ABCC1 Antibody
-
中文名稱:ABCC1兔多克隆抗體
-
貨號:CSB-PA997657
-
規格:¥1100
-
圖片:
-
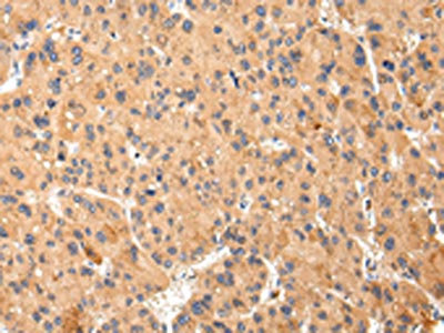
The image on the left is immunohistochemistry of paraffin-embedded Human liver cancer tissue using CSB-PA997657(ABCC1 Antibody) at dilution 1/25, on the right is treated with synthetic peptide. (Original magnification: ×200)
-
The image on the left is immunohistochemistry of paraffin-embedded Human breast cancer tissue using CSB-PA997657(ABCC1 Antibody) at dilution 1/25, on the right is treated with synthetic peptide. (Original magnification: ×200)
-
Gel: 6%SDS-PAGE, Lysate: 40 μg, Lane: A431 cell, Primary antibody: CSB-PA997657(ABCC1 Antibody) at dilution 1/350 dilution, Secondary antibody: Goat anti rabbit IgG at 1/8000 dilution, Exposure time: 1 minute
-
-
其他:
產品詳情
-
Uniprot No.:
-
基因名:
-
別名:ABC 29 antibody; ABC29 antibody; ABCC 1 antibody; ABCC antibody; Abcc1 antibody; ATP binding cassette sub family C (CFTR/MRP) member 1 antibody; ATP binding cassette sub-family C member 1 antibody; ATP binding cassette subfamily C member 1 antibody; ATP binding cassette transporter variant ABCC1delta ex13 antibody; ATP binding cassette transporter variant ABCC1delta ex13&14 antibody; ATP binding cassette transporter variant ABCC1delta ex25 antibody; ATP binding cassette transporter variant ABCC1delta ex25&26 antibody; ATP binding cassette, sub-family C (CFTR/MRP), member 1 antibody; ATP-binding cassette sub-family C member 1 antibody; DKFZp686N04233 antibody; DKFZp781G125 antibody; GS X antibody; GSX antibody; Leukotriene C(4) transporter antibody; LTC4 transporter antibody; MRP 1 antibody; MRP antibody; MRP1 antibody; MRP1_HUMAN antibody; Multidrug resistance associated protein 1 antibody; Multidrug resistance protein antibody; Multidrug resistance-associated protein 1 antibody; Multiple drug resistance associated protein antibody; Multiple drug resistance protein 1 antibody
-
宿主:Rabbit
-
反應種屬:Human
-
免疫原:Synthetic peptide of Human ABCC1
-
免疫原種屬:Homo sapiens (Human)
-
標記方式:Non-conjugated
-
抗體亞型:IgG
-
純化方式:Antigen affinity purification
-
濃度:It differs from different batches. Please contact us to confirm it.
-
保存緩沖液:-20°C, pH7.4 PBS, 0.05% NaN3, 40% Glycerol
-
產品提供形式:Liquid
-
應用范圍:ELISA,WB,IHC
-
推薦稀釋比:
Application Recommended Dilution ELISA 1:2000-1:5000 WB 1:500-1:2000 IHC 1:25-1:100 -
Protocols:
-
儲存條件:Upon receipt, store at -20°C or -80°C. Avoid repeated freeze.
-
貨期:Basically, we can dispatch the products out in 1-3 working days after receiving your orders. Delivery time maybe differs from different purchasing way or location, please kindly consult your local distributors for specific delivery time.
-
用途:For Research Use Only. Not for use in diagnostic or therapeutic procedures.
相關產品
靶點詳情
-
功能:Mediates export of organic anions and drugs from the cytoplasm. Mediates ATP-dependent transport of glutathione and glutathione conjugates, leukotriene C4, estradiol-17-beta-o-glucuronide, methotrexate, antiviral drugs and other xenobiotics. Confers resistance to anticancer drugs by decreasing accumulation of drug in cells, and by mediating ATP- and GSH-dependent drug export. Hydrolyzes ATP with low efficiency. Catalyzes the export of sphingosine 1-phosphate from mast cells independently of their degranulation. Participates in inflammatory response by allowing export of leukotriene C4 from leukotriene C4-synthezing cells.
