ABI1 Antibody
-
中文名稱:ABI1兔多克隆抗體
-
貨號:CSB-PA196653
-
規格:¥1100
-
圖片:
-
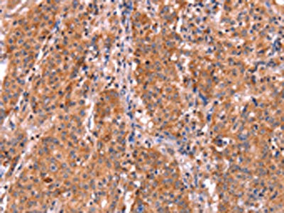
The image on the left is immunohistochemistry of paraffin-embedded Human gastic cancer tissue using CSB-PA196653(ABI1 Antibody) at dilution 1/40, on the right is treated with synthetic peptide. (Original magnification: ×200)
-
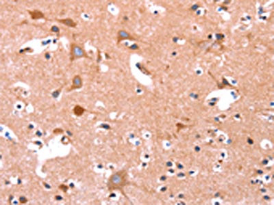
The image on the left is immunohistochemistry of paraffin-embedded Human brain tissue using CSB-PA196653(ABI1 Antibody) at dilution 1/40, on the right is treated with synthetic peptide. (Original magnification: ×200)
-
-
其他:
產品詳情
-
Uniprot No.:
-
基因名:ABI1
-
別名:Abelson interactor 1 antibody; Abi-1 antibody; Abi1 antibody; ABI1_HUMAN antibody; Abl binding protein 4 antibody; Abl interactor 1 antibody; Abl interactor protein 1 antibody; Abl-binding protein 4 antibody; AblBP4 antibody; e3B1 antibody; Eps8 binding protein antibody; Eps8 SH3 domain binding protein antibody; Eps8 SH3 domain-binding protein antibody; Eps8-binding protein antibody; Hssh3bp1 antibody; Interactor protein AblBP4 antibody; NAP1 antibody; Nap1 binding protein antibody; Nap1-binding protein antibody; Nap1BP antibody; Spectrin SH3 domain binding protein 1 antibody; Spectrin SH3 domain-binding protein 1 antibody; SSH3BP antibody
-
宿主:Rabbit
-
反應種屬:Human,Mouse,Rat
-
免疫原:Synthetic peptide of Human ABI1
-
免疫原種屬:Homo sapiens (Human)
-
標記方式:Non-conjugated
-
抗體亞型:IgG
-
純化方式:Antigen affinity purification
-
濃度:It differs from different batches. Please contact us to confirm it.
-
保存緩沖液:-20°C, pH7.4 PBS, 0.05% NaN3, 40% Glycerol
-
產品提供形式:Liquid
-
應用范圍:ELISA,IHC
-
推薦稀釋比:
Application Recommended Dilution ELISA 1:2000-1:5000 IHC 1:50-1:200 -
Protocols:
-
儲存條件:Upon receipt, store at -20°C or -80°C. Avoid repeated freeze.
-
貨期:Basically, we can dispatch the products out in 1-3 working days after receiving your orders. Delivery time maybe differs from different purchasing way or location, please kindly consult your local distributors for specific delivery time.
-
用途:For Research Use Only. Not for use in diagnostic or therapeutic procedures.
相關產品
靶點詳情
-
功能:May act in negative regulation of cell growth and transformation by interacting with nonreceptor tyrosine kinases ABL1 and/or ABL2. May play a role in regulation of EGF-induced Erk pathway activation. Involved in cytoskeletal reorganization and EGFR signaling. Together with EPS8 participates in transduction of signals from Ras to Rac. In vitro, a trimeric complex of ABI1, EPS8 and SOS1 exhibits Rac specific guanine nucleotide exchange factor (GEF) activity and ABI1 seems to act as an adapter in the complex. Regulates ABL1/c-Abl-mediated phosphorylation of ENAH. Recruits WASF1 to lamellipodia and there seems to regulate WASF1 protein level. In brain, seems to regulate the dendritic outgrowth and branching as well as to determine the shape and number of synaptic contacts of developing neurons.
-
基因功能參考文獻:
- our findings indicated that ABI1 contributes to the development and progression of hepatocellular carcinoma (HCC) as an oncogene and may serve as a valuable prognostic marker for HCC patients. PMID: 28339046
- these data indicate that HCV exploits host Abi1 protein via NS5A to modulate MEK/ERK signaling pathway for its own propagation. PMID: 27551040
- Suggest that Abi1 acts as a tumor-promoting gene in epithelial ovarian cancer progression, which may lead to unfavorable prognosis. PMID: 26193797
- These results indicate that the alpha4-Abi-1 signaling pathway may mediate acquisition of the drug-resistant phenotype of leukemic cells. PMID: 24699303
- Our data indicate that phosphorylated Abi1 contributes to the invasive properties of colorectal cancer. PMID: 24913355
- Abi1 is expressed at the invasive front of colorectal carcinomas and localizes to the leading edge of lamellipodia in cultured colorectal carcinoma cells. PMID: 24196611
- Data indicate that Abi1 is activated by the c-Abl-Crk-associated substrate (CAS) pathway, and Abi1 reciprocally controls the activation of its upstream regulator c-Abl. PMID: 23740246
- a possible role for Abi1 as a marker for early KRAS mutation in hyperplastic polyps PMID: 22808230
- Breast tumors expressing high levels of Abi1 are significantly associated with early recurrence and worse survival on multivariate analysis. PMID: 21046228
- Down-regulation of E3B1/ABI-1 expression in human carcinomas may play a critical role in tumor progression and in determining disease prognosis. PMID: 22430194
- The phosphorylation and dephosphorylation cycle of VASP by the Abi-1-bridged mechanism regulates association of VASP with focal adhesions, which may regulate adhesion of Bcr-Abl-transformed leukaemic cells. PMID: 22014333
- CDK1-mediated phosphorylation of Abi1 attenuates Bcr-Abl-induced F-actin assembly and tyrosine phosphorylation of WAVE complex during mitosis PMID: 21900237
