ABCB11 Antibody
-
中文名稱:ABCB11兔多克隆抗體
-
貨號:CSB-PA447968
-
規格:¥1100
-
圖片:
-
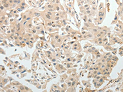
The image on the left is immunohistochemistry of paraffin-embedded Human ovarian cancer tissue using CSB-PA447968(ABCB11 Antibody) at dilution 1/15, on the right is treated with synthetic peptide. (Original magnification: ×200)
-
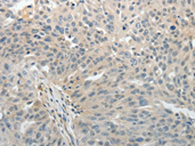
The image on the left is immunohistochemistry of paraffin-embedded Human lung cancer tissue using CSB-PA447968(ABCB11 Antibody) at dilution 1/15, on the right is treated with synthetic peptide. (Original magnification: ×200)
-
-
其他:
產品詳情
-
Uniprot No.:
-
基因名:
-
別名:ABC member 16; MDR/TAP subfamily antibody; ABC16 antibody; ABCB1 antibody; Abcb11 antibody; ABCBB_HUMAN antibody; ATP binding cassette sub family B (MDR/TAP) member 11 antibody; ATP binding cassette sub family B member 11 antibody; ATP-binding cassette sub-family B member 11 antibody; Bile salt export pump antibody; BRIC2 antibody; Bsep antibody; PFIC 2 antibody; PFIC2 antibody; PGY4 antibody; progressive familial intrahepatic cholestasis 2 antibody; Sister of P glycoprotein antibody; Spgp antibody
-
宿主:Rabbit
-
反應種屬:Human,Mouse,Rat
-
免疫原:Synthetic peptide of Human ABCB11
-
免疫原種屬:Homo sapiens (Human)
-
標記方式:Non-conjugated
-
抗體亞型:IgG
-
純化方式:Antigen affinity purification
-
濃度:It differs from different batches. Please contact us to confirm it.
-
保存緩沖液:-20°C, pH7.4 PBS, 0.05% NaN3, 40% Glycerol
-
產品提供形式:Liquid
-
應用范圍:ELISA,IHC
-
推薦稀釋比:
Application Recommended Dilution ELISA 1:1000-1:5000 IHC 1:15-1:50 -
Protocols:
-
儲存條件:Upon receipt, store at -20°C or -80°C. Avoid repeated freeze.
-
貨期:Basically, we can dispatch the products out in 1-3 working days after receiving your orders. Delivery time maybe differs from different purchasing way or location, please kindly consult your local distributors for specific delivery time.
-
用途:For Research Use Only. Not for use in diagnostic or therapeutic procedures.
相關產品
靶點詳情
-
功能:Catalyzes the transport of the major hydrophobic bile salts, such as taurine and glycine-conjugated cholic acid across the canalicular membrane of hepatocytes in an ATP-dependent manner, therefore participates in hepatic bile acid homeostasis and consequently to lipid homeostasis through regulation of biliary lipid secretion in a bile salts dependent manner. Transports taurine-conjugated bile salts more rapidly than glycine-conjugated bile salts. Also transports non-bile acid compounds, such as pravastatin and fexofenadine in an ATP-dependent manner and may be involved in their biliary excretion.
