AASS Antibody
-
中文名稱:AASS兔多克隆抗體
-
貨號:CSB-PA883373LA01HU
-
規格:¥440
-
圖片:
-
Western Blot
Positive WB detected in: Hela whole cell lysate, 293T whole cell lysate, HepG2 whole cell lysate
All lanes: AASS antibody at 5.8µg/ml
Secondary
Goat polyclonal to rabbit IgG at 1/50000 dilution
Predicted band size: 103 kDa
Observed band size: 103 kDa -
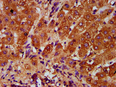
IHC image of CSB-PA883373LA01HU diluted at 1:400 and staining in paraffin-embedded human liver tissue performed on a Leica BondTM system. After dewaxing and hydration, antigen retrieval was mediated by high pressure in a citrate buffer (pH 6.0). Section was blocked with 10% normal goat serum 30min at RT. Then primary antibody (1% BSA) was incubated at 4°C overnight. The primary is detected by a biotinylated secondary antibody and visualized using an HRP conjugated SP system.
-
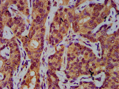
IHC image of CSB-PA883373LA01HU diluted at 1:400 and staining in paraffin-embedded human liver cancer performed on a Leica BondTM system. After dewaxing and hydration, antigen retrieval was mediated by high pressure in a citrate buffer (pH 6.0). Section was blocked with 10% normal goat serum 30min at RT. Then primary antibody (1% BSA) was incubated at 4°C overnight. The primary is detected by a biotinylated secondary antibody and visualized using an HRP conjugated SP system.
-
-
其他:
產品詳情
-
產品名稱:Rabbit anti-Homo sapiens (Human) AASS Polyclonal antibody
-
Uniprot No.:
-
基因名:
-
別名:AASSAlpha-aminoadipic semialdehyde synthase antibody; mitochondrial antibody; LKR/SDH) [Includes: Lysine ketoglutarate reductase antibody; LKR antibody; LOR antibody; EC 1.5.1.8); Saccharopine dehydrogenase antibody; SDH antibody; EC 1.5.1.9)] antibody
-
宿主:Rabbit
-
反應種屬:Human
-
免疫原:Recombinant Human Alpha-aminoadipic semialdehyde synthase, mitochondrial protein (224-364AA)
-
免疫原種屬:Homo sapiens (Human)
-
標記方式:Non-conjugated
本頁面中的產品,AASS Antibody (CSB-PA883373LA01HU),的標記方式是Non-conjugated。對于AASS Antibody,我們還提供其他標記。見下表:
-
克隆類型:Polyclonal
-
抗體亞型:IgG
-
純化方式:>95%, Protein G purified
-
濃度:It differs from different batches. Please contact us to confirm it.
-
保存緩沖液:Preservative: 0.03% Proclin 300
Constituents: 50% Glycerol, 0.01M PBS, pH 7.4 -
產品提供形式:Liquid
-
應用范圍:ELISA, WB, IHC
-
推薦稀釋比:
Application Recommended Dilution WB 1:500-1:5000 IHC 1:200-1:500 -
Protocols:
-
儲存條件:Upon receipt, store at -20°C or -80°C. Avoid repeated freeze.
-
貨期:Basically, we can dispatch the products out in 1-3 working days after receiving your orders. Delivery time maybe differs from different purchasing way or location, please kindly consult your local distributors for specific delivery time.
-
用途:For Research Use Only. Not for use in diagnostic or therapeutic procedures.
相關產品
靶點詳情
-
功能:Bifunctional enzyme that catalyzes the first two steps in lysine degradation. The N-terminal and the C-terminal contain lysine-ketoglutarate reductase and saccharopine dehydrogenase activity, respectively.
-
基因功能參考文獻:
- GR and KLF15 physically interact via low affinity GR binding sites within glucocorticoid response elements (GREs) for PRODH and AASS that contribute to combinatorial regulation with KLF15. PMID: 26088140
- Mitochondrial NADPH is crucial for AASS function PMID: 24847004
- Hyperlysinemia is caused by mutations in AASS PMID: 23570448
- Isolation and characterization of the mouse ortholog. PMID: 10567240
-
相關疾病:Hyperlysinemia, 1 (HYPLYS1); 2,4-dienoyl-CoA reductase deficiency (DECRD)
-
亞細胞定位:Mitochondrion.
-
蛋白家族:AlaDH/PNT family; Saccharopine dehydrogenase family
-
組織特異性:Expressed in all 16 tissues examined with highest expression in the liver.
-
數據庫鏈接:
Most popular with customers
-
-
YWHAB Recombinant Monoclonal Antibody
Applications: ELISA, WB, IHC, IF, FC
Species Reactivity: Human, Mouse, Rat
-
Phospho-YAP1 (S127) Recombinant Monoclonal Antibody
Applications: ELISA, WB, IHC
Species Reactivity: Human
-
-
-
-
-