-
基因功能參考文獻:
- Study suggest that increase in MRP1 gene expression is associated with being a nonsmoker, adenocarcinoma, advanced clinical stages and a poor response to chemotherapy in patients with nonsmall cell lung cancer.[meta-analysis] PMID: 30132569
- Cysteine residues were introduced into TMs 8, 14, 15, and 16 of 3Cys DeltaMRP1. PMID: 29572332
- Efflux of different arsenic metabolites by MRP1 is likely influenced by multiple factors. PMID: 29752257
- Peripheral blood MRP1 expression is increased in patients with refractory epilepsy PMID: 26099600
- Due to the downregulation of MDR1 and MRP1, the intracellular accumulation of ADM was increased in the transfected cells compared with that in the parental K562/ADM cells..Our research revealed that protein expression of the ERK signaling pathway was inhibited by downregulating TRIB2, indicating that the ERK pathway was involved in cell drug resistance and proliferation. PMID: 29436678
- icaritin (ICT) decreased the mRNA and protein levels of multidrug resistance-associated protein 1 (MRP1) in MG-63 doxorubicin-resistant (MG-63/DOX) cells. PMID: 29425587
- Enhanced BRAF-mediated NRF2 gene transcription and Histone Acetyltransferases-mediated NRF2 protein acetylation contributes to ABCC1-mediated chemoresistance and glutathione-mediated survival in acquired topoisomerase II poison-resistant cancer cells. PMID: 29080842
- Pomolic acid also down-modulated the activity of the multidrug resistance associated protein 1 (MRP1) and inhibited migration of Glioblastoma (GBM) cells. These results show that PA acts on several pathways of GBM drug resistance and therefore may be of potential interest for the treatment of this tumor PMID: 28849227
- Our data present for the very first time the high negative correlation between MRP1 protein expression in LSC and AML patients' remission. It does strongly suggest that MRP1 expression in LSC is an adverse prognostic marker in patients with de novo AML. PMID: 28805931
- No significant correlation was observed between rs504348 genotypes and cystic fibrosis severity. A significantly higher expression of ABCC1 mRNA was induced by CF plasma compared to healthy control plasma. PMID: 28800122
- MRP1 is regulated by CLIC1, leading to CLIC1-mediated development of chemoresistance in choriocarcinoma cells. PMID: 27983917
- High MRP1 expression is associated with resistance to doxorubicin in breast cancer. PMID: 27878697
- Our data indicates that hypomethylation of the ABCC1 promoter is not cancer type-specific but occurs in cancer cell lines of different origins. PMID: 27689338
- Our work demonstrates for the first time that the adaptation to endoplasmic reticulum(ER) stress in cancer cells produces a MDR phenotype. The PERK/Nrf2/MRP1 axis is responsible for the resistance to ER stress and chemotherapy, and may represent a good therapeutic target in aggressive and resistant tumors. PMID: 28499449
- Data show that miR-145 level decreased in breast cancer tissues, breast cancer cell lines and doxorubicin resistant MCF-7 cells, and inversely correlated with multidrug resistance-associated protein 1 (MRP1) expression level. PMID: 27487127
- PG accumulation assay is a new, unique tool for the parallel determination of the function of the ABCG2, ABCB1, and ABCC1 multidrug transporters PMID: 29342177
- ABCC1 exports corticosterone but not cortisol. We show that ABCC1 is expressed in adipose tissue and that ABCC1 inhibition increases intracellular corticosterone, but not cortisol, and induces glucocorticoid-responsive gene transcription in adipocytes. PMID: 27535620
- GSK1904529A did not alter the expression level of MRP1, induced a G0/G1 phase cell cycle arrest. Our results indicated that GSK1904529A significantly increased the sensitivity of MRP1 overexpressing cells to chemotherapeutic agents. PMID: 28266043
- High MRP1 expression is associated with ovarian cancer. PMID: 27739315
- These results show that multidrug resistant leukemia cell microparticle regulation of ABCC1 in recipient cells is governed by the transfer of both miR-326 and ABCB1 from donor cells PMID: 28050891
- Higher expression of ABCG2 and MRP1, and lower expression of CK19 in papillary thyroid carcinomas with a solid component were associated with higher tumor recurrence rate and shorter disease-free survival. PMID: 28411177
- Visfatin increases the nuclear translocation of Akt and its binding with ABCC1. These data showed that visfatin can decrease doxorubicin sensitivity of Non-small-cell lung cancer cells via activation of Akt/MRP1. PMID: 28762597
- Studied hedgehog signaling effect thru ATP-binding cassette (ABC) transporters in hepatoma drug sensitivity. Results suggest Hedgehog signaling transcription factor Gli-2 to be the primary regulator for drug sensitivity of hepatoma through the ABCC1 transporter. PMID: 28414325
- This study demonstrated that mitochondrial MRP-1 is expressed in the outer mitochondrial membrane and is a client protein of HSP90beta. PMID: 26722004
- High ABCC1 expression is associated with hepatic fibrosis. PMID: 28098912