-
基因功能參考文獻:
- We concluded that Egyptian patients having chronic hepatitis C genotype 4 with CC genotype of ABCB11 SNP 1331T>C and high plasma bile acid levels at cutoff value of 75.5 mumol/L were associated with advanced hepatic fibrosis. PMID: 29755014
- The overrepresentation of mutated variants of the 1331T > C ABCB11 polymorphism in the ICP group suggests its contribution to the etiology of the intrahepatic cholestasis of pregnancy. Analysis of genotypes' co-existence pointed to the possibility of the mutated variants of polymorphism 1954A > G ABCB4 and 1331T > C ABCB11 having a summation effect on the development ofintrahepatic cholestasis of pregnancy PMID: 30091450
- These data demonstrated that c.386G>A (p.C129Y) in ABCB11 was a causative mutation that correlated with the phenotype of patients with PFIC2, the impairment of biliary excretion into bile canaliculi, and the absence of canalicular BSEP expression in liver histological assessments. PMID: 29507376
- FIC1, BSEP, and MDR3 represent hepatobiliary transport proteins essential for bile formation. PMID: 28733223
- This is the first report on a diagnostic test for simultaneous genotyping of IFNL3, ABCB11, and RNF7 in Chronic hepatitis C (CHC) patients. Reliable and inexpensive, the assay should provide useful information for the clinical management of CHC, like identification of patients at risk of rapid disease progression or with high chances of response to classic therapy. PMID: 28860020
- Residual function of BSEP as well as substrate specificity influence the therapeutic effectiveness of partial external biliary diversion in progressive familial intrahepatic cholestasis type 2. PMID: 28839429
- Study suggested that the CC genotype of rs2287616 variant of ABCB11 gene might contribute to anti-tuberculosis drug-induced cholestatic liver injury in Chinese patients. PMID: 27293027
- Case Report: compound heterozygotes for two missense mutations of the ABCB11 with a mild form of progressive familial intrahepatic cholestasis type 2. PMID: 28425419
- Patients with a confirmed ABCB11 or tight junction protein 2 gene mutation (n = 7) had a minimally detectable THBA proportion (0.23-2.99% of total BAs). Three patients with an ATP8B1 mutation had an elevated THBA proportion (7.51-37.26%). PMID: 28073941
- By these complementary approaches, a set of ten novel BSEP interaction partners was identified. With the exception of radixin, all other interaction partners were integral or membrane-associated proteins including proteins of the early secretory pathway and the bile acyl-CoA synthetase, the second to last, ER-associated enzyme of bile salt synthesis PMID: 27472061
- Report ABAB11 missense mutations in Korean infants with progressive familial intrahepatic cholestasis. PMID: 27239116
- Among the Han individuals aged over 40 years in Hunan, China, genotype CC or CT of BSEP gene SNP rs2287622 may correlate with higher risk of chronic hepatitis C in comparison with genotype TT. PMID: 28292275
- Case Reports: late onset progressive familial intrahepatic cholestasis 2 secondary to novel ABCB11 mutations. PMID: 27493120
- Negative immunoreaction of BSEP was found in the majority of the progressive familial intrahepatic cholestasis (PFIC) group. Nonetheless, the negative immunoreaction was demonstrated in a considerable number of the non-PFIC group.BSEP immunoreaction was negative in the majority (82.4%) of PFIC2 but in none of the two patients with PFIC1. PMID: 26845599
- The results revealed that functional impairment of BSEP predisposes the cells to altered BA disposition and is a susceptive factor to drug-induced cholestatic injury. PMID: 26910619
- Results identified six novel mutations (PKHD1: p.Thr777Met, p.Tyr2260Cys; ABCB11: p.Val1112Phe, c.611+1G > A, p.Gly628Trpfs*3 and NPC1: p.Glu391Lys) for the diagnostic of inherited infantile cholestatic disorders. PMID: 25771912
- Report highly specific expression of BSEP and MDR3 in hepatocellular carcinoma. PMID: 26735860
- GGT levels in patients with ATP8B1 or ABCB11 deficiency varied with age. The peak GGT value was <70U/L in the 2nd~6th month of life, <60U/L in the 7th~12th month and <50U/L beyond one year PMID: 27050426
- methods that can be used to assess and quantify BSEP inhibition, and key gaps in our current understanding of the relationship between this process and DILI, are discussed PMID: 25104267
- Liver nuclear receptors, FXR and SHP, and bile acid transporters, NTCP and BSEP, are associated with the progression of NAFLD. PMID: 26019035
- ABCB11 444A had slightly reduced transport activity. PMID: 25713208
- Similar molecular features between MRP4 and BSEP inhibitors may partially explain why various drugs have affinity for both transporters. PMID: 25735837
- In malignant tumours in the liver, BSEP marking was 100% specific and 90% sensitive for hepatocellular carcinoma. PMID: 25378077
