ABCB8 Antibody
-
中文名稱:ABCB8兔多克隆抗體
-
貨號:CSB-PA868325ESR2HU
-
規格:¥440
-
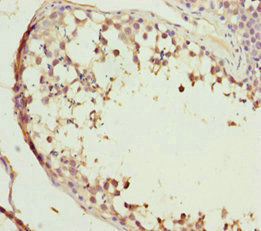
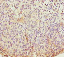
圖片:
-
其他:
產品詳情
-
產品名稱:Rabbit anti-Homo sapiens (Human) ABCB8 Polyclonal antibody
-
Uniprot No.:
-
基因名:ABCB8
-
別名:ABCB8; MABC1; MITOSUR; Mitochondrial potassium channel ATP-binding subunit; ATP-binding cassette sub-family B member 8, mitochondrial; ABCB8; Mitochondrial ATP-binding cassette 1; M-ABC1; Mitochondrial sulfonylurea-receptor; MITOSUR
-
宿主:Rabbit
-
反應種屬:Human
-
免疫原:Recombinant Human ATP-binding cassette sub-family B member 8, mitochondrial protein (486-735AA)
-
免疫原種屬:Homo sapiens (Human)
-
標記方式:Non-conjugated
-
克隆類型:Polyclonal
-
抗體亞型:IgG
-
純化方式:Antigen Affinity Purified
-
濃度:It differs from different batches. Please contact us to confirm it.
-
保存緩沖液:PBS with 0.02% sodium azide, 50% glycerol, pH7.3.
-
產品提供形式:Liquid
-
應用范圍:ELISA, IHC
-
推薦稀釋比:
Application Recommended Dilution IHC 1:20-1:200 -
Protocols:
-
儲存條件:Upon receipt, store at -20°C or -80°C. Avoid repeated freeze.
-
貨期:Basically, we can dispatch the products out in 1-3 working days after receiving your orders. Delivery time maybe differs from different purchasing way or location, please kindly consult your local distributors for specific delivery time.
-
用途:For Research Use Only. Not for use in diagnostic or therapeutic procedures.
相關產品
靶點詳情
-
功能:ATP-binding subunit of the mitochondrial potassium channel located in the mitochondrial inner membrane. Together with CCDC51/MITOK, forms a protein complex localized in the mitochondria that mediates ATP-dependent potassium currents across the inner membrane (that is, mitoK(ATP) channel). Plays a role in mitochondrial iron transport. Required for maintenance of normal cardiac function, possibly by influencing mitochondrial iron export and regulating the maturation of cytosolic iron sulfur cluster-containing enzymes.
-
基因功能參考文獻:
- ABCB8 confers resistance through the protection of mitochondrial DNA from doxorubicin-induced DNA damage in a melanoma cell line. PMID: 19147539
- mutations in ABCB8 and ABCB10 is not associated with acute myeloid leukemia. PMID: 19151771
-
亞細胞定位:Mitochondrion inner membrane; Multi-pass membrane protein.
-
蛋白家族:ABC transporter superfamily, ABCB family, Multidrug resistance exporter (TC 3.A.1.201) subfamily
-
組織特異性:Ubiquitous.
-
數據庫鏈接:
Most popular with customers
-
YWHAB Recombinant Monoclonal Antibody
Applications: ELISA, WB, IHC, IF, FC
Species Reactivity: Human, Mouse, Rat
-
Phospho-YAP1 (S127) Recombinant Monoclonal Antibody
Applications: ELISA, WB, IHC
Species Reactivity: Human
-
-
-
-
-
-















