE expression in skeletal muscle of older adults. PMID: 26988770
- Presented genes, especially ADAM17, MMP9, EphA2, TIMP1, ICAM 11, and CD4, may be used as prognostic markers of advanced stages of colorectal cancer, contributing to the development of new lines of therapy focused on reducing metastasis of the primary tumor. PMID: 27110571
- We also demonstrated that the cell-surface CA IX level dropped during the death progress due to an increased ECD shedding, which required a functional ADAM17. Inhibitors of metalloproteinases reduced CA IX ECD shedding, but not apoptosis. PMID: 26993100
- Case Report: genetic deficiency of ADAM17 altering cytokine secretion and NK cell activity. PMID: 26683521
- lower expression levels in the allergic nasal mucosa PMID: 26250527
顯示更多
收起更多
-
相關疾病:Inflammatory skin and bowel disease, neonatal, 1 (NISBD1)
-
亞細胞定位:Membrane; Single-pass type I membrane protein.
-
組織特異性:Ubiquitously expressed. Expressed at highest levels in adult heart, placenta, skeletal muscle, pancreas, spleen, thymus, prostate, testes, ovary and small intestine, and in fetal brain, lung, liver and kidney.
-
數據庫鏈接:
Most popular with customers
-
-
YWHAB Recombinant Monoclonal Antibody
Applications: ELISA, WB, IHC, IF, FC
Species Reactivity: Human, Mouse, Rat
-
Phospho-YAP1 (S127) Recombinant Monoclonal Antibody
Applications: ELISA, WB, IHC
Species Reactivity: Human
-
-
-
-
-















