ACIN1 Antibody
-
中文名稱:ACIN1兔多克隆抗體
-
貨號:CSB-PA956054
-
規格:¥1100
-
圖片:
-
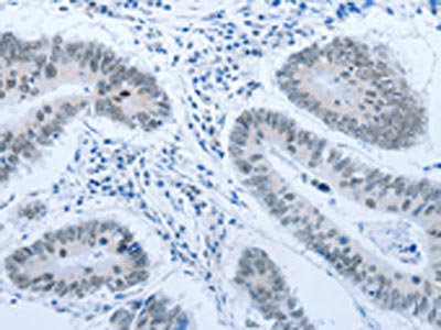
The image on the left is immunohistochemistry of paraffin-embedded Human colon cancer tissue using CSB-PA956054(ACIN1 Antibody) at dilution 1/30, on the right is treated with synthetic peptide. (Original magnification: ×200)
-
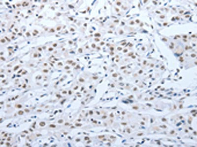
The image on the left is immunohistochemistry of paraffin-embedded Human lung cancer tissue using CSB-PA956054(ACIN1 Antibody) at dilution 1/30, on the right is treated with synthetic peptide. (Original magnification: ×200)
-
Gel: 8%SDS-PAGE, Lysate: 40 μg, Lane: 231 cells, Primary antibody: CSB-PA956054(ACIN1 Antibody) at dilution 1/550, Secondary antibody: Goat anti rabbit IgG at 1/8000 dilution, Exposure time: 1 minute
-
-
其他:
產品詳情
-
Uniprot No.:
-
基因名:ACIN1
-
別名:ACIN 1 antibody; ACIN1 antibody; ACINU_HUMAN antibody; Acinus antibody; ACN antibody; Apoptotic chromatin condensation inducer 1 antibody; Apoptotic chromatin condensation inducer in the nucleus antibody; DKFZp667N107 antibody; fSAP152 antibody; functional spliceosome-associated protein 152 antibody; KIAA0670 antibody
-
宿主:Rabbit
-
反應種屬:Human,Mouse
-
免疫原:Synthetic peptide of Human ACIN1
-
免疫原種屬:Homo sapiens (Human)
-
標記方式:Non-conjugated
-
抗體亞型:IgG
-
純化方式:Antigen affinity purification
-
濃度:It differs from different batches. Please contact us to confirm it.
-
保存緩沖液:-20°C, pH7.4 PBS, 0.05% NaN3, 40% Glycerol
-
產品提供形式:Liquid
-
應用范圍:ELISA,WB,IHC
-
推薦稀釋比:
Application Recommended Dilution ELISA 1:2000-1:5000 WB 1:500-1:2000 IHC 1:25-1:100 -
Protocols:
-
儲存條件:Upon receipt, store at -20°C or -80°C. Avoid repeated freeze.
-
貨期:Basically, we can dispatch the products out in 1-3 working days after receiving your orders. Delivery time maybe differs from different purchasing way or location, please kindly consult your local distributors for specific delivery time.
-
用途:For Research Use Only. Not for use in diagnostic or therapeutic procedures.
相關產品
靶點詳情
-
功能:Auxiliary component of the splicing-dependent multiprotein exon junction complex (EJC) deposited at splice junction on mRNAs. The EJC is a dynamic structure consisting of core proteins and several peripheral nuclear and cytoplasmic associated factors that join the complex only transiently either during EJC assembly or during subsequent mRNA metabolism. Component of the ASAP complexes which bind RNA in a sequence-independent manner and are proposed to be recruited to the EJC prior to or during the splicing process and to regulate specific excision of introns in specific transcription subsets; ACIN1 confers RNA-binding to the complex. The ASAP complex can inhibit RNA processing during in vitro splicing reactions. The ASAP complex promotes apoptosis and is disassembled after induction of apoptosis. Involved in the splicing modulation of BCL2L1/Bcl-X (and probably other apoptotic genes); specifically inhibits formation of proapoptotic isoforms such as Bcl-X(S); the activity is different from the established EJC assembly and function. Induces apoptotic chromatin condensation after activation by CASP3. Regulates cyclin A1, but not cyclin A2, expression in leukemia cells.
-
基因功能參考文獻:
- ACIN1 mRNA was highly expressed in platelets of lung cancer patients PMID: 30201066
- We conclude that RNPS1 is a key factor for the quality control of mRNAs that is essential for the phenotypes including cell division. PMID: 29366779
- Genome-wide identification of RNA targets of Acinus revealed its role in splicing regulation as well as its involvement in other cellular pathways, including cell cycle progression. PMID: 27365209
- acinus L was identified as a potential novel mTORC1 target. PMID: 25907765
- Differences in the nuclear localization of Acinus-S' and Acinus-L may suggest that these two isoforms have different functional roles. PMID: 25079509
- the ligand-dependent splicing activity of Acinus is related to the retinoic acid-activated retinoic acid receptor PMID: 25205379
- An electronegative region on acinusS restricts SRPK2 phosphorylation to a single specific site. PMID: 24444330
- Chronic low-dose radiation increases the levels of AKT and acinus proteins via NF-kappaB activation PMID: 23205493
- Akt phosphorylation of acinus on serine 422 and 573 results in its resistance to caspase cleavage in the nucleus and the inhibition of acinus-dependent chromatin condensation. PMID: 16177823
- Acinus is not involved in DNA condensation but rather has a role in internucleosomal DNA cleavage during programmed cell death PMID: 16537548
- We found hypermethylation of the ACIN1 gene in early stage lung adenocarcinoma. The role of methylation status in the development and malignant transformation of lung adenocarcinoma requires clarification. PMID: 17409846
- identify Acinus-S' as a novel RAR-interacting protein[Acinus-S'] PMID: 18250153
- The authors report here that AAC-11, a survival protein whose expression prevents apoptosis that occurs on deprivation of growth factors, physiologically binds to Acinus and prevents Acinus-mediated DNA fragmentation. PMID: 19387494
- A critical role for AKT activation in protecting cells from ionizing radiation-induced apoptosis and the regulation of acinus gene expression is reported. PMID: 19615784
- Study shows that transcription corepressor CtBP2 directly binds acinus, which is regulated by nerve growth factor (NGF), inhibiting its stimulatory effect on cyclin A1, but not cyclin A2, expression in leukemia. PMID: 19668232
顯示更多
收起更多
-
亞細胞定位:Nucleus. Nucleus speckle. Nucleus, nucleoplasm. Note=Phosphorylation on Ser-1180 by SRPK2 redistributes it from the nuclear speckles to the nucleoplasm.
-
組織特異性:Ubiquitous. The Ser-1180 phosphorylated form (by SRPK2) is highly expressed and phosphorylated in patients with myeloid hematologic malignancies.
-
數據庫鏈接:
Most popular with customers
-
-
YWHAB Recombinant Monoclonal Antibody
Applications: ELISA, WB, IHC, IF, FC
Species Reactivity: Human, Mouse, Rat
-
Phospho-YAP1 (S127) Recombinant Monoclonal Antibody
Applications: ELISA, WB, IHC
Species Reactivity: Human
-
-
-
-
-















