ACAT1 Antibody
-
中文名稱:ACAT1兔多克隆抗體
-
貨號:CSB-PA001134ESR1HU
-
規格:¥440
-
圖片:
-
Western blot
All lanes: ACAT1 antibody at 6µg/ml
Lane 1: Mouse skeletal musce tissue
Lane 2: Rat heart tissue
Lane 3: THP-1 whole cell lysate
Secondary
Goat polyclonal to rabbit IgG at 1/10000 dilution
Predicted band size: 46, 18 kDa
Observed band size: 46 kDa -
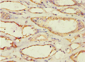
Immunohistochemistry of paraffin-embedded human liver tissue using CSB-PA001134ESR1HU at dilution of 1:100
-
Immunohistochemistry of paraffin-embedded human kidney tissue using CSB-PA001134ESR1HU at dilution of 1:100
-
-
其他:
產品詳情
-
產品名稱:Rabbit anti-Homo sapiens (Human) ACAT1 Polyclonal antibody
-
Uniprot No.:
-
基因名:
-
別名:ACAT 1 antibody; ACAT antibody; acat1 antibody; Acetoacetyl CoA thiolase antibody; acetoacetyl Coenzyme A thiolase antibody; Acetoacetyl-CoA thiolase antibody; Acetyl CoA acetyltransferase; mitochondrial antibody; Acetyl Coenzyme A acetyltransferase 1 antibody; Acetyl-CoA acetyltransferase antibody; acetyl-coa acetyltransferase precursor; mitochondrial antibody; Acetyl-CoA thiolase; mitochondrial antibody; acetyl-Coenzyme A acetyltransferase 1 antibody; MAT antibody; mitochondrial acetoacetyl-CoA thiolase antibody; mitochondrial antibody; RATACAL antibody; T2 antibody; testicular tissue protein Li 198 antibody; THIL antibody; THIL_HUMAN antibody
-
宿主:Rabbit
-
反應種屬:Human, Mouse, Rat
-
免疫原:Recombinant Human Acetyl-CoA acetyltransferase, mitochondrial protein (1-145AA)
-
免疫原種屬:Homo sapiens (Human)
-
標記方式:Non-conjugated
-
克隆類型:Polyclonal
-
抗體亞型:IgG
-
純化方式:Antigen Affinity Purified
-
濃度:It differs from different batches. Please contact us to confirm it.
-
保存緩沖液:PBS with 0.02% sodium azide, 50% glycerol, pH7.3.
-
產品提供形式:Liquid
-
應用范圍:ELISA, WB, IHC
-
推薦稀釋比:
Application Recommended Dilution WB 1:200-1:1000 IHC 1:20-1:200 -
Protocols:
-
儲存條件:Upon receipt, store at -20°C or -80°C. Avoid repeated freeze.
-
貨期:Basically, we can dispatch the products out in 1-3 working days after receiving your orders. Delivery time maybe differs from different purchasing way or location, please kindly consult your local distributors for specific delivery time.
-
用途:For Research Use Only. Not for use in diagnostic or therapeutic procedures.
相關產品
靶點詳情
-
功能:This is one of the enzymes that catalyzes the last step of the mitochondrial beta-oxidation pathway, an aerobic process breaking down fatty acids into acetyl-CoA. Using free coenzyme A/CoA, catalyzes the thiolytic cleavage of medium- to long-chain 3-oxoacyl-CoAs into acetyl-CoA and a fatty acyl-CoA shortened by two carbon atoms. The activity of the enzyme is reversible and it can also catalyze the condensation of two acetyl-CoA molecules into acetoacetyl-CoA. Thereby, it plays a major role in ketone body metabolism.
-
基因功能參考文獻:
- High ACAT1 expression is associated with breast cancer. PMID: 30092298
- Insulin promotes progression of colon cancer by upregulation of ACAT1. PMID: 29793481
- ACAT1 exonic mutations that affect ESE sequences may result in aberrant splicing. This may affect the activity of mitochondrial acetoacetyl-CoA thiolase. PMID: 27748876
- compound heterozygous of ACAT1 gene mutations probably underlie the beta-ketothiolase deficiency in our patient PMID: 27264805
- Data indicate that acetyl-CoA acetyltransferase (ACAT1) and malate dehydrogenase (MDH2) are involved in various drug-resistance-forming mechanisms. PMID: 25639359
- the pyruvate dehydrogenase complex is regulated by Tyr phosphorylation of PDP1, which toggles recruitment between ACAT1 and SIRT3 PMID: 24486017
- these findings indicate that ACAT1 expression could serve as a potential prognostic marker in prostate cancer, specifically in differentiating indolent and aggressive forms of cancer. PMID: 24311408
- ACAT1 expression is substantially elevated in human castration-resistant metastatic prostate cancer tissues. PMID: 23443136
- Data show that the ketone body metabolizing enzymes BDH1, BDH2, OXCT1 and ACAT1 were expressed at the mRNA and protein level in all glioma cell lines. PMID: 21791085
- We herein identified a common mutation, R208X, in Vietnamese patients. We identified R208X homozygously in six patients and heterozygously in two patients among eight Vietnamese patients. PMID: 20156697
- the siblings with the same T2 gene mutations present different clinical severity of T2 deficiency PMID: 20046049
- Single base substitutions at the initiator codon produced wild-type T2 polypeptide to various degrees PMID: 12754704
- mild mutations (A132G, D339-V340insD) retained some residual T2 activity PMID: 15128923
- Cloning and sequencing long range PCR products revealed a 6.4kb deletion. Alu element-mediated unequal homologous recombination between an Alu-Sx in intron 1 and another Alu-Y in intron 4 appears to be responsible for this deletion. PMID: 16935016
- E252del is a temperature-sensitive K(m) mutant. PMID: 17236799
- Crystallographic and kinetic studies were made on mitochondrial acetyl-CoA thiolase: the importance of potassium and chloride ions were noted for its structure and function. PMID: 17371050
- A point mutation was responsible for the aberrant RNA splicing of the mitochondrial acetoacetyl-CoA thiolase gene. PMID: 18511318
- sequence recognition by the catalytic domain differs between hT2 and hT10 in that hT10 requires a pre-existing GalNAc residue while hT2 does not PMID: 18562306
- I/D polymorphism of ACE gene and AC AT1 gene influence the development of hypertension and Left Ventricular Hypertrophy in Hemodialysis patients. PMID: 19112833
顯示更多
收起更多
-
相關疾?。?/div>3-ketothiolase deficiency (3KTD)亞細胞定位:Mitochondrion.蛋白家族:Thiolase family數據庫鏈接:
Most popular with customers
-
-
Phospho-YAP1 (S127) Recombinant Monoclonal Antibody
Applications: ELISA, WB, IHC
Species Reactivity: Human
-
-
-
-
-
-















