ABCB7 Antibody
-
中文名稱:ABCB7兔多克隆抗體
-
貨號:CSB-PA274413
-
規格:¥1100
-
圖片:
-
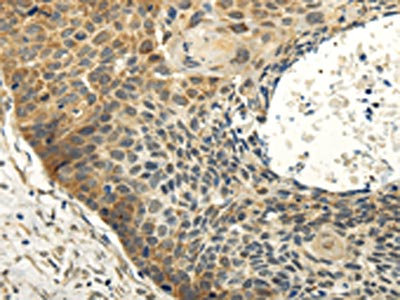
The image on the left is immunohistochemistry of paraffin-embedded Human esophagus cancer tissue using CSB-PA274413(ABCB7 Antibody) at dilution 1/20, on the right is treated with fusion protein. (Original magnification: ×200)
-
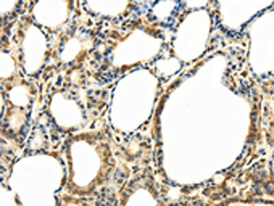
The image on the left is immunohistochemistry of paraffin-embedded Human thyroid cancer tissue using CSB-PA274413(ABCB7 Antibody) at dilution 1/20, on the right is treated with fusion protein. (Original magnification: ×200)
-
-
其他:
產品詳情
-
Uniprot No.:
-
基因名:ABCB7
-
別名:ABC transporter 7 protein antibody; ABC7 antibody; Abcb7 antibody; ABCB7_HUMAN antibody; ASAT antibody; Atm1p antibody; ATP binding cassette 7 antibody; ATP binding cassette sub family B (MDR/TAP) member 7 antibody; ATP binding cassette sub family B member 7 antibody; ATP binding cassette sub family B member 7 mitochondrial antibody; ATP binding cassette transporter 7 antibody; ATP-binding cassette sub-family B member 7 antibody; ATP-binding cassette transporter 7 antibody; EST140535 antibody; MDR7 antibody; mitochondrial antibody; Multidrug resistance protein 7 antibody; P-glycoprotein 7 antibody; PGP7 antibody
-
宿主:Rabbit
-
反應種屬:Human,Mouse,Rat
-
免疫原:Fusion protein of Human ABCB7
-
免疫原種屬:Homo sapiens (Human)
-
標記方式:Non-conjugated
-
抗體亞型:IgG
-
純化方式:Antigen affinity purification
-
濃度:It differs from different batches. Please contact us to confirm it.
-
保存緩沖液:-20°C, pH7.4 PBS, 0.05% NaN3, 40% Glycerol
-
產品提供形式:Liquid
-
應用范圍:ELISA,IHC
-
推薦稀釋比:
Application Recommended Dilution ELISA 1:2000-1:5000 IHC 1:25-1:100 -
Protocols:
-
儲存條件:Upon receipt, store at -20°C or -80°C. Avoid repeated freeze.
-
貨期:Basically, we can dispatch the products out in 1-3 working days after receiving your orders. Delivery time maybe differs from different purchasing way or location, please kindly consult your local distributors for specific delivery time.
-
用途:For Research Use Only. Not for use in diagnostic or therapeutic procedures.
相關產品
靶點詳情
-
功能:Exports glutathione-coordinated iron-sulfur clusters such as [2Fe-2S]-(GS)4 cluster from the mitochondria to the cytosol in an ATP-dependent manner allowing the assembly of the cytosolic iron-sulfur (Fe/S) cluster-containing proteins and participates in iron homeostasis. Moreover, through a functional complex formed of ABCB7, FECH and ABCB10, also plays a role in the cellular iron homeostasis, mitochondrial function and heme biosynthesis. In cardiomyocytes, regulates cellular iron homeostasis and cellular reactive oxygen species (ROS) levels through its interaction with COX4I1. May also play a role in hematopoiesis.
-
基因功能參考文獻:
- data support a model in which cycloheximide -induced downregulation of the iron exporter ABCB7 mRNA transcript resulting from aberrant splicing caused by mutant SF3B1 underlies the increased mitochondrial iron accumulation found in MDS patients with ring sideroblasts PMID: 27211273
- A missense mutation in the ABCB7 is a major causative factor of the cerebellar hypoplasia/atrophy found in affected individuals of a Buryat family who had no evidence of sideroblastic anemia. PMID: 26242992
- findings support that ABCB7 is implicated in the phenotype of acquired RARS and suggest a relation between SF3B1 mutations and ABCB7 downregulation PMID: 23070040
- We describe a fourth family with X-linked sideroblastic anemia and ataxia and a novel mutation in the ABCB7 gene PMID: 22398176
- loss of the ABCB7 gene may be a pathogenetic factor underlying mitochondrial iron accumulation in RARS patients with idicXq13. PMID: 21380928
- ABCB7 may have a role in refractory anemia with ring sideroblasts PMID: 18398482
顯示更多
收起更多
-
相關疾病:Anemia, sideroblastic, spinocerebellar ataxia (ASAT)
-
亞細胞定位:Mitochondrion inner membrane; Multi-pass membrane protein.
-
蛋白家族:ABC transporter superfamily, ABCB family, Heavy Metal importer (TC 3.A.1.210) subfamily
-
數據庫鏈接:
Most popular with customers
-
-
YWHAB Recombinant Monoclonal Antibody
Applications: ELISA, WB, IHC, IF, FC
Species Reactivity: Human, Mouse, Rat
-
Phospho-YAP1 (S127) Recombinant Monoclonal Antibody
Applications: ELISA, WB, IHC
Species Reactivity: Human
-
-
-
-
-















