AATK Antibody
-
中文名稱:AATK兔多克隆抗體
-
貨號:CSB-PA698191
-
規格:¥1100
-
圖片:
-
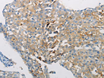
The image on the left is immunohistochemistry of paraffin-embedded Human breast cancer tissue using CSB-PA698191(AATK Antibody) at dilution 1/10, on the right is treated with synthetic peptide. (Original magnification: ×200)
-
The image on the left is immunohistochemistry of paraffin-embedded Human brain tissue using CSB-PA698191(AATK Antibody) at dilution 1/10, on the right is treated with synthetic peptide. (Original magnification: ×200)
-
-
其他:
產品詳情
-
Uniprot No.:
-
基因名:AATK
-
別名:AATK antibody; AATYK antibody; AATYK1 antibody; Apoptosis associated tyrosine kinase antibody; Apoptosis-associated tyrosine kinase antibody; Brain apoptosis associated tyrosine kinase antibody; Brain apoptosis-associated tyrosine kinase antibody; CDK5 binding protein antibody; CDK5-binding protein antibody; KIAA0641 antibody; Lemur tyrosine kinase 1 antibody; LMR1 antibody; LMTK1 antibody; LMTK1_HUMAN antibody; p35 binding protein antibody; p35-binding protein antibody; p35BP antibody; Serine/threonine protein kinase LMTK1 antibody; Serine/threonine-protein kinase LMTK1 antibody
-
宿主:Rabbit
-
反應種屬:Human
-
免疫原:Synthetic peptide of Human AATK
-
免疫原種屬:Homo sapiens (Human)
-
標記方式:Non-conjugated
-
抗體亞型:IgG
-
純化方式:Antigen affinity purification
-
濃度:It differs from different batches. Please contact us to confirm it.
-
保存緩沖液:-20°C, pH7.4 PBS, 0.05% NaN3, 40% Glycerol
-
產品提供形式:Liquid
-
應用范圍:ELISA,IHC
-
推薦稀釋比:
Application Recommended Dilution ELISA 1:1000-1:2000 IHC 1:15-1:50 -
Protocols:
-
儲存條件:Upon receipt, store at -20°C or -80°C. Avoid repeated freeze.
-
貨期:Basically, we can dispatch the products out in 1-3 working days after receiving your orders. Delivery time maybe differs from different purchasing way or location, please kindly consult your local distributors for specific delivery time.
-
用途:For Research Use Only. Not for use in diagnostic or therapeutic procedures.
相關產品
靶點詳情
-
功能:May be involved in neuronal differentiation.
-
基因功能參考文獻:
- ATKK was validated as a target gene of miR-558, and upregulation of miR-558 was observed in radioresistant lung cancer cells. Additionally, ectopic overexpression of ATKK partially but significantly reduced the miR-558-induced radioresistance. PMID: 27485693
- Apoptosis-associated tyrosine kinase is a Cdk5 activator p35 binding protein. PMID: 14521924
- This paper deals with the mouse ortholog. PMID: 17651901
-
亞細胞定位:Membrane; Single-pass type I membrane protein. Cytoplasm. Cytoplasm, perinuclear region. Note=Predominantly perinuclear.
-
蛋白家族:Protein kinase superfamily, Tyr protein kinase family
-
組織特異性:Expressed in brain.
-
數據庫鏈接:
Most popular with customers
-
-
YWHAB Recombinant Monoclonal Antibody
Applications: ELISA, WB, IHC, IF, FC
Species Reactivity: Human, Mouse, Rat
-
Phospho-YAP1 (S127) Recombinant Monoclonal Antibody
Applications: ELISA, WB, IHC
Species Reactivity: Human
-
-
-
-
-















