ABLIM1 Antibody
-
中文名稱:ABLIM1兔多克隆抗體
-
貨號:CSB-PA914946
-
規格:¥1100
-
圖片:
-
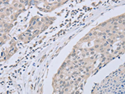
The image on the left is immunohistochemistry of paraffin-embedded Human breast cancer tissue using CSB-PA914946(ABLIM1 Antibody) at dilution 1/30, on the right is treated with fusion protein. (Original magnification: ×200)
-
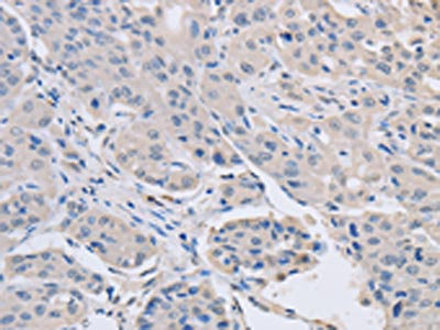
The image on the left is immunohistochemistry of paraffin-embedded Human lung cancer tissue using CSB-PA914946(ABLIM1 Antibody) at dilution 1/30, on the right is treated with fusion protein. (Original magnification: ×200)
-
Gel: 8%SDS-PAGE, Lysate: 40 μg, Lane: Mouse heart tissue, Primary antibody: CSB-PA914946(ABLIM1 Antibody) at dilution 1/650, Secondary antibody: Goat anti rabbit IgG at 1/8000 dilution, Exposure time: 40 seconds
-
-
其他:
產品詳情
-
Uniprot No.:
-
基因名:ABLIM1
-
別名:ABLIM 1 antibody; ABLIM antibody; abLIM-1 antibody; ABLIM-L antibody; ABLIM-M antibody; ABLIM-S antibody; ABLIM1 antibody; ABLM1_HUMAN antibody; Actin binding double zinc finger protein antibody; Actin binding LIM protein 1 antibody; Actin binding LIM protein family member 1 antibody; Actin-binding double zinc finger protein antibody; Actin-binding LIM protein 1 antibody; Actin-binding LIM protein family member 1 antibody; DKFZp781D0148 antibody; FLJ14564 antibody; KIAA0059 antibody; LIM actin binding protein 1 antibody; LIMAB 1 antibody; LIMAB1 antibody; Limatin antibody; MGC1224 antibody; MGC125264 antibody; OTTHUMP00000020530 antibody; OTTHUMP00000020531 antibody; OTTHUMP00000020532 antibody; OTTHUMP00000020533 antibody; OTTHUMP00000020534 antibody; OTTHUMP00000020535 antibody; OTTHUMP00000020536 antibody; OTTHUMP00000020537 antibody; RGD1565768 antibody; RP11-317F20.1 antibody
-
宿主:Rabbit
-
反應種屬:Human,Mouse
-
免疫原:Fusion protein of Human ABLIM1
-
免疫原種屬:Homo sapiens (Human)
-
標記方式:Non-conjugated
-
抗體亞型:IgG
-
純化方式:Antigen affinity purification
-
濃度:It differs from different batches. Please contact us to confirm it.
-
保存緩沖液:-20°C, pH7.4 PBS, 0.05% NaN3, 40% Glycerol
-
產品提供形式:Liquid
-
應用范圍:ELISA,WB,IHC
-
推薦稀釋比:
Application Recommended Dilution ELISA 1:2000-1:5000 WB 1:500-1:2000 IHC 1:25-1:100 -
Protocols:
-
儲存條件:Upon receipt, store at -20°C or -80°C. Avoid repeated freeze.
-
貨期:Basically, we can dispatch the products out in 1-3 working days after receiving your orders. Delivery time maybe differs from different purchasing way or location, please kindly consult your local distributors for specific delivery time.
-
用途:For Research Use Only. Not for use in diagnostic or therapeutic procedures.
相關產品
靶點詳情
-
功能:May act as scaffold protein. May play a role in the development of the retina. Has been suggested to play a role in axon guidance.
-
基因功能參考文獻:
- Exon 11 inclusion isoform of ABLIM1 may have a muscle-specific function, and its abnormal splicing could be related to muscle symptoms of myotonic dystrophy type 1. PMID: 25403273
- SNP rs727532 in ABLIM1 (10q25) had significant association in the multivariate test & strong associations with novelty seeking, harm avoidance, reward dependence and alcohol dependence in the COGA sample. PMID: 21547531
-
亞細胞定位:Cytoplasm. Cytoplasm, cytoskeleton.
-
組織特異性:Detected in liver, heart, skeletal muscle, brain and retina, where it is concentrated in the inner segment and in the outer plexiform layers.
-
數據庫鏈接:
Most popular with customers
-
YWHAB Recombinant Monoclonal Antibody
Applications: ELISA, WB, IHC, IF, FC
Species Reactivity: Human, Mouse, Rat
-
-
-
-
-
-
-















