ACSBG2 Antibody
-
中文名稱:ACSBG2兔多克隆抗體
-
貨號:CSB-PA732422
-
規格:¥1100
-
圖片:
-
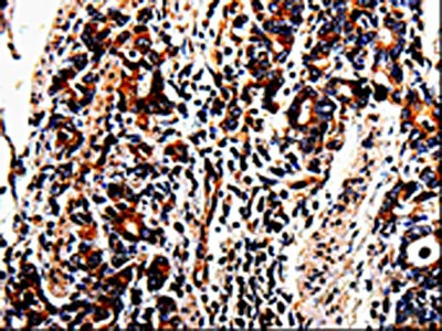
The image on the left is immunohistochemistry of paraffin-embedded Human stomach cancer tissue using CSB-PA732422(ACSBG2 Antibody) at dilution 1/60, on the right is treated with fusion protein. (Original magnification: ×200)
-
The image on the left is immunohistochemistry of paraffin-embedded Human lung cancer tissue using CSB-PA732422(ACSBG2 Antibody) at dilution 1/60, on the right is treated with fusion protein. (Original magnification: ×200)
-
-
其他:
產品詳情
-
Uniprot No.:
-
基因名:
-
別名:ACSBG2 antibody; BGR antibody; UNQ2443/PRO5005Long-chain-fatty-acid--CoA ligase ACSBG2 antibody; EC 6.2.1.3 antibody; Acyl-CoA synthetase bubblegum family member 2 antibody; Arachidonate--CoA ligase ACSBG2 antibody; EC 6.2.1.15 antibody; Bubblegum-related protein antibody; PRTD-NY3 antibody
-
宿主:Rabbit
-
反應種屬:Human
-
免疫原:Fusion protein of Human ACSBG2
-
免疫原種屬:Homo sapiens (Human)
-
標記方式:Non-conjugated
-
抗體亞型:IgG
-
純化方式:Antigen affinity purification
-
濃度:It differs from different batches. Please contact us to confirm it.
-
保存緩沖液:-20°C, pH7.4 PBS, 0.05% NaN3, 40% Glycerol
-
產品提供形式:Liquid
-
應用范圍:ELISA,IHC
-
推薦稀釋比:
Application Recommended Dilution ELISA 1:500-1:5000 IHC 1:5-1:20 -
Protocols:
-
儲存條件:Upon receipt, store at -20°C or -80°C. Avoid repeated freeze.
-
貨期:Basically, we can dispatch the products out in 1-3 working days after receiving your orders. Delivery time maybe differs from different purchasing way or location, please kindly consult your local distributors for specific delivery time.
-
用途:For Research Use Only. Not for use in diagnostic or therapeutic procedures.
相關產品
靶點詳情
-
功能:Catalyzes the conversion of fatty acids such as long chain and very long-chain fatty acids to their active form acyl-CoAs for both synthesis of cellular lipids, and degradation via beta-oxidation. Can activate diverse saturated, monosaturated and polyunsaturated fatty acids. Has increased ability to activate oleic and linoleic acid. May play a role in spermatogenesis.
-
基因功能參考文獻:
- A new gene exhibiting 50-fold difference in expression level between adult and fetal human testes was cloned and named the BGR-like gene. It was exclusively expressed in testes and was a testes-specific isoform of the BGR gene. PMID: 15685348
- The limited tissue expression pattern and limited substrate specificity rule out a likely role for this enzyme in X-linked adrenoleukodystrophy pathology. PMID: 16371355
-
亞細胞定位:Cytoplasm. Membrane; Peripheral membrane protein.
-
蛋白家族:ATP-dependent AMP-binding enzyme family, Bubblegum subfamily
-
組織特異性:Testis-specific.
-
數據庫鏈接:
Most popular with customers
-
-
YWHAB Recombinant Monoclonal Antibody
Applications: ELISA, WB, IHC, IF, FC
Species Reactivity: Human, Mouse, Rat
-
-
-
-
-
-