- The aim of this study was the evaluation of some single nucleotide polymorphisms of genes (ABCB1, SLC28A2/3, SLC29A1) involved in telaprevir (TLV) and ribavirin transport and their correlation with plasma TLV drug exposure at 1 month of therapy. PMID: 25661339
- Aberrant splicing of ABCB11 in the liver of progressive familial intrahepatic cholestasis type 2 patients. PMID: 25085279
- Variants of ABCB11 were not associated with bosentan-induced liver injury. PMID: 25332267
- analysis of mutations in ABCB11 gene in children with intrahepatic cholestasis PMID: 24969679
- BSEP rs473351 was closely associated with the susceptibility of primary biliary cirrhosis and resistance to ursodeoxycholic acid treatment. PMID: 25392597
- expression in hepatocytes repressed by estradiol PMID: 24729004
- Our data suggest that in addition to functional inhibition, repression of bile salt export pump expression may play an important role in drug-induced cholestatic liver toxicity. PMID: 24335466
- Patients carrying the C allele in the ABCB11 1331T>C polymorphism are at increased risk of developing hepatocellular type of DILI, when taking drugs containing a carbocyclic system with aromatic rings PMID: 23701583
- Cholesterol increases the transport rates of ABCB11 and ABCC2, but with the latter, may also modify the binding site as for E17betaG PMID: 24711118
- The novel missense mutation G374S impairs transport function without disabling membrane localization of BSEP, causing a transitional phenotype between benign recurrent and progressive familial intrahepatic cholestasis . PMID: 23758865
- FXR regulates BSEP in an isoform-dependent and species-specific manner PMID: 24002920
- The introduction of a Y1311A mutation into BSEP. PMID: 24378332
- Six single nucleotide polymorphisms in ABCB11 that showed significant evidence of association were identified. PMID: 24366234
- Case Report: suggest contribution of ATP8B1 mutations to drug-induced liver injury from anabolic androgenic steroids marketed as dietary supplements. PMID: 23750872
- This review describes the molecular characteristics and physiological roles of BSEP, the trafficking and sorting machinery of BSEP, and the mechanisms responsible for disturbance of BSEP, which causes intrahepatic cholestasis. [review] PMID: 23876151
- Approximately 3% of TNC cases can be attributed to ABCB11 mutations. PMID: 23279303
- Inhibition of Bsep mRNA expression is regulated by loss of T cells but not B cells, in immune-mediated liver disease. PMID: 23929842
- Genotyping of Italian women revealed 3 novel variants of ABCB11 (p.V284D, p.Q558H, p.P731S) associated with intrahepatic cholestasis of pregnancy. PMID: 23022423
- Troglitazone specifically inhibits human MRP2 and BSEP in PXB mouse chimeric liver. PMID: 22673116
- The data confirmed that homozygous presence of the major [C] allele of ABCB11 c.1331 T>C is a genetic susceptibility factor for hepatitis C infection, but not for liver fibrosis. PMID: 22681771
- constitutive internalization of BSEP is clathrin-mediated and dependent on the tyrosine-based endocytic motif at the C-terminal end of BSEP. PMID: 22161577
- Patients undergoing partial hepatectomy with low post-operative bilirubin had lower levels of NTCP, MDR3 and BSEP mRNA compared to those with high bilirubin after Pringle manoeuvre. PMID: 22098322
- The higher allelic frequency of ABCB11 1331C in HCV-patients compared to controls may indirectly link increased bile acids to hepatitis C virus chronicity. PMID: 20723035
- Here we report the first case of a patient with combined hereditary spherocytosis and compound heterozygous ABCB11 gene variants predisposing to intrahepatic cholestasis PMID: 21811948
- A spectrum of BSEP-dependent effects on the course of liver diseases, and two mutations that differentially affect total bile acid output and the biliary bile acid profile, are described. PMID: 21691112
- Sequencing of the ABCB11 gene revealed two new ABCB11 mutations responsible for type 2 benign recurrent intrahepatic cholestasis in a French-Canadian family. PMID: 21766090
- Mutations ending ABCB11 transcription appear linked, through hepatocellular necrosis and fibrosis, to worse outcome PMID: 21490445
顯示更多
收起更多
-
相關疾病:Cholestasis, progressive familial intrahepatic, 2 (PFIC2); Cholestasis, benign recurrent intrahepatic, 2 (BRIC2)
-
亞細胞定位:Apical cell membrane; Multi-pass membrane protein. Recycling endosome membrane; Multi-pass membrane protein. Endosome. Cell membrane; Multi-pass membrane protein.
-
蛋白家族:ABC transporter superfamily, ABCB family, Multidrug resistance exporter (TC 3.A.1.201) subfamily
-
組織特異性:Expressed predominantly, if not exclusively in the liver, where it was further localized to the canalicular microvilli and to subcanalicular vesicles of the hepatocytes by in situ.
-
數據庫鏈接:
Most popular with customers
-
-
YWHAB Recombinant Monoclonal Antibody
Applications: ELISA, WB, IHC, IF, FC
Species Reactivity: Human, Mouse, Rat
-
Phospho-YAP1 (S127) Recombinant Monoclonal Antibody
Applications: ELISA, WB, IHC
Species Reactivity: Human
-
-
-
-
-