- This study shows direct binding between MRP1 Linker 1 (L1MRP1) domain and alpha- and beta-tubulin subunits, using a scanning peptide approach PMID: 27908733
- In summary, chaetominine strongly reverses drug resistance by interfering with the PI3K/Akt/Nrf2 signaling, resulting in reduction of MRP1-mediated drug efflux and induction of Bax/Bcl-2-dependent apoptosis in an ADR-resistant K562/Adr leukemia cell line. PMID: 27038543
- cross-talk between MRP1 glycosylation and phosphorylation occurs. PMID: 27297967
- meta-analysis results strongly suggest that MRP1 is overexpressed in both neurons and astrocytes of intractable epilepsy patients, inhibition of MRP1 may enhance antiepileptic drug efficacy by increasing local drug availability PMID: 26000815
- Our results show MRP1 as a potential biomarker of resistance to treatment with irinotecan when found in CTCs from mCRC patients. PMID: 26950035
- Taxus chinensis var.-mediated downregulation of MRP1, MDR1, and LRP might contribute to the reversal of drug resistance in non-small cell lung cancer stem cells. PMID: 27706681
- miR-145 accelerated MRP1 mRNA degradation by directly targeting its 3'-UTR and therefore caused increased cisplatin toxicity in gallbladder cancer cells. Lower miR-145 and higher MRP1 expression levels predicted poor prognosis in GBC patients who received chemotherapy. PMID: 26852750
- Caveolin-1 affects ESCC MDR by regulating the expressions of P-gp and MRP1. PMID: 26768616
- Report ABCC1 induction by genistein in breast cancer cells may result in drug resistance in tumors treated with substrates of this transport. PMID: 27033456
- Results suggest that the LRIG1could negatively control MRP-1 and the apoptosis to improve the sensitivity of VP16-related chemotherapy. PMID: 27183435
- Data, including data from studies in knockout mice, suggest that MRP1 is involved in development of vascular endothelial dysfunction in diabetic angiopathy; MRP1 appears to be required for oxidative stress in endothelial cells due to hyperglycemia. PMID: 26908299
- The expression of ABCB1, ABCC1 and ABCG2 on primary human T-cells correlates with the efficacy of JAK inhibitor ruxolitinib treatment in regard to T-cell activation and proliferation. PMID: 26589910
- Positive expressions of MRP and TOP2A in the tumor tissue are associated with increased risk of developing brain metastases in non-small cell lung cancer (NSCLC). PMID: 26617887
- the expression and localization of the ATP-Binding Cassette (ABC) transporters BCRP (ABCG2), P-gp (ABCB1) and MRP1 (ABCC1) in human umbilical cords, is reported. PMID: 26407213
- Report decreased function MRP1 activity in methotrexate treated rheumatoid arthritis patients. PMID: 26715450
- the specific COX-2 inhibitor meloxicam can increase the intracellular accumulation of doxorubicin and enhance doxorubicin-induced cytotoxicity in A549 cancer cells by reducing the expression of MRP1 and MRP4. PMID: 26600514
- The scanning study identified 46 polymorphic variants by screening 30 exons of the ABCC1 gene with adjacent intronic fragments in 190 unrelated Polish individuals. A large fraction of variants represented rare or even completely novel ones. PMID: 26395522
- ILK may have an important role in the progression of NSCLC, possibly through up-regulation of Snail and MRP1. PMID: 25964055
- MRP1 knockdown down-regulates the deposition of collagen and leads to a reduced hypertrophic scar fibrosis PMID: 26092470
- MRP1 activity showed no significant change I primary colorectal cancer patients. PMID: 25885226
- Chronic arsenic exposure negatively correlates with the expression of MRP1 in bronchoalveolar lavage cells in patients with lung cancer. PMID: 26031227
- The present study investigated the time course and dose dependency of the induction of three efflux proteins, P-gp, MRP1 and MRP5, in response to gemcitabine exposure in Capan-2 pancreatic cancer cell line at transcriptional and translational levels. PMID: 25564970
- Our data suggested that miR-7 mediated small cell lung cancer chemoresistance by repressing MRP1/ABCC1 PMID: 26108539
- study shows that genetic variability in the nucleotide binding domain 1 has a significant impact on the ABCC1 transcript level in the target tissue and may modify survival of breast cancer patients PMID: 25078270
- The level of FBW7 expression in CNE2 cells was correlated with CDDP chemosensitivity. siRNA-mediated upregulation of FBW7 expression downregulated the expression of MRP, significantly increasing drug sensitivity in CNE2 cells. PMID: 25586348
顯示更多
收起更多
-
亞細胞定位:Cell membrane; Multi-pass membrane protein.
-
蛋白家族:ABC transporter superfamily, ABCC family, Conjugate transporter (TC 3.A.1.208) subfamily
-
組織特異性:Lung, testis and peripheral blood mononuclear cells.
-
數據庫鏈接:
Most popular with customers
-
-
YWHAB Recombinant Monoclonal Antibody
Applications: ELISA, WB, IHC, IF, FC
Species Reactivity: Human, Mouse, Rat
-
Phospho-YAP1 (S127) Recombinant Monoclonal Antibody
Applications: ELISA, WB, IHC
Species Reactivity: Human
-
-
-
-
-















