ACO2 Antibody
-
中文名稱:ACO2兔多克隆抗體
-
貨號:CSB-PA104784
-
規格:¥1100
-
圖片:
-
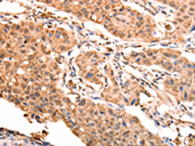
The image on the left is immunohistochemistry of paraffin-embedded Human colon cancer tissue using CSB-PA104784(ACO2 Antibody) at dilution 1/30, on the right is treated with synthetic peptide. (Original magnification: ×200)
-
The image on the left is immunohistochemistry of paraffin-embedded Human lung cancer tissue using CSB-PA104784(ACO2 Antibody) at dilution 1/30, on the right is treated with synthetic peptide. (Original magnification: ×200)
-
Gel: 10%SDS-PAGE, Lysate: 40 μg, Lane: Mouse heart tissue, Primary antibody: CSB-PA104784(ACO2 Antibody) at dilution 1/500, Secondary antibody: Goat anti rabbit IgG at 1/8000 dilution, Exposure time: 5 seconds
-
-
其他:
產品詳情
-
Uniprot No.:
-
基因名:ACO2
-
別名:ACO 2 antibody; ACO2 antibody; ACON_HUMAN antibody; aconitase 2 antibody; Aconitase 2 mitochondrial antibody; Aconitase antibody; Aconitase2 antibody; Aconitate hydratase antibody; Aconitate hydratase mitochondrial antibody; ACONM antibody; Citrate hydro lyase antibody; Citrate hydro-lyase antibody; ICRD antibody; mitochondrial antibody
-
宿主:Rabbit
-
反應種屬:Human,Mouse,Rat
-
免疫原:Synthetic peptide of Human ACO2
-
免疫原種屬:Homo sapiens (Human)
-
標記方式:Non-conjugated
-
抗體亞型:IgG
-
純化方式:Antigen affinity purification
-
濃度:It differs from different batches. Please contact us to confirm it.
-
保存緩沖液:-20°C, pH7.4 PBS, 0.05% NaN3, 40% Glycerol
-
產品提供形式:Liquid
-
應用范圍:ELISA,WB,IHC
-
推薦稀釋比:
Application Recommended Dilution ELISA 1:2000-1:5000 WB 1:500-1:2000 IHC 1:50-1:200 -
Protocols:
-
儲存條件:Upon receipt, store at -20°C or -80°C. Avoid repeated freeze.
-
貨期:Basically, we can dispatch the products out in 1-3 working days after receiving your orders. Delivery time maybe differs from different purchasing way or location, please kindly consult your local distributors for specific delivery time.
-
用途:For Research Use Only. Not for use in diagnostic or therapeutic procedures.
相關產品
靶點詳情
-
功能:Catalyzes the isomerization of citrate to isocitrate via cis-aconitate.
-
基因功能參考文獻:
- Aco2 activity correlated significantly with motor score, independence scale, and functional capacity of the Unified Huntington's Disease Rating Scale as well as disease duration. Our study provides a potential biomarker to assess the disease status of HD patients and PreHD carriers. PMID: 29160844
- Results suggest that ACO2 activity is reduced in peripheral lymphocytes of subjects with Alzheimer's disease and mild cognitive impairment and correlates with antioxidant protection PMID: 25322927
- Our study shows that autosomal recessive ACO2 mutations can cause either isolated or syndromic optic neuropathy. PMID: 25351951
- immunofluorescence staining localized ACO2 to the human sperm mid-piece. By immunoblotting, we demonstrated that the level of ACO2 protein in asthenozoospermic samples was significantly decreased compared with that in normal fertile men PMID: 24785945
- Ogg1 chaperoning of Aco-2 in preventing oxidant-mediated mtDNA damage and apoptosis may afford an innovative target for the molecular events underlying oxidant-induced toxicity. PMID: 24429287
- Hypoxia upregulates the gene expression of mitochondrial aconitase in prostate carcinoma cells PMID: 23709747
- Gastric cancer patients with lower ACO2 expression have a shorter survival time than those with higher ACO2 expression. PMID: 23550275
- Homozygosity mapping followed by whole-exome sequencing disclosed a Ser112Arg mutation in ACO2. PMID: 22405087
- these results suggest that p53 downregulation of mACON gene expression in human prostate carcinoma cells may not occur through the putative consensus p53 response elements found within the mACON promoter. PMID: 20607720
- abolishes oxidant-induced apoptosis PMID: 19524665
- Lon protease selectively recognizes and degrades the oxidized, hydrophobic form of aconitase after mild oxidative modification, but that severe oxidation results in aconitase aggregation, which makes it a poor substrate for Lon. PMID: 12198491
- ACO2 is often deleted in colorectal cancer but is unlikely to be the true target of the deletions PMID: 12746427
- The m-aconitase promoter is contained in a 153-bp 5' fragment lacking a TATA or CAAT sequence. Sp1 binding to specific Sp1 site is needed for promoter activity. Other transcription factors are recruited through protein-protein interactions. PMID: 16598741
- Manganese acts as an antagonist of iron, disrupting the enzymatic activity and gene expression of mACON and citrate metabolism in the prostate. PMID: 16625280
- This protein has been found differentially expressed in the Wernicke's Area from patients with schizophrenia. PMID: 19405953
- This protein has been found differentially expressed in the dorsolateral prefrontal cortex from patients with schizophrenia. PMID: 19110265
顯示更多
收起更多
-
相關疾病:Infantile cerebellar-retinal degeneration (ICRD); Optic atrophy 9 (OPA9)
-
亞細胞定位:Mitochondrion.
-
蛋白家族:Aconitase/IPM isomerase family
-
數據庫鏈接:
Most popular with customers
-
-
YWHAB Recombinant Monoclonal Antibody
Applications: ELISA, WB, IHC, IF, FC
Species Reactivity: Human, Mouse, Rat
-
Phospho-YAP1 (S127) Recombinant Monoclonal Antibody
Applications: ELISA, WB, IHC
Species Reactivity: Human
-
-
-
-
-















