ACOD1 Antibody
-
中文名稱:ACOD1兔多克隆抗體
-
貨號:CSB-PA011825LA01HU
-
規格:¥440
-
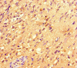
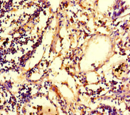
圖片:
-
其他:
產品詳情
-
產品描述:
ACOD1 polyclonal antibody CSB-PA011825LA01HU was produced in the rabbit immunized with the recombinant human Cis-aconitate decarboxylase protein (57-257aa). The target protein ACOD1 is involved in the regulation of the immune response and inflammation. It has also been implicated in various physiological processes, including iron metabolism, cellular respiration, and oxidative stress response.
This rabbit anti-human ACOD1 polyclonal antibody was tested in the ELISA and IHC applications. The non-conjugated IgG got purified by protein G and reached up to 95% in purity. It only reacts with the human ACOD1 protein and may be used to detect the endogenous levels of ACOD1 protein.
-
產品名稱:Rabbit anti-Homo sapiens (Human) ACOD1 Polyclonal antibody
-
Uniprot No.:
-
基因名:ACOD1
-
別名:ACOD1 antibody; Aconitate decarboxylase 1 antibody; Aconitate decarboxylase antibody; CAD antibody; Cis aconitate decarboxylase antibody; Immune responsive gene 1 protein homolog antibody; Immune-responsive gene 1 protein homolog antibody; Immunoresponsive 1 homolog (mouse) antibody; Irg1 antibody; IRG1_HUMAN antibody; OC116 antibody; OPTB1 antibody; TCTIRC7 antibody
-
宿主:Rabbit
-
反應種屬:Human
-
免疫原:Recombinant Human Cis-aconitate decarboxylase protein (57-257AA)
-
免疫原種屬:Homo sapiens (Human)
-
標記方式:Non-conjugated
本頁面中的產品,ACOD1 Antibody (CSB-PA011825LA01HU),的標記方式是Non-conjugated。對于ACOD1 Antibody,我們還提供其他標記。見下表:
-
克隆類型:Polyclonal
-
抗體亞型:IgG
-
純化方式:>95%, Protein G purified
-
濃度:It differs from different batches. Please contact us to confirm it.
-
保存緩沖液:Preservative: 0.03% Proclin 300
Constituents: 50% Glycerol, 0.01M PBS, PH 7.4 -
產品提供形式:Liquid
-
應用范圍:ELISA, IHC
-
推薦稀釋比:
Application Recommended Dilution IHC 1:20-1:200 -
Protocols:
-
儲存條件:Upon receipt, store at -20°C or -80°C. Avoid repeated freeze.
-
貨期:Basically, we can dispatch the products out in 1-3 working days after receiving your orders. Delivery time maybe differs from different purchasing way or location, please kindly consult your local distributors for specific delivery time.
-
用途:For Research Use Only. Not for use in diagnostic or therapeutic procedures.
相關產品
靶點詳情
-
功能:Cis-aconitate decarboxylase that catalyzes production of itaconate and is involved in the inhibition of the inflammatory response. Acts as a negative regulator of the Toll-like receptors (TLRs)-mediated inflammatory innate response by stimulating the tumor necrosis factor alpha-induced protein TNFAIP3 expression via reactive oxygen species (ROS) in LPS-tolerized macrophages. Involved in antimicrobial response of innate immune cells; ACOD1-mediated itaconic acid production contributes to the antimicrobial activity of macrophages. Involved in antiviral response following infection by flavivirus in neurons: ACOD1-mediated itaconate production inhibits the activity of succinate dehydrogenase, generating a metabolic state in neurons that suppresses replication of viral genomes. Plays a role in the embryo implantation.
-
基因功能參考文獻:
- In conclusion, we found that IRG1 promoted MHC I level in macrophages membrane via ROS-STAT1/3-TAP1 pathway. Besides, IRG1 could activate the pentose phosphate pathway to promote production of ROS depending on NADPH oxidases. PMID: 28477473
- findings suggest that polymorphisms in the immunoresponsive gene 1 (IRG1) gene are associated with the immune response to hepatitis B vaccination; observed that IRG1 inhibited the HBV life cycle and that IRG1 rs17385627 allele 'A' was more effective than rs17385627 allele 'T' at eliminating HBV in HepG2.2.15 cell PMID: 28004399
- Respiratory syncytial virus infection induced IRG1 expression in human A549 cells and in the lung tissues of respiratory syncytial virus -infected mice and respiratory syncytial virus infection or IRG1 overexpression promoted reactive oxygen species production. PMID: 27252532
- IRF1 is a transcriptional regulator of IRG1 in human macrophages. PMID: 26872335
- We identified IRF1 as a transcriptional regulator of IRG1 expression in both human and mouse macrophages under inflammatory conditions. PMID: 26872335
- IRG1/CAD associates with mitochondria in human macrophages under inflammatory conditions such as LPS and/or IFNg. PMID: 26872335
- Taken together, the results show that IRG1 is expressed by human monocytes, macrophages and dendritic cells and that it is rapidly induced in both human and murine macrophages under inflammatory conditions such as LPS, TNFa and IFNg. PMID: 26872335
- Findings revealed that IRG1 is a candidate oncogene that is amplified in glioma and is involved in novel mechanisms that influence glioma pathogenesis. PMID: 25216059
- inducible IRG1 promotes endotoxin tolerance by increasing A20 expression through ROS, indicating a new molecular mechanism regulating hypoinflammation of sepsis and endotoxin tolerance. PMID: 23609450
- IRG1 links cellular metabolism with immune defense by catalyzing itaconic acid production PMID: 23610393
- Irg1 gene encodes an enzyme synthesizing itaconic acid from the TCA cycle intermediate cisaconitate. Furthermore, our data also show that IRG1 mediated itaconic acid production contributes to the antimicrobial activity of macrophages. PMID: 23610393
- Results indicated that the IRG1 gene is differentially expressed in human fetal PBMCs and LPS-stimulated adult PBMCs. PMID: 21424586
顯示更多
收起更多
-
亞細胞定位:Mitochondrion.
-
蛋白家族:PrpD family
-
組織特異性:Expressed in LPS-tolerized macrophages (at protein level). Expressed in peripheral blood mononuclear cells (PBMCs), microglia and macrophage cells.
-
數據庫鏈接:
Most popular with customers
-
-
YWHAB Recombinant Monoclonal Antibody
Applications: ELISA, WB, IHC, IF, FC
Species Reactivity: Human, Mouse, Rat
-
Phospho-YAP1 (S127) Recombinant Monoclonal Antibody
Applications: ELISA, WB, IHC
Species Reactivity: Human
-
-
-
-
-















