ACVR1C Antibody
-
中文名稱:ACVR1C兔多克隆抗體
-
貨號:CSB-PA961708
-
規格:¥1100
-
圖片:
-
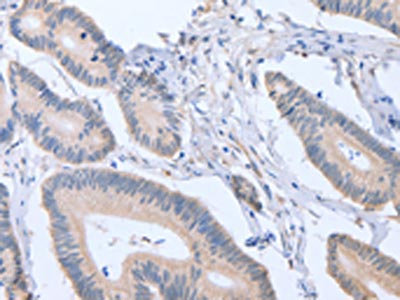
The image on the left is immunohistochemistry of paraffin-embedded Human colon cancer tissue using CSB-PA961708(ACVR1C Antibody) at dilution 1/15, on the right is treated with fusion protein. (Original magnification: ×200)
-
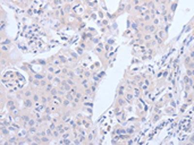
The image on the left is immunohistochemistry of paraffin-embedded Human lung cancer tissue using CSB-PA961708(ACVR1C Antibody) at dilution 1/15, on the right is treated with fusion protein. (Original magnification: ×200)
-
-
其他:
產品詳情
-
Uniprot No.:
-
基因名:
-
別名:Activin A receptor; type IC antibody; Activin receptor like kinase 7 antibody; Activin receptor type 1C precursor antibody; Activin receptor type IC antibody; Activin receptor type-1C antibody; Activin receptor-like kinase 7 antibody; ACTR IC antibody; ACTR-IC antibody; ACTRIC antibody; ACV1C_HUMAN antibody; Acvr1c antibody; ACVRLK7 antibody; ALK 7 antibody; ALK-7 antibody; ALK7 antibody
-
宿主:Rabbit
-
反應種屬:Human,Mouse,Rat
-
免疫原:Fusion protein of Human ACVR1C
-
免疫原種屬:Homo sapiens (Human)
-
標記方式:Non-conjugated
-
抗體亞型:IgG
-
純化方式:Antigen affinity purification
-
濃度:It differs from different batches. Please contact us to confirm it.
-
保存緩沖液:-20°C, pH7.4 PBS, 0.05% NaN3, 40% Glycerol
-
產品提供形式:Liquid
-
應用范圍:ELISA,IHC
-
推薦稀釋比:
Application Recommended Dilution ELISA 1:1000-1:2000 IHC 1:15-1:50 -
Protocols:
-
儲存條件:Upon receipt, store at -20°C or -80°C. Avoid repeated freeze.
-
貨期:Basically, we can dispatch the products out in 1-3 working days after receiving your orders. Delivery time maybe differs from different purchasing way or location, please kindly consult your local distributors for specific delivery time.
-
用途:For Research Use Only. Not for use in diagnostic or therapeutic procedures.
相關產品
靶點詳情
-
功能:Serine/threonine protein kinase which forms a receptor complex on ligand binding. The receptor complex consisting of 2 type II and 2 type I transmembrane serine/threonine kinases. Type II receptors phosphorylate and activate type I receptors which autophosphorylate, then bind and activate SMAD transcriptional regulators, SMAD2 and SMAD3. Receptor for activin AB, activin B and NODAL. Plays a role in cell differentiation, growth arrest and apoptosis.
-
基因功能參考文獻:
- reduced expression in sensitive skin; plays crucial roles in the pathogenesis of sensitive skin PMID: 26836979
- Loss of ALK7 expression are associated with invasion, metastasis of the pancreatic ductal adenocarcinoma. PMID: 26406402
- Alk7 is expressed in male germ cells and Sertoli cells. PMID: 26289399
- ACVR 1C is a tumor suppressor, and lowered ACVR 1C expression is an important marker for the metastasis, invasion, and prognosis of gallbladder cancer. PMID: 23793810
- Our findings suggested that the ALK7 gene polymorphism rs13010956 was significantly associated with metabolic syndrome risk in females and may be involved in cardiovascular remodeling in metabolic syndrome patients. PMID: 23765385
- reduction or lack of ALK7 expression may account for the loss of its ligand sensitivity of breast cancer cells, thereby leading to breast tumor progression. PMID: 22086737
- These findings suggest that the Nodal/ALK7 pathway plays important roles in human placentation and that its abnormal signaling may contribute to the development of preeclampsia. PMID: 21356369
- cDNA cloning, expression studies and chromosome mapping PMID: 12063393
- ALK7 and its isoforms are expressed in human placentae of different stages of pregnancy and that their expression is developmentally regulated PMID: 12606401
- ALK7 induces apoptosis through activation of the traditional TGF-beta pathway components PMID: 15107418
- the Nodal-ALK7 pathway inhibits cell proliferation by inducing G(1) cell cycle arrest PMID: 15150278
- AB and activin B and is responsible for activin-mediated secretion of insulin from pancreatic beta cell line, MIN6. PMID: 15196700
- ALK7-induced apoptosis is at least in part through two Smad-dependent pathways, Bax/Bcl-2 and Xiap. PMID: 16603637
- GDF3 regulates adipose-tissue homeostasis and energy balance under nutrient overload in part by signaling through the ALK7 receptor PMID: 18480259
- The antiproliferative effect of Nodal/ALK7 on ovarian cancer cells is in part mediated by cyclin G2. PMID: 18784254
- One of the direct target genes in the ALK7 signaling pathway is the insulin gene in pancreatic beta-cells, and that PDX-1 is directly involved in this pathway through interaction with Smad2 and Smad3. PMID: 18951876
- Microarray analysis showed that adipose tissue expressed activin type I and II receptors and that the expression of activin receptor-like kinase 7 was adipose tissue specific. PMID: 19275893
顯示更多
收起更多
-
亞細胞定位:Membrane; Single-pass type I membrane protein.
-
蛋白家族:Protein kinase superfamily, TKL Ser/Thr protein kinase family, TGFB receptor subfamily
-
組織特異性:Present in pancreas, heart, colon, small intestine, ovary and the hippocampus, medulla oblongata and putamen of the brain. Isoform 1, isoform 2, isoform 3 and isoform 4 are all expressed in the placenta throughout pregnancy.
-
數據庫鏈接:
Most popular with customers
-
-
YWHAB Recombinant Monoclonal Antibody
Applications: ELISA, WB, IHC, IF, FC
Species Reactivity: Human, Mouse, Rat
-
Phospho-YAP1 (S127) Recombinant Monoclonal Antibody
Applications: ELISA, WB, IHC
Species Reactivity: Human
-
-
-
-
-