- Expression of Abi1 is up-regulated in hepatocellular carcinoma tissues compared with corresponding para carcinomatous liver tissue, and is significantly correlated with tumor number, capsular formation, venous invasion, grade and prognosis. PMID: 20137729
- Data show that disruption of phosphorylation sits Y398 and Y213 significantly weakens the binding of Abi-1 to c-Abl. PMID: 21320496
- Study implicates that the integrity of SOS1/EPS8/ABI1 tri-complex is a determinant of ovarian cancer metastasis. PMID: 21118970
- Downregulation of ABI1 expression in human gastric carcinoma may play a critical role in tumor progression and in determining patient prognosis. PMID: 19554484
- Macropinocytosis is regulated by interactions between Abi1 pY213 and the C-terminal SH2 domain of p85-thereby linking Abl kinase signaling to p85-dependent regulation of macropinocytosis. PMID: 20598684
- Abi1 isoforms differentially regulate macropinocytosis as a consequence of their different relative affinities for activated Rac1 in Wave 2 complex. PMID: 20479892
- The ABI1 gene is down-regulated in gastric cancer cells. ABI1 overexpression effectively inhibits cell proliferation. PMID: 20193272
- Combination of experimental and computational interactome research was used for the analysis of protein-protein interactions between Abi-1 and VASP in human platelets. PMID: 20110575
- t(10;11)(p11.2;q23) involving MLL and this gene is associated with congenital acute monocytic leukemia PMID: 12547160
- Abi-1 regulates c-Abl-mediated phosphorylation of Mena by interacting with both proteins PMID: 12672821
- Abi1 interacts directly with the WHD domain of WAVE2, increases WAVE2 actin polymerization activity and mediates the assembly of a WAVE2-Abi1-Nap1-PIR121 complex. PMID: 15048123
- Abi enhances Abl-mediated downregulation and phosphorylation of Cdc2 kinase PMID: 15591787
- Abi-1-mediated coupling of Abl to WAVE2 promotes Abl-evoked WAVE2 tyrosine phosphorylation required to link WAVE2 with activated Rac and with actin polymerization and remodeling at the cell periphery. PMID: 15657136
- We demonstrate a cell-type-dependent requirement for various WASP-related proteins in Listeria entry and InlB-induced membrane ruffling; Abi1, a key component of WAVE complexes, is recruited at the entry site PMID: 15769844
- Abi-1 promotes Abl-mediated BCAP phosphorylation and suggest that Abi-1 in general coordinates kinase-substrate interactions PMID: 15893754
- Overexpression of e3B1 in NIH3T3/EGFR cells sensitized EGF-induced activation of Rac1, whereas it had no impact on EGF-induced activation of p21Ras. PMID: 16182283
- results suggest that the Eps8/Abi1 complex is capable of regulating the localization and/or activity of actin nucleators PMID: 16225669
- c-Abl activates WAVE2 via tyrosine phosphorylation to promote actin remodeling in vivo; Abi-1 forms the crucial link between these two factors PMID: 16899465
- NESH (Abi-3), like Abi-1 and Abi-2, is a component of the Abi/WAVE complex, but likely plays a different role in the regulation of c-Abl. PMID: 17101133
- Data show that Chlamydia trachomatis activates Rac and promotes its interaction with WAVE2 and Abi-1 to activate the Arp2/3 complex resulting in the induction of actin cytoskeletal rearrangements that are required for invasion. PMID: 17501982
- by activating the Abi1 pathway, Bcr-Abl induces a translocation of MT1-MMP to a membrane-associated structural complex enriched with F-actin and adhesion molecules. PMID: 17943163
- ABI-1 plays an important role in the spread of breast cancer and this role may be mediated via the phosphatidylinositol 3-kinase pathway. PMID: 17951403
- c-Abl kinase inhibition mediated by a phosphotyrosine located in trans in the c-Abl substrate, Abi1. PMID: 18328268
- These findings uncover a novel link between cadherin-mediated adhesion and the regulation of actin dynamics through the requirement for an Abi/Dia complex for the formation and stability of cell-cell junctions. PMID: 19158278
- Abl interactor 1 regulates Src-Id1-matrix metalloproteinase 9 axis and is required for invadopodia formation, extracellular matrix degradation and tumor growth of human breast cancer cells PMID: 19843640
- Human SSH3BP1 is a marker of macropinocytic vesicles and potential regulator of macropinocytosis in mammalian cells. SSH3BP1 may play a role in fusion of macropinocytic vesicles. PMID: 11034908
顯示更多
收起更多
-
相關疾病:A chromosomal aberration involving ABI1 is a cause of acute leukemias. Translocation t(10;11)(p11.2;q23) with KMT2A/MLL1. ABI1 isoform 2 was found to be present in acute leukemia KMT2A/MLL1-ABI1 fusion transcript.
-
亞細胞定位:Cytoplasm. Nucleus. Cell projection, lamellipodium. Cell projection, filopodium. Cell projection, growth cone. Cell junction, synapse, postsynaptic density. Cytoplasm, cytoskeleton.
-
蛋白家族:ABI family
-
組織特異性:Widely expressed, with highest expression in brain.
-
數據庫鏈接:















