ACOT8 Antibody
-
中文名稱:ACOT8兔多克隆抗體
-
貨號:CSB-PA288592
-
規格:¥1100
-
圖片:
-
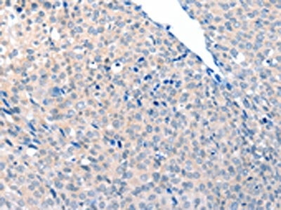
The image on the left is immunohistochemistry of paraffin-embedded Human cervical cancer tissue using CSB-PA288592(ACOT8 Antibody) at dilution 1/20, on the right is treated with fusion protein. (Original magnification: ×200)
-
The image on the left is immunohistochemistry of paraffin-embedded Human thyroid cancer tissue using CSB-PA288592(ACOT8 Antibody) at dilution 1/20, on the right is treated with fusion protein. (Original magnification: ×200)
-
-
其他:
產品詳情
-
Uniprot No.:
-
基因名:ACOT8
-
別名:ACOT8 antibody; ACTEIII antibody; PTE1 antibody; Acyl-coenzyme A thioesterase 8 antibody; Acyl-CoA thioesterase 8 antibody; EC 3.1.2.1 antibody; EC 3.1.2.11 antibody; EC 3.1.2.2 antibody; EC 3.1.2.3 antibody; EC 3.1.2.5 antibody; Choloyl-coenzyme A thioesterase antibody; EC 3.1.2.27 antibody; HIV-Nef-associated acyl-CoA thioesterase antibody; Peroxisomal acyl-CoA thioesterase 2 antibody; PTE-2 antibody; Peroxisomal acyl-coenzyme A thioester hydrolase 1 antibody; PTE-1 antibody; Peroxisomal long-chain acyl-CoA thioesterase 1 antibody; Thioesterase II antibody; hACTE-III antibody; hACTEIII antibody; hTE antibody
-
宿主:Rabbit
-
反應種屬:Human,Mouse,Rat
-
免疫原:Fusion protein of Human ACOT8
-
免疫原種屬:Homo sapiens (Human)
-
標記方式:Non-conjugated
-
抗體亞型:IgG
-
純化方式:Antigen affinity purification
-
濃度:It differs from different batches. Please contact us to confirm it.
-
保存緩沖液:-20°C, pH7.4 PBS, 0.05% NaN3, 40% Glycerol
-
產品提供形式:Liquid
-
應用范圍:ELISA,IHC
-
推薦稀釋比:
Application Recommended Dilution ELISA 1:1000-1:2000 IHC 1:15-1:50 -
Protocols:
-
儲存條件:Upon receipt, store at -20°C or -80°C. Avoid repeated freeze.
-
貨期:Basically, we can dispatch the products out in 1-3 working days after receiving your orders. Delivery time maybe differs from different purchasing way or location, please kindly consult your local distributors for specific delivery time.
-
用途:For Research Use Only. Not for use in diagnostic or therapeutic procedures.
相關產品
靶點詳情
-
功能:Catalyzes the hydrolysis of acyl-CoAs into free fatty acids and coenzyme A (CoASH), regulating their respective intracellular levels. Displays no strong substrate specificity with respect to the carboxylic acid moiety of Acyl-CoAs. Hydrolyzes medium length (C2 to C20) straight-chain, saturated and unsaturated acyl-CoAS but is inactive towards substrates with longer aliphatic chains. Moreover, it catalyzes the hydrolysis of CoA esters of bile acids, such as choloyl-CoA and chenodeoxycholoyl-CoA and competes with bile acid CoA:amino acid N-acyltransferase (BAAT). Is also able to hydrolyze CoA esters of dicarboxylic acids. It is involved in the metabolic regulation of peroxisome proliferation.; (Microbial infection) May mediate Nef-induced down-regulation of CD4 cell-surface expression.
-
基因功能參考文獻:
- In summary, lipolytic enzyme ACOT8 is frequently upregulated in HCC clinical specimens. More importantly, ACOT8 silencing leads to inhibition of cell growth in HCC in vitro. PMID: 24788990
- Acyl-CoA thioesterase 8 is a specific protein related to nodal metastasis and prognosis of lung adenocarcinoma. PMID: 23540296
- ACOT4 and ACOT8 are responsible for the termination of beta-oxidation of dicarboxylic acids of medium-chain length with the concomitant release of the corresponding free acids PMID: 16141203
- SREBP2 modulates brain palmitoyl-coa hydrolase gene transcription. PMID: 16335799
- An isoform of long-chain acyl-CoA hydrolase may be responsible for the nafamostat hydrolysis in human liver cytosol. PMID: 17624024
顯示更多
收起更多
-
亞細胞定位:Peroxisome matrix.
-
蛋白家族:C/M/P thioester hydrolase family
-
組織特異性:Detected in a T-cell line (at protein level). Ubiquitous.
-
數據庫鏈接:
Most popular with customers
-
YWHAB Recombinant Monoclonal Antibody
Applications: ELISA, WB, IHC, IF, FC
Species Reactivity: Human, Mouse, Rat
-
Phospho-YAP1 (S127) Recombinant Monoclonal Antibody
Applications: ELISA, WB, IHC
Species Reactivity: Human
-
-
-
-
-
-















